Cerebral venous sinus thrombosis as a complication of heparin-induced thrombocytopenia in myasthenia gravis: A rare and complex case.

Q3 Medicine
Qatar Medical Journal Pub Date : 2025-06-09 eCollection Date: 2025-01-01 DOI:10.5339/qmj.2025.59
Majd A AbuAlrob, Abdullah Mantawil Gumander, Khaled Zammar, Abdullah I Al Qazakzeh, Sadi Y Alnakhala, Osama M Khalil, Suhail Hussain
{"title":"Cerebral venous sinus thrombosis as a complication of heparin-induced thrombocytopenia in myasthenia gravis: A rare and complex case.","authors":"Majd A AbuAlrob, Abdullah Mantawil Gumander, Khaled Zammar, Abdullah I Al Qazakzeh, Sadi Y Alnakhala, Osama M Khalil, Suhail Hussain","doi":"10.5339/qmj.2025.59","DOIUrl":null,"url":null,"abstract":"<p><strong>Background: </strong>Cerebral venous sinus thrombosis (CVST) is an uncommon yet critical complication, especially when arising from heparin-induced thrombocytopenia (HIT). In patients with preexisting conditions such as myasthenia gravis (MG), this correlation adds further complexity to clinical management and outcomes.</p><p><strong>Case presentation: </strong>We report a unique case of CVST induced by HIT in a patient with an established diagnosis of MG. Following plasma exchange therapy, which included heparin administration, the patient developed symptoms indicative of CVST. Diagnostic imaging confirmed thrombosis in the cerebral venous sinuses. Management involved the immediate discontinuation of heparin and the initiation of fondaparinux, leading to effective anticoagulation and clinical improvement.</p><p><strong>Discussion: </strong>This case illustrates the rare intersection of CVST and HIT within the context of MG, underscoring the potential risks associated with heparin therapy in vulnerable patient populations. Early recognition of the signs is essential, as these conditions, in combination, demand prompt and specialized interventions to prevent serious complications.</p><p><strong>Conclusion: </strong>The successful management of this complex case demonstrates the importance of heightened awareness and proactive strategies in patients with MG undergoing heparin therapy. This report advocates for careful monitoring and tailored treatment to mitigate risks in similarly complex clinical scenarios.</p>","PeriodicalId":53667,"journal":{"name":"Qatar Medical Journal","volume":"2025 2","pages":"59"},"PeriodicalIF":0.0000,"publicationDate":"2025-06-09","publicationTypes":"Journal Article","fieldsOfStudy":null,"isOpenAccess":false,"openAccessPdf":"https://www.ncbi.nlm.nih.gov/pmc/articles/PMC12183653/pdf/","citationCount":"0","resultStr":null,"platform":"Semanticscholar","paperid":null,"PeriodicalName":"Qatar Medical Journal","FirstCategoryId":"1085","ListUrlMain":"https://doi.org/10.5339/qmj.2025.59","RegionNum":0,"RegionCategory":null,"ArticlePicture":[],"TitleCN":null,"AbstractTextCN":null,"PMCID":null,"EPubDate":"2025/1/1 0:00:00","PubModel":"eCollection","JCR":"Q3","JCRName":"Medicine","Score":null,"Total":0}
引用次数: 0

Abstract

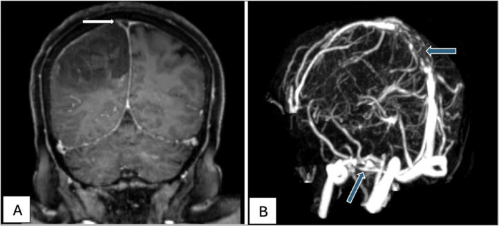
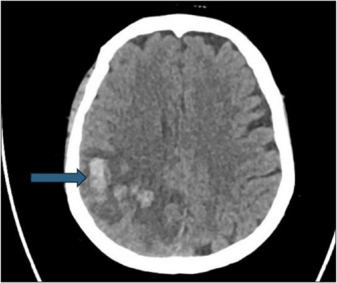
Background: Cerebral venous sinus thrombosis (CVST) is an uncommon yet critical complication, especially when arising from heparin-induced thrombocytopenia (HIT). In patients with preexisting conditions such as myasthenia gravis (MG), this correlation adds further complexity to clinical management and outcomes.

Case presentation: We report a unique case of CVST induced by HIT in a patient with an established diagnosis of MG. Following plasma exchange therapy, which included heparin administration, the patient developed symptoms indicative of CVST. Diagnostic imaging confirmed thrombosis in the cerebral venous sinuses. Management involved the immediate discontinuation of heparin and the initiation of fondaparinux, leading to effective anticoagulation and clinical improvement.

Discussion: This case illustrates the rare intersection of CVST and HIT within the context of MG, underscoring the potential risks associated with heparin therapy in vulnerable patient populations. Early recognition of the signs is essential, as these conditions, in combination, demand prompt and specialized interventions to prevent serious complications.

Conclusion: The successful management of this complex case demonstrates the importance of heightened awareness and proactive strategies in patients with MG undergoing heparin therapy. This report advocates for careful monitoring and tailored treatment to mitigate risks in similarly complex clinical scenarios.

Abstract Image

Abstract Image

脑静脉窦血栓形成是重症肌无力中肝素诱导的血小板减少症的并发症:一个罕见而复杂的病例。
背景:脑静脉窦血栓形成(CVST)是一种罕见但关键的并发症,特别是当肝素诱导的血小板减少症(HIT)发生时。对于先前存在重症肌无力(MG)等疾病的患者,这种相关性进一步增加了临床管理和结果的复杂性。病例介绍:我们报告了一个独特的情况下,由HIT诱发CVST的患者确诊为MG。在接受血浆交换治疗(包括肝素治疗)后,患者出现了CVST症状。诊断影像证实脑静脉窦血栓形成。治疗包括立即停用肝素和开始使用氟达肝素,导致有效的抗凝和临床改善。讨论:该病例说明了MG背景下CVST和HIT的罕见交集,强调了在弱势患者群体中肝素治疗的潜在风险。早期识别这些症状至关重要,因为这些情况综合起来需要及时和专门的干预措施,以防止严重的并发症。结论:这一复杂病例的成功治疗表明,在接受肝素治疗的MG患者中,提高认识和积极主动的策略非常重要。该报告提倡仔细监测和量身定制的治疗,以减轻类似复杂的临床情况的风险。
本文章由计算机程序翻译,如有差异,请以英文原文为准。
求助全文
约1分钟内获得全文 求助全文
来源期刊
Qatar Medical Journal
Qatar Medical Journal Medicine-Medicine (all)
CiteScore
1.80
自引率
0.00%
发文量
77
审稿时长
6 weeks
×
引用
GB/T 7714-2015
复制
MLA
复制
APA
复制
导出至
BibTeX EndNote RefMan NoteFirst NoteExpress
×
提示
您的信息不完整,为了账户安全,请先补充。
现在去补充
×
提示
您因"违规操作"
具体请查看互助需知
我知道了
×
提示
确定
请完成安全验证×
copy
已复制链接
快去分享给好友吧!
我知道了
右上角分享
点击右上角分享
0
联系我们:info@booksci.cn Book学术提供免费学术资源搜索服务,方便国内外学者检索中英文文献。致力于提供最便捷和优质的服务体验。 Copyright © 2023 布克学术 All rights reserved.
京ICP备2023020795号-1
ghs 京公网安备 11010802042870号
Book学术文献互助
Book学术文献互助群
群 号:604180095
Book学术官方微信