C1q monogenic lupus: a case series and review.

IF 2.1 Q3 RHEUMATOLOGY
Rheumatology Advances in Practice Pub Date : 2025-05-28 eCollection Date: 2025-01-01 DOI:10.1093/rap/rkaf064
Israrul Haque, Kaustav Mitra, Geetabali Sircar, Parasar Ghosh, Sumantro Mondol, Subhankar Haldar, DipendraNath Ghosh, Rashmi Roongta
{"title":"C1q monogenic lupus: a case series and review.","authors":"Israrul Haque, Kaustav Mitra, Geetabali Sircar, Parasar Ghosh, Sumantro Mondol, Subhankar Haldar, DipendraNath Ghosh, Rashmi Roongta","doi":"10.1093/rap/rkaf064","DOIUrl":null,"url":null,"abstract":"<p><strong>Objectives: </strong>Monogenic systemic lupus erythematosus (SLE) is caused by a single gene mutation. C1q deficiency is a rare but well-documented form of monogenic SLE, characterized by unique clinical and laboratory indicators that guide diagnosis and treatment. We aimed to describe four cases of C1q monogenic lupus.</p><p><strong>Methods: </strong>This retrospective, single-centre observational study reviews the clinical and serological profiles and outcomes of four cases of C1q Monogenic Lupus diagnosed at our centre. The study was approved by the Institutional Ethics Committee at the Institute of Postgraduate Medical Education and Research (IPGMER), Kolkata-700020 (Memo No. IPGME&R/IEC/2025/0020).</p><p><strong>Results: </strong>We describe four cases of C1Q monogenic lupus identified by whole exome sequencing. All patients exhibited mucocutaneous involvement, discoid lupus erythematosus, inflammatory polyarthritis, normal serum complements C3 and C4, coarse-speckled Antinuclear antibody positivity and antibodies to ribonucleoprotein. Unique features identified include brain parenchymal calcification in one case, chronic subdural haemorrhage in two cases, infection complicated by macrophage activation syndrome in two cases and myositis in one case. Patients were treated with conventional immunosuppressive therapy (glucocorticoids, mycophenolate, cyclophosphamide) and Fresh Frozen Plasma. Our findings were compared with existing literature on C1q deficiency, noting frequent presentations with mucocutaneous and musculoskeletal manifestations, normal C3 and C4 levels and absence of anti-dsDNA antibodies.</p><p><strong>Conclusion: </strong>C1Q Monogenic SLE should be suspected in juvenile SLE patients presenting at under 10 years, with a family history of consanguinity, predominant mucocutaneous manifestations, a history of recurrent infection, normal serum complements and absence of C1q staining in direct immunofluorescence of renal biopsy. In our series, autoimmune manifestations responded well to immunosuppressive therapy.</p>","PeriodicalId":21350,"journal":{"name":"Rheumatology Advances in Practice","volume":"9 3","pages":"rkaf064"},"PeriodicalIF":2.1000,"publicationDate":"2025-05-28","publicationTypes":"Journal Article","fieldsOfStudy":null,"isOpenAccess":false,"openAccessPdf":"https://www.ncbi.nlm.nih.gov/pmc/articles/PMC12187074/pdf/","citationCount":"0","resultStr":null,"platform":"Semanticscholar","paperid":null,"PeriodicalName":"Rheumatology Advances in Practice","FirstCategoryId":"1085","ListUrlMain":"https://doi.org/10.1093/rap/rkaf064","RegionNum":0,"RegionCategory":null,"ArticlePicture":[],"TitleCN":null,"AbstractTextCN":null,"PMCID":null,"EPubDate":"2025/1/1 0:00:00","PubModel":"eCollection","JCR":"Q3","JCRName":"RHEUMATOLOGY","Score":null,"Total":0}
引用次数: 0

Abstract

Objectives: Monogenic systemic lupus erythematosus (SLE) is caused by a single gene mutation. C1q deficiency is a rare but well-documented form of monogenic SLE, characterized by unique clinical and laboratory indicators that guide diagnosis and treatment. We aimed to describe four cases of C1q monogenic lupus.

Methods: This retrospective, single-centre observational study reviews the clinical and serological profiles and outcomes of four cases of C1q Monogenic Lupus diagnosed at our centre. The study was approved by the Institutional Ethics Committee at the Institute of Postgraduate Medical Education and Research (IPGMER), Kolkata-700020 (Memo No. IPGME&R/IEC/2025/0020).

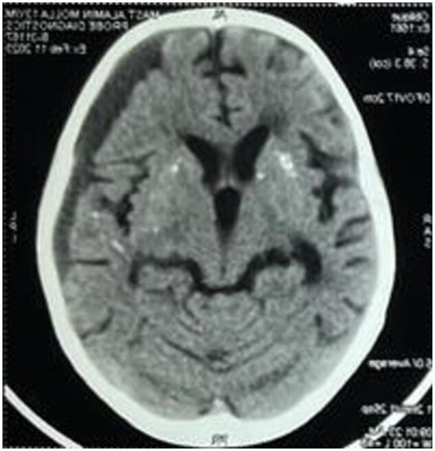
Results: We describe four cases of C1Q monogenic lupus identified by whole exome sequencing. All patients exhibited mucocutaneous involvement, discoid lupus erythematosus, inflammatory polyarthritis, normal serum complements C3 and C4, coarse-speckled Antinuclear antibody positivity and antibodies to ribonucleoprotein. Unique features identified include brain parenchymal calcification in one case, chronic subdural haemorrhage in two cases, infection complicated by macrophage activation syndrome in two cases and myositis in one case. Patients were treated with conventional immunosuppressive therapy (glucocorticoids, mycophenolate, cyclophosphamide) and Fresh Frozen Plasma. Our findings were compared with existing literature on C1q deficiency, noting frequent presentations with mucocutaneous and musculoskeletal manifestations, normal C3 and C4 levels and absence of anti-dsDNA antibodies.

Conclusion: C1Q Monogenic SLE should be suspected in juvenile SLE patients presenting at under 10 years, with a family history of consanguinity, predominant mucocutaneous manifestations, a history of recurrent infection, normal serum complements and absence of C1q staining in direct immunofluorescence of renal biopsy. In our series, autoimmune manifestations responded well to immunosuppressive therapy.

Abstract Image

C1q单基因狼疮:病例系列和回顾。
目的:单基因系统性红斑狼疮(SLE)是由单个基因突变引起的。C1q缺乏症是一种罕见但文献充分的单基因SLE,具有独特的临床和实验室指标,可指导诊断和治疗。我们的目的是描述四例C1q单基因狼疮。方法:本回顾性、单中心观察性研究回顾了本中心诊断的4例C1q单基因狼疮的临床、血清学特征和预后。该研究得到了研究生医学教育和研究研究所(IPGMER)机构伦理委员会的批准,加尔各答-700020。IPGME&R / IEC / 2025/0020)。结果:我们通过全外显子组测序鉴定了4例C1Q单基因狼疮。所有患者均表现为皮肤粘膜受累、盘状红斑狼疮、炎性多发性关节炎,血清补体C3和C4正常,抗核抗体和核糖核蛋白抗体呈粗斑阳性。确定的独特特征包括脑实质钙化1例,慢性硬膜下出血2例,感染合并巨噬细胞激活综合征2例,肌炎1例。患者接受常规免疫抑制治疗(糖皮质激素、霉酚酸盐、环磷酰胺)和新鲜冷冻血浆。我们的研究结果与现有的C1q缺乏症文献进行了比较,发现C1q缺乏症经常表现为皮肤粘膜和肌肉骨骼表现,C3和C4水平正常,缺乏抗dsdna抗体。结论:年龄在10岁以下、有家族血亲史、主要粘膜皮肤表现、反复感染史、血清补体正常、肾活检直接免疫荧光未见C1Q染色的青少年SLE患者应怀疑C1Q单基因SLE。在我们的研究中,自身免疫表现对免疫抑制治疗反应良好。
本文章由计算机程序翻译,如有差异,请以英文原文为准。
求助全文
约1分钟内获得全文 求助全文
来源期刊
Rheumatology Advances in Practice
Rheumatology Advances in Practice Medicine-Rheumatology
CiteScore
3.60
自引率
3.20%
发文量
197
审稿时长
11 weeks
×
引用
GB/T 7714-2015
复制
MLA
复制
APA
复制
导出至
BibTeX EndNote RefMan NoteFirst NoteExpress
×
提示
您的信息不完整,为了账户安全,请先补充。
现在去补充
×
提示
您因"违规操作"
具体请查看互助需知
我知道了
×
提示
确定
请完成安全验证×
copy
已复制链接
快去分享给好友吧!
我知道了
右上角分享
点击右上角分享
0
联系我们:info@booksci.cn Book学术提供免费学术资源搜索服务,方便国内外学者检索中英文文献。致力于提供最便捷和优质的服务体验。 Copyright © 2023 布克学术 All rights reserved.
京ICP备2023020795号-1
ghs 京公网安备 11010802042870号
Book学术文献互助
Book学术文献互助群
群 号:604180095
Book学术官方微信