What is the influence of tibial component posterior slope on clinical and radiographic outcomes following cemented medial unicompartmental fixed-bearing knee arthroplasty? A retrospective study with a minimum follow-up of five years.

IF 2.6 3区 医学 Q2 ORTHOPEDICS
International Orthopaedics Pub Date : 2025-09-01 Epub Date: 2025-06-25 DOI:10.1007/s00264-025-06579-0
Maksym Polt, Titus Thut, David Alexander Graf, Naeder Helmy, Octavian Andronic
{"title":"What is the influence of tibial component posterior slope on clinical and radiographic outcomes following cemented medial unicompartmental fixed-bearing knee arthroplasty? A retrospective study with a minimum follow-up of five years.","authors":"Maksym Polt, Titus Thut, David Alexander Graf, Naeder Helmy, Octavian Andronic","doi":"10.1007/s00264-025-06579-0","DOIUrl":null,"url":null,"abstract":"<p><strong>Purpose: </strong>To evaluate how changing the native posterior tibial slope (PTS) through implantation of a cemented medial unicompartmental knee arthroplasty (UKA) impacts clinical and radiographic outcomes, specifically whether it correlates with the occurrence of tibial periprosthetic radiolucency or tibial aseptic loosening (AL).</p><p><strong>Methods: </strong>This retrospective study analyzed 63 patients with cemented medial UKAs with a minimum follow-up of five years. Patient-reported outcomes (PROMs) included the Oxford Knee Score (OKS). Radiographic parameters assessed were: PTS, mechanical axis, prosthetic joint space height, tibial component obliquity, intraprosthetic divergence, and tibial periprosthetic radiolucency. Partial Pearson correlation and multiple linear regression analyses were used to evaluate the relationship between tibial periprosthetic radiolucency and demographic or radiographic parameters.</p><p><strong>Results: </strong>Of 63 patients (mean age 68.9 ± 7.9 years, follow-up 62.5 ± 8.8 months), 5 knees (7.9%) demonstrated tibial periprosthetic radiolucency ≥ 2 mm. The mean postoperative PTS change was 3.8 ± 2.6°, mechanical axis change: 2.5 ± 1.8°, prosthetic joint space height: 9.2 ± 3.1 mm, tibial component obliquity: 2.5° ± 3°, and intraprosthetic divergence angle: 5° ± 4°. OKS averaged 43.9 (range 22-48), with a mean knee flexion of 123.4 ± 6.8°. Statistical analysis showed no significant associations between tibial periprosthetic radiolucency and demographics, radiographic parameters, or PROMs. Changes in PTS did not correlate with a range of motion (ROM), PROMs, or radiolucency.</p><p><strong>Conclusion: </strong>In our cohort, the deviation from native PTS following implantation of the cemented tibial component did not show a significant correlation with tibial periprosthetic radiolucency, PROMs, or ROM at mid-term follow-up.</p>","PeriodicalId":14450,"journal":{"name":"International Orthopaedics","volume":" ","pages":"2103-2110"},"PeriodicalIF":2.6000,"publicationDate":"2025-09-01","publicationTypes":"Journal Article","fieldsOfStudy":null,"isOpenAccess":false,"openAccessPdf":"https://www.ncbi.nlm.nih.gov/pmc/articles/PMC12405018/pdf/","citationCount":"0","resultStr":null,"platform":"Semanticscholar","paperid":null,"PeriodicalName":"International Orthopaedics","FirstCategoryId":"3","ListUrlMain":"https://doi.org/10.1007/s00264-025-06579-0","RegionNum":3,"RegionCategory":"医学","ArticlePicture":[],"TitleCN":null,"AbstractTextCN":null,"PMCID":null,"EPubDate":"2025/6/25 0:00:00","PubModel":"Epub","JCR":"Q2","JCRName":"ORTHOPEDICS","Score":null,"Total":0}
引用次数: 0

Abstract

Purpose: To evaluate how changing the native posterior tibial slope (PTS) through implantation of a cemented medial unicompartmental knee arthroplasty (UKA) impacts clinical and radiographic outcomes, specifically whether it correlates with the occurrence of tibial periprosthetic radiolucency or tibial aseptic loosening (AL).

Methods: This retrospective study analyzed 63 patients with cemented medial UKAs with a minimum follow-up of five years. Patient-reported outcomes (PROMs) included the Oxford Knee Score (OKS). Radiographic parameters assessed were: PTS, mechanical axis, prosthetic joint space height, tibial component obliquity, intraprosthetic divergence, and tibial periprosthetic radiolucency. Partial Pearson correlation and multiple linear regression analyses were used to evaluate the relationship between tibial periprosthetic radiolucency and demographic or radiographic parameters.

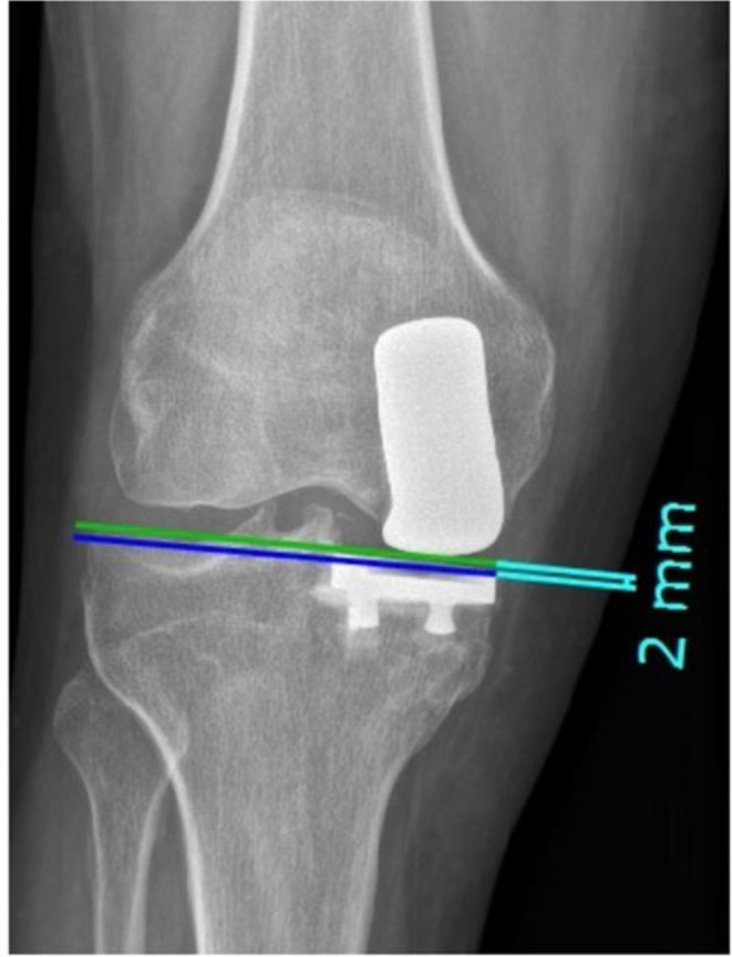
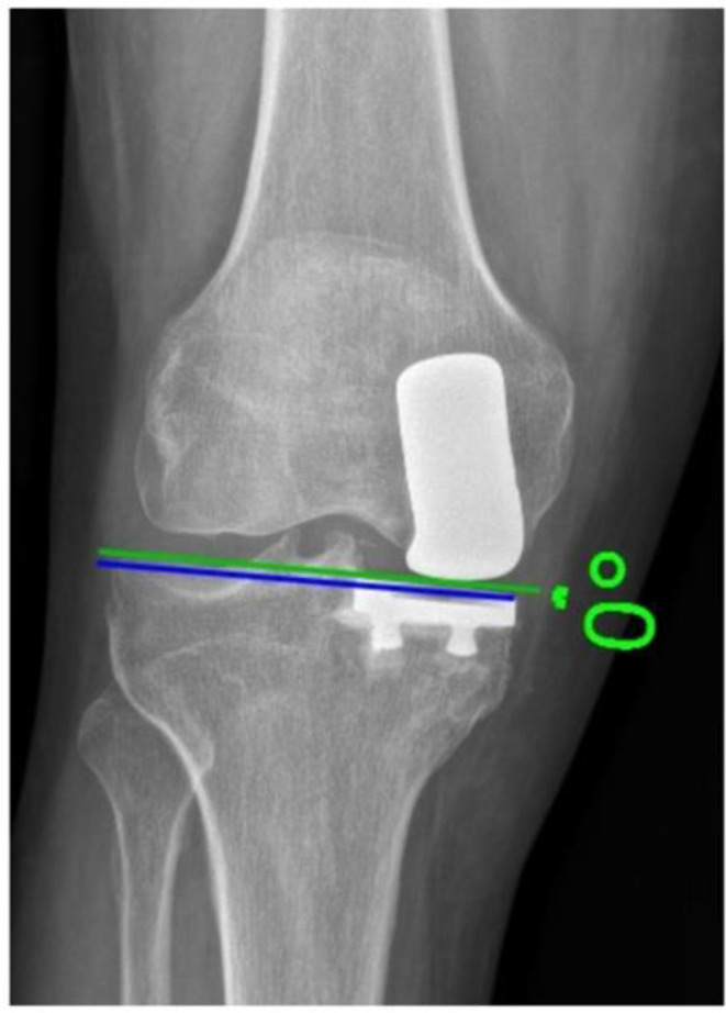
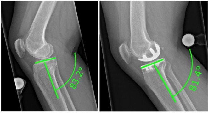
Results: Of 63 patients (mean age 68.9 ± 7.9 years, follow-up 62.5 ± 8.8 months), 5 knees (7.9%) demonstrated tibial periprosthetic radiolucency ≥ 2 mm. The mean postoperative PTS change was 3.8 ± 2.6°, mechanical axis change: 2.5 ± 1.8°, prosthetic joint space height: 9.2 ± 3.1 mm, tibial component obliquity: 2.5° ± 3°, and intraprosthetic divergence angle: 5° ± 4°. OKS averaged 43.9 (range 22-48), with a mean knee flexion of 123.4 ± 6.8°. Statistical analysis showed no significant associations between tibial periprosthetic radiolucency and demographics, radiographic parameters, or PROMs. Changes in PTS did not correlate with a range of motion (ROM), PROMs, or radiolucency.

Conclusion: In our cohort, the deviation from native PTS following implantation of the cemented tibial component did not show a significant correlation with tibial periprosthetic radiolucency, PROMs, or ROM at mid-term follow-up.

Abstract Image

Abstract Image

Abstract Image

胫骨假体后斜度对骨水泥内侧单腔固定膝关节置换术后临床和影像学结果的影响是什么?回顾性研究,至少随访5年。
目的:评估通过植入骨水泥内侧单室膝关节置换术(UKA)改变天然胫骨后坡(PTS)对临床和影像学结果的影响,特别是它是否与胫骨假体周围放射透光度或胫骨无菌性松动(AL)的发生有关。方法:本回顾性研究分析了63例骨水泥内侧UKAs患者,随访时间至少为5年。患者报告的预后(PROMs)包括牛津膝关节评分(OKS)。影像学参数评估为:PTS、机械轴、假体关节间隙高度、胫骨组件倾角、假体内部散度和胫骨假体周围透光度。采用偏Pearson相关和多元线性回归分析来评估胫骨假体周围放射率与人口统计学或放射学参数之间的关系。结果:63例患者(平均年龄68.9±7.9岁,随访62.5±8.8个月),5例膝关节(7.9%)胫骨假体周围透光度≥2mm。术后平均PTS变化3.8±2.6°,机械轴变化2.5±1.8°,假体关节间隙高度9.2±3.1 mm,胫骨组件倾角2.5°±3°,假体内发散角5°±4°。OKS平均43.9(范围22-48),平均膝关节屈曲123.4±6.8°。统计分析显示,胫骨假体周围的放射率与人口统计学、放射学参数或prom之间没有显著关联。PTS的变化与活动度(ROM)、prom或放射率无关。结论:在我们的队列中,在中期随访中,植入骨水泥胫骨假体后与原始PTS的偏差与胫骨假体周围放射率、prom或ROM没有显着相关性。
本文章由计算机程序翻译,如有差异,请以英文原文为准。
求助全文
约1分钟内获得全文 求助全文
来源期刊
International Orthopaedics
International Orthopaedics 医学-整形外科
CiteScore
5.50
自引率
7.40%
发文量
360
审稿时长
1 months
期刊介绍: International Orthopaedics, the Official Journal of the Société Internationale de Chirurgie Orthopédique et de Traumatologie (SICOT) , publishes original papers from all over the world. The articles deal with clinical orthopaedic surgery or basic research directly connected with orthopaedic surgery. International Orthopaedics will also link all the members of SICOT by means of an insert that will be concerned with SICOT matters. Finally, it is expected that news and information regarding all aspects of orthopaedic surgery, including meetings, panels, instructional courses, etc. will be brought to the attention of the readers. Manuscripts submitted for publication must contain a statement to the effect that all human studies have been approved by the appropriate ethics committee and have therefore been performed in accordance with the ethical standards laid down in the 1964 Declaration of Helsinki. It should also be stated clearly in the text that all persons gave their informed consent prior to their inclusion in the study. Details that might disclose the identity of the subjects under study should be omitted. Reports of animal experiments must state that the "Principles of laboratory animal care" (NIH publication No. 85-23, revised 1985) were followed, as well as specific national laws (e.g. the current version of the German Law on the Protection of Animals) where applicable. The editors reserve the right to reject manuscripts that do not comply with the above-mentioned requirements. The author will be held responsible for false statements or for failure to fulfil the above-mentioned requirements.
×
引用
GB/T 7714-2015
复制
MLA
复制
APA
复制
导出至
BibTeX EndNote RefMan NoteFirst NoteExpress
×
提示
您的信息不完整,为了账户安全,请先补充。
现在去补充
×
提示
您因"违规操作"
具体请查看互助需知
我知道了
×
提示
确定
请完成安全验证×
copy
已复制链接
快去分享给好友吧!
我知道了
右上角分享
点击右上角分享
0
联系我们:info@booksci.cn Book学术提供免费学术资源搜索服务,方便国内外学者检索中英文文献。致力于提供最便捷和优质的服务体验。 Copyright © 2023 布克学术 All rights reserved.
京ICP备2023020795号-1
ghs 京公网安备 11010802042870号
Book学术文献互助
Book学术文献互助群
群 号:604180095
Book学术官方微信