Dust to Disease: Cavitary Lung Lesion With Mycobacterium kansasii in a Black Lung Patient.

IF 0.8 Q3 MEDICINE, GENERAL & INTERNAL
Naga Vamsi Krishna Machineni, Dedeepya Gullapalli, Shivendra Tangutoori, Anusha Tipparthi, Simmy Lahori, Fares Khater, Subramanya Shyam Ganti
{"title":"Dust to Disease: Cavitary Lung Lesion With <i>Mycobacterium kansasii</i> in a Black Lung Patient.","authors":"Naga Vamsi Krishna Machineni, Dedeepya Gullapalli, Shivendra Tangutoori, Anusha Tipparthi, Simmy Lahori, Fares Khater, Subramanya Shyam Ganti","doi":"10.1177/23247096251348906","DOIUrl":null,"url":null,"abstract":"<p><p><i>Mycobacterium kansasii</i> is a slow-growing mycobacterium commonly affecting the lungs, usually in a structurally deformed lung. We discuss a case of 67-year-old male with a medical history of complicated coal workers pneumoconiosis or coal mine dust lung disease presented to the pulmonary clinic with worsening dyspnea and hemoptysis with imaging findings revealing cavitary lung lesions in the right upper lobe and progressive massive fibrosis (PMF) bilaterally. Patient sputum gram stain showed acid-fast bacilli, and the cultures grew <i>M. kansasii</i>. He was started on rifampin, ethambutol, and azithromycin. This case highlights the importance of thorough workup of cavitary lung lesion, reinforcing the association of mycobacterium species in a patient with PMF and associated cavities.</p>","PeriodicalId":16198,"journal":{"name":"Journal of investigative medicine high impact case reports","volume":"13 ","pages":"23247096251348906"},"PeriodicalIF":0.8000,"publicationDate":"2025-01-01","publicationTypes":"Journal Article","fieldsOfStudy":null,"isOpenAccess":false,"openAccessPdf":"https://www.ncbi.nlm.nih.gov/pmc/articles/PMC12198537/pdf/","citationCount":"0","resultStr":null,"platform":"Semanticscholar","paperid":null,"PeriodicalName":"Journal of investigative medicine high impact case reports","FirstCategoryId":"1085","ListUrlMain":"https://doi.org/10.1177/23247096251348906","RegionNum":0,"RegionCategory":null,"ArticlePicture":[],"TitleCN":null,"AbstractTextCN":null,"PMCID":null,"EPubDate":"2025/6/25 0:00:00","PubModel":"Epub","JCR":"Q3","JCRName":"MEDICINE, GENERAL & INTERNAL","Score":null,"Total":0}
引用次数: 0

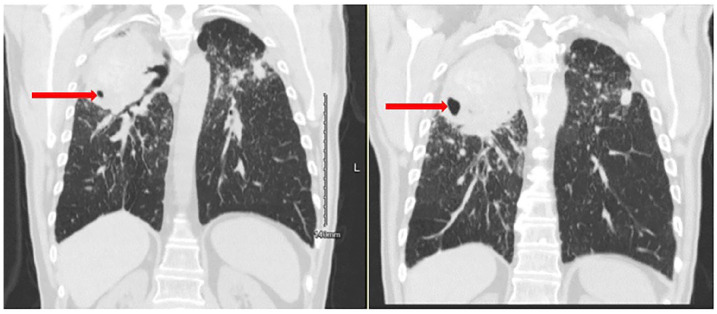
Abstract

Mycobacterium kansasii is a slow-growing mycobacterium commonly affecting the lungs, usually in a structurally deformed lung. We discuss a case of 67-year-old male with a medical history of complicated coal workers pneumoconiosis or coal mine dust lung disease presented to the pulmonary clinic with worsening dyspnea and hemoptysis with imaging findings revealing cavitary lung lesions in the right upper lobe and progressive massive fibrosis (PMF) bilaterally. Patient sputum gram stain showed acid-fast bacilli, and the cultures grew M. kansasii. He was started on rifampin, ethambutol, and azithromycin. This case highlights the importance of thorough workup of cavitary lung lesion, reinforcing the association of mycobacterium species in a patient with PMF and associated cavities.

Abstract Image

Abstract Image

Abstract Image

粉尘对疾病的影响:一例黑肺患者的肺腔性病变伴堪萨斯分枝杆菌。
堪萨斯分枝杆菌是一种生长缓慢的分枝杆菌,通常影响肺部,通常发生在结构性变形的肺部。我们讨论一例67岁男性患者,有复杂的煤矿工人尘肺或煤矿粉尘肺病病史,在肺部诊所就诊,呼吸困难和咯血加重,影像学表现为右肺上叶空洞性病变和双侧进行性块状纤维化(PMF)。患者痰革兰氏染色显示抗酸杆菌,培养物生长有堪萨斯分枝杆菌。他开始服用利福平,乙胺丁醇和阿奇霉素。该病例强调了彻底检查肺空洞病变的重要性,加强了PMF和相关空洞患者中分枝杆菌种类的关联。
本文章由计算机程序翻译,如有差异,请以英文原文为准。
求助全文
约1分钟内获得全文 求助全文
来源期刊
CiteScore
1.90
自引率
0.00%
发文量
165
审稿时长
12 weeks
期刊介绍: The AFMR is committed to enhancing the training and career development of our members and to furthering its mission to facilitate the conduct of research to improve medical care. Case reports represent an important avenue for trainees (interns, residents, and fellows) and early-stage faculty to demonstrate productive, scholarly activity.
×
引用
GB/T 7714-2015
复制
MLA
复制
APA
复制
导出至
BibTeX EndNote RefMan NoteFirst NoteExpress
×
提示
您的信息不完整,为了账户安全,请先补充。
现在去补充
×
提示
您因"违规操作"
具体请查看互助需知
我知道了
×
提示
确定
请完成安全验证×
copy
已复制链接
快去分享给好友吧!
我知道了
右上角分享
点击右上角分享
0
联系我们:info@booksci.cn Book学术提供免费学术资源搜索服务,方便国内外学者检索中英文文献。致力于提供最便捷和优质的服务体验。 Copyright © 2023 布克学术 All rights reserved.
京ICP备2023020795号-1
ghs 京公网安备 11010802042870号
Book学术文献互助
Book学术文献互助群
群 号:604180095
Book学术官方微信