The Underestimated Threat-Mycobacterium Genavense Infection: A Case Report.

IF 2.4 Q2 INFECTIOUS DISEASES
Jannik Sonnenberg, Gert Gabriels, Ioana Diana Olaru, Sebastian Mühl, Julia Fischer, Hermann Pavenstädt, Jonel Trebicka, Kai-Henrik Peiffer, Phil-Robin Tepasse
{"title":"The Underestimated Threat-Mycobacterium Genavense Infection: A Case Report.","authors":"Jannik Sonnenberg, Gert Gabriels, Ioana Diana Olaru, Sebastian Mühl, Julia Fischer, Hermann Pavenstädt, Jonel Trebicka, Kai-Henrik Peiffer, Phil-Robin Tepasse","doi":"10.3390/idr17030060","DOIUrl":null,"url":null,"abstract":"<p><strong>Background/objectives: </strong>Nontuberculous mycobacteria (NTM) represent a heterogeneous group of pathogens with increasing global prevalence and significant geographical variation in species distribution. NTM infections, often affecting immunocompromised individuals, are difficult to diagnose due to nonspecific clinical presentations and laboratory findings. This case study presents a rare extrapulmonary NTM infection in a 73-year-old man, initially misdiagnosed as sarcoidosis, highlighting the diagnostic and therapeutic challenges posed by such infections.</p><p><strong>Methods: </strong>The patient, a pigeon fancier, presented with recurrent fever and pancytopenia. Extensive diagnostics included blood cultures, bone marrow aspiration, and histopathology. Initial cultures and serological tests remained negative.</p><p><strong>Results: </strong>Bone marrow aspiration revealed epithelioid granulomas, initially leading to the provisional diagnosis of sarcoidosis. However, after six weeks, <i>M. genavense</i> was isolated from mycobacterial blood cultures from bone marrow aspirant. Antimicrobial therapy with azithromycin, rifampicin, and ethambutol was initiated. Following the initiation of appropriate antimycobacterial therapy, the patient developed immune reconstitution inflammatory syndrome (IRIS), which was managed with supportive care. The patient's condition improved, and no further febrile episodes occurred post-treatment, marking the successful conclusion of NTM therapy.</p><p><strong>Conclusions: </strong>This case underscores the diagnostic complexity of extrapulmonary NTM infections, particularly in immunocompromised patients. Misdiagnosis can delay appropriate treatment. <i>M. genavense</i>, though rare, should be considered in patients with a fever of unknown origin, especially with a background of immunosuppression. Prompt mycobacterial testing and tailored antibiotic therapy are crucial to improving outcomes in NTM infections.</p>","PeriodicalId":13579,"journal":{"name":"Infectious Disease Reports","volume":"17 3","pages":""},"PeriodicalIF":2.4000,"publicationDate":"2025-06-01","publicationTypes":"Journal Article","fieldsOfStudy":null,"isOpenAccess":false,"openAccessPdf":"https://www.ncbi.nlm.nih.gov/pmc/articles/PMC12193701/pdf/","citationCount":"0","resultStr":null,"platform":"Semanticscholar","paperid":null,"PeriodicalName":"Infectious Disease Reports","FirstCategoryId":"1085","ListUrlMain":"https://doi.org/10.3390/idr17030060","RegionNum":0,"RegionCategory":null,"ArticlePicture":[],"TitleCN":null,"AbstractTextCN":null,"PMCID":null,"EPubDate":"","PubModel":"","JCR":"Q2","JCRName":"INFECTIOUS DISEASES","Score":null,"Total":0}
引用次数: 0

Abstract

Background/objectives: Nontuberculous mycobacteria (NTM) represent a heterogeneous group of pathogens with increasing global prevalence and significant geographical variation in species distribution. NTM infections, often affecting immunocompromised individuals, are difficult to diagnose due to nonspecific clinical presentations and laboratory findings. This case study presents a rare extrapulmonary NTM infection in a 73-year-old man, initially misdiagnosed as sarcoidosis, highlighting the diagnostic and therapeutic challenges posed by such infections.

Methods: The patient, a pigeon fancier, presented with recurrent fever and pancytopenia. Extensive diagnostics included blood cultures, bone marrow aspiration, and histopathology. Initial cultures and serological tests remained negative.

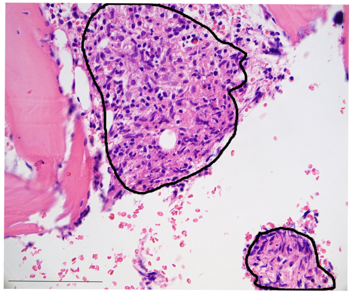
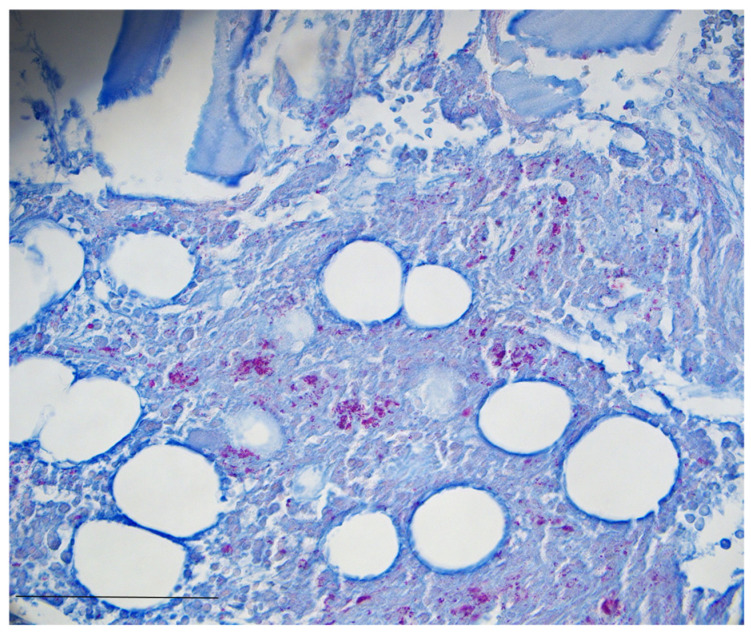
Results: Bone marrow aspiration revealed epithelioid granulomas, initially leading to the provisional diagnosis of sarcoidosis. However, after six weeks, M. genavense was isolated from mycobacterial blood cultures from bone marrow aspirant. Antimicrobial therapy with azithromycin, rifampicin, and ethambutol was initiated. Following the initiation of appropriate antimycobacterial therapy, the patient developed immune reconstitution inflammatory syndrome (IRIS), which was managed with supportive care. The patient's condition improved, and no further febrile episodes occurred post-treatment, marking the successful conclusion of NTM therapy.

Conclusions: This case underscores the diagnostic complexity of extrapulmonary NTM infections, particularly in immunocompromised patients. Misdiagnosis can delay appropriate treatment. M. genavense, though rare, should be considered in patients with a fever of unknown origin, especially with a background of immunosuppression. Prompt mycobacterial testing and tailored antibiotic therapy are crucial to improving outcomes in NTM infections.

Abstract Image

Abstract Image

被低估的威胁——Genavense分枝杆菌感染1例报告。
背景/目的:非结核分枝杆菌(NTM)是一种异质性的病原体群,其全球流行率不断上升,物种分布存在显著的地理差异。NTM感染通常影响免疫功能低下的个体,由于非特异性临床表现和实验室结果难以诊断。本病例研究报告了一名73岁男性的罕见肺外NTM感染,最初被误诊为结节病,突出了此类感染带来的诊断和治疗挑战。方法:患者为鸽子爱好者,表现为反复发热和全血细胞减少症。广泛的诊断包括血液培养、骨髓穿刺和组织病理学。初始培养和血清学测试均为阴性。结果:骨髓穿刺显示上皮样肉芽肿,初步诊断为结节病。然而,6周后,从骨髓抽吸的分枝杆菌血培养物中分离出genavense。开始使用阿奇霉素、利福平和乙胺丁醇进行抗菌治疗。在开始适当的抗真菌治疗后,患者出现了免疫重建炎症综合征(IRIS),并接受了支持性治疗。患者病情好转,治疗后无发热发作,NTM治疗圆满结束。结论:该病例强调了肺外NTM感染的诊断复杂性,特别是在免疫功能低下的患者中。误诊会延误适当的治疗。genavense虽然罕见,但应考虑不明原因发热的患者,特别是免疫抑制背景的患者。及时的分枝杆菌检测和量身定制的抗生素治疗对于改善NTM感染的预后至关重要。
本文章由计算机程序翻译,如有差异,请以英文原文为准。
求助全文
约1分钟内获得全文 求助全文
来源期刊
Infectious Disease Reports
Infectious Disease Reports INFECTIOUS DISEASES-
CiteScore
5.10
自引率
0.00%
发文量
82
审稿时长
11 weeks
×
引用
GB/T 7714-2015
复制
MLA
复制
APA
复制
导出至
BibTeX EndNote RefMan NoteFirst NoteExpress
×
提示
您的信息不完整,为了账户安全,请先补充。
现在去补充
×
提示
您因"违规操作"
具体请查看互助需知
我知道了
×
提示
确定
请完成安全验证×
copy
已复制链接
快去分享给好友吧!
我知道了
右上角分享
点击右上角分享
0
联系我们:info@booksci.cn Book学术提供免费学术资源搜索服务,方便国内外学者检索中英文文献。致力于提供最便捷和优质的服务体验。 Copyright © 2023 布克学术 All rights reserved.
京ICP备2023020795号-1
ghs 京公网安备 11010802042870号
Book学术文献互助
Book学术文献互助群
群 号:604180095
Book学术官方微信