Erythrodermic Psoriasis in the Context of Emerging Triggers: Insights into Dupilumab-Associated and COVID-19-Induced Psoriatic Disease.

IF 1.7 Q3 DERMATOLOGY
Aya Fadel, Jayakumar Nithura, Zahraa F Saadoon, Lamia Naseer, Angelo Lopez-Lacayo, Ligia Elena Rojas Solano, Chaveli Palau Morales, Robert J Hernandez, Hussain Hussain
{"title":"Erythrodermic Psoriasis in the Context of Emerging Triggers: Insights into Dupilumab-Associated and COVID-19-Induced Psoriatic Disease.","authors":"Aya Fadel, Jayakumar Nithura, Zahraa F Saadoon, Lamia Naseer, Angelo Lopez-Lacayo, Ligia Elena Rojas Solano, Chaveli Palau Morales, Robert J Hernandez, Hussain Hussain","doi":"10.3390/dermatopathology12020017","DOIUrl":null,"url":null,"abstract":"<p><p>Psoriasis is a chronic immune-mediated inflammatory skin disorder characterized by keratinocyte hyperproliferation, impaired epidermal barrier function, and immune dysregulation. The Th17/IL-23 axis plays a central role in its pathogenesis, promoting the production of key pro-inflammatory cytokines such as IL-17, IL-23, and TNF-α, which sustain chronic inflammation and epidermal remodeling. Emerging evidence suggests that SARS-CoV-2 may trigger new-onset or exacerbate existing psoriasis, likely through viral protein-induced activation of toll-like receptors (TLR2 and TLR4). This leads to NF-κB activation, cytokine release, and enhanced Th17 responses, disrupting immune homeostasis. Erythrodermic psoriasis (EP), a rare and severe variant, presents with generalized erythema and desquamation, often accompanied by systemic complications, including infection, electrolyte imbalance, and hemodynamic instability. In a murine model of SARS-CoV-2 infection, we found notable cutaneous changes: dermal collagen deposition, hair follicle destruction, and subcutaneous adipose loss. Parallel findings were seen in a rare clinical case (only the third reported case) of EP in a patient with refractory psoriasis, who developed erythroderma after off-label initiation of dupilumab therapy. The patient's histopathology closely mirrored the changes seen in the SARS-CoV-2 model. Histological evaluations also reveal similarities between psoriasis flare-ups following dupilumab treatment and cutaneous manifestations of COVID-19, suggesting a shared inflammatory pathway, potentially mediated by heightened type 1 and type 17 responses. This overlap raises the possibility of a latent connection between SARS-CoV-2 infection and increased psoriasis severity. Since the introduction of COVID-19 vaccines, sporadic cases of EP have been reported post-vaccination. Although rare, these events imply that vaccine-induced immune modulation may influence psoriasis activity. Our findings highlight a convergence of inflammatory mediators-including IL-1, IL-6, IL-17, TNF-α, TLRs, and NF-κB-across three triggers: SARS-CoV-2, vaccination, and dupilumab. Further mechanistic studies are essential to clarify these relationships and guide management in complex psoriasis cases.</p>","PeriodicalId":42885,"journal":{"name":"Dermatopathology","volume":"12 2","pages":""},"PeriodicalIF":1.7000,"publicationDate":"2025-06-09","publicationTypes":"Journal Article","fieldsOfStudy":null,"isOpenAccess":false,"openAccessPdf":"https://www.ncbi.nlm.nih.gov/pmc/articles/PMC12192188/pdf/","citationCount":"0","resultStr":null,"platform":"Semanticscholar","paperid":null,"PeriodicalName":"Dermatopathology","FirstCategoryId":"1085","ListUrlMain":"https://doi.org/10.3390/dermatopathology12020017","RegionNum":0,"RegionCategory":null,"ArticlePicture":[],"TitleCN":null,"AbstractTextCN":null,"PMCID":null,"EPubDate":"","PubModel":"","JCR":"Q3","JCRName":"DERMATOLOGY","Score":null,"Total":0}
引用次数: 0

Abstract

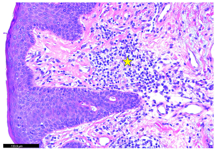
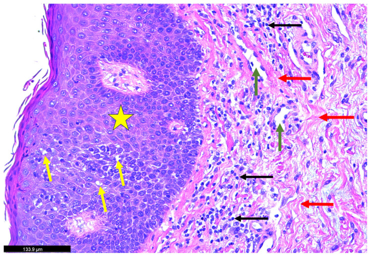
Psoriasis is a chronic immune-mediated inflammatory skin disorder characterized by keratinocyte hyperproliferation, impaired epidermal barrier function, and immune dysregulation. The Th17/IL-23 axis plays a central role in its pathogenesis, promoting the production of key pro-inflammatory cytokines such as IL-17, IL-23, and TNF-α, which sustain chronic inflammation and epidermal remodeling. Emerging evidence suggests that SARS-CoV-2 may trigger new-onset or exacerbate existing psoriasis, likely through viral protein-induced activation of toll-like receptors (TLR2 and TLR4). This leads to NF-κB activation, cytokine release, and enhanced Th17 responses, disrupting immune homeostasis. Erythrodermic psoriasis (EP), a rare and severe variant, presents with generalized erythema and desquamation, often accompanied by systemic complications, including infection, electrolyte imbalance, and hemodynamic instability. In a murine model of SARS-CoV-2 infection, we found notable cutaneous changes: dermal collagen deposition, hair follicle destruction, and subcutaneous adipose loss. Parallel findings were seen in a rare clinical case (only the third reported case) of EP in a patient with refractory psoriasis, who developed erythroderma after off-label initiation of dupilumab therapy. The patient's histopathology closely mirrored the changes seen in the SARS-CoV-2 model. Histological evaluations also reveal similarities between psoriasis flare-ups following dupilumab treatment and cutaneous manifestations of COVID-19, suggesting a shared inflammatory pathway, potentially mediated by heightened type 1 and type 17 responses. This overlap raises the possibility of a latent connection between SARS-CoV-2 infection and increased psoriasis severity. Since the introduction of COVID-19 vaccines, sporadic cases of EP have been reported post-vaccination. Although rare, these events imply that vaccine-induced immune modulation may influence psoriasis activity. Our findings highlight a convergence of inflammatory mediators-including IL-1, IL-6, IL-17, TNF-α, TLRs, and NF-κB-across three triggers: SARS-CoV-2, vaccination, and dupilumab. Further mechanistic studies are essential to clarify these relationships and guide management in complex psoriasis cases.

Abstract Image

Abstract Image

Abstract Image

红皮病银屑病的新触发因素:杜匹单抗相关和covid -19诱导银屑病的见解。
银屑病是一种慢性免疫介导的炎症性皮肤病,其特征是角质细胞增生、表皮屏障功能受损和免疫失调。Th17/IL-23轴在其发病机制中发挥核心作用,促进关键促炎细胞因子如IL-17、IL-23和TNF-α的产生,这些细胞因子维持慢性炎症和表皮重塑。新出现的证据表明,SARS-CoV-2可能通过病毒蛋白诱导toll样受体(TLR2和TLR4)的激活,引发新发或加重现有的牛皮癣。这导致NF-κB活化、细胞因子释放和Th17反应增强,破坏免疫稳态。红皮病型牛皮癣(EP)是一种罕见且严重的变体,表现为全身红斑和脱屑,常伴有全身并发症,包括感染、电解质失衡和血流动力学不稳定。在SARS-CoV-2感染的小鼠模型中,我们发现了明显的皮肤变化:真皮胶原沉积、毛囊破坏和皮下脂肪损失。在罕见的临床病例(仅报道的第三例)中,难治性银屑病患者的EP也出现了类似的发现,该患者在未经核准的dupilumab治疗后出现红皮病。患者的组织病理学与SARS-CoV-2模型中的变化密切相关。组织学评估也揭示了杜匹单抗治疗后银屑病发作与COVID-19皮肤表现之间的相似性,表明有共同的炎症途径,可能由1型和17型反应增强介导。这种重叠增加了SARS-CoV-2感染与银屑病严重程度增加之间潜在联系的可能性。自引入COVID-19疫苗以来,已报告了疫苗接种后的散发性EP病例。虽然罕见,但这些事件暗示疫苗诱导的免疫调节可能影响牛皮癣的活动。我们的研究结果强调了炎症介质(包括IL-1、IL-6、IL-17、TNF-α、TLRs和NF-κ b)在三个触发因素上的趋同:SARS-CoV-2、疫苗接种和杜匹单抗。进一步的机制研究是必要的,以澄清这些关系和指导治疗复杂的牛皮癣病例。
本文章由计算机程序翻译,如有差异,请以英文原文为准。
求助全文
约1分钟内获得全文 求助全文
来源期刊
Dermatopathology
Dermatopathology DERMATOLOGY-
自引率
5.30%
发文量
39
审稿时长
11 weeks
×
引用
GB/T 7714-2015
复制
MLA
复制
APA
复制
导出至
BibTeX EndNote RefMan NoteFirst NoteExpress
×
提示
您的信息不完整,为了账户安全,请先补充。
现在去补充
×
提示
您因"违规操作"
具体请查看互助需知
我知道了
×
提示
确定
请完成安全验证×
copy
已复制链接
快去分享给好友吧!
我知道了
右上角分享
点击右上角分享
0
联系我们:info@booksci.cn Book学术提供免费学术资源搜索服务,方便国内外学者检索中英文文献。致力于提供最便捷和优质的服务体验。 Copyright © 2023 布克学术 All rights reserved.
京ICP备2023020795号-1
ghs 京公网安备 11010802042870号
Book学术文献互助
Book学术文献互助群
群 号:604180095
Book学术官方微信