Spontaneous resolution of papilledema and multilayered hemorrhages in Terson syndrome associated with subarachnoid hemorrhage: a case report.

IF 0.2
Journal of Trauma and Injury Pub Date : 2025-09-01 Epub Date: 2025-06-25 DOI:10.20408/jti.2024.0097
Shreyas Temkar, Hemanth Ramachandar, Astha Gupta, Amit Kumar Deb
{"title":"Spontaneous resolution of papilledema and multilayered hemorrhages in Terson syndrome associated with subarachnoid hemorrhage: a case report.","authors":"Shreyas Temkar, Hemanth Ramachandar, Astha Gupta, Amit Kumar Deb","doi":"10.20408/jti.2024.0097","DOIUrl":null,"url":null,"abstract":"<p><p>Terson syndrome (TS) is a condition characterized by the association of intraocular hemorrhages with an underlying intracranial bleed. Although it is widely postulated that the condition arises from raised intracranial pressure, the occurrence of papilledema is rarely reported in TS. We present a case involving a 35 year old male patient who developed TS following a head injury. Papilledema was incidentally detected and managed with measures aimed at reducing intracranial pressure. The patient subsequently experienced spontaneous resolution of both the cerebral and ocular hemorrhages, as well as resolution of the papilledema. A dilated fundus examination is strongly recommended for any patient presenting with intracranial hemorrhage (especially subarachnoid hemorrhage) to identify intraocular hemorrhages and papilledema.</p>","PeriodicalId":52698,"journal":{"name":"Journal of Trauma and Injury","volume":" ","pages":"290-293"},"PeriodicalIF":0.2000,"publicationDate":"2025-09-01","publicationTypes":"Journal Article","fieldsOfStudy":null,"isOpenAccess":false,"openAccessPdf":"https://www.ncbi.nlm.nih.gov/pmc/articles/PMC12489152/pdf/","citationCount":"0","resultStr":null,"platform":"Semanticscholar","paperid":null,"PeriodicalName":"Journal of Trauma and Injury","FirstCategoryId":"1085","ListUrlMain":"https://doi.org/10.20408/jti.2024.0097","RegionNum":0,"RegionCategory":null,"ArticlePicture":[],"TitleCN":null,"AbstractTextCN":null,"PMCID":null,"EPubDate":"2025/6/25 0:00:00","PubModel":"Epub","JCR":"","JCRName":"","Score":null,"Total":0}
引用次数: 0

Abstract

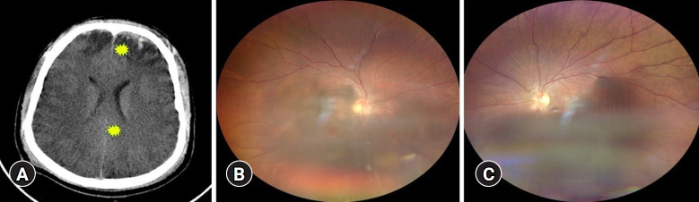
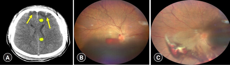
Terson syndrome (TS) is a condition characterized by the association of intraocular hemorrhages with an underlying intracranial bleed. Although it is widely postulated that the condition arises from raised intracranial pressure, the occurrence of papilledema is rarely reported in TS. We present a case involving a 35 year old male patient who developed TS following a head injury. Papilledema was incidentally detected and managed with measures aimed at reducing intracranial pressure. The patient subsequently experienced spontaneous resolution of both the cerebral and ocular hemorrhages, as well as resolution of the papilledema. A dilated fundus examination is strongly recommended for any patient presenting with intracranial hemorrhage (especially subarachnoid hemorrhage) to identify intraocular hemorrhages and papilledema.

Abstract Image

Abstract Image

自发性解决乳头水肿和多层出血的Terson综合征与蛛网膜下腔出血:1例报告。
Terson综合征(TS)是一种以眼内出血与潜在颅内出血相关为特征的疾病。尽管人们普遍认为这种情况是由颅内压升高引起的,但在TS中发生乳头水肿的报道却很少。我们报告了一位35岁的男性患者,他在头部受伤后发生了TS。乳头水肿被偶然发现,并通过降低颅内压的措施加以处理。患者随后经历了脑出血和眼出血的自发消退,以及乳头水肿的消退。对于出现颅内出血(尤其是蛛网膜下腔出血)的患者,强烈建议行眼底扩张检查,以确定是否有眼内出血和乳头水肿。
本文章由计算机程序翻译,如有差异,请以英文原文为准。
求助全文
约1分钟内获得全文 求助全文
来源期刊
自引率
0.00%
发文量
58
审稿时长
11 weeks
×
引用
GB/T 7714-2015
复制
MLA
复制
APA
复制
导出至
BibTeX EndNote RefMan NoteFirst NoteExpress
×
提示
您的信息不完整,为了账户安全,请先补充。
现在去补充
×
提示
您因"违规操作"
具体请查看互助需知
我知道了
×
提示
确定
请完成安全验证×
copy
已复制链接
快去分享给好友吧!
我知道了
右上角分享
点击右上角分享
0
联系我们:info@booksci.cn Book学术提供免费学术资源搜索服务,方便国内外学者检索中英文文献。致力于提供最便捷和优质的服务体验。 Copyright © 2023 布克学术 All rights reserved.
京ICP备2023020795号-1
ghs 京公网安备 11010802042870号
Book学术文献互助
Book学术文献互助群
群 号:604180095
Book学术官方微信