Successful treatment of metastatic dermatofibrosarcoma protuberans of the breast to the lungs with imatinib mesylate: a case report.

IF 1.3 Q4 ONCOLOGY
ecancermedicalscience Pub Date : 2025-05-27 eCollection Date: 2025-01-01 DOI:10.3332/ecancer.2025.1912
Stephen Kpatsi, Joseph Daniels, Kofi Adesi Kyei, Verna Vanderpuye
{"title":"Successful treatment of metastatic dermatofibrosarcoma protuberans of the breast to the lungs with imatinib mesylate: a case report.","authors":"Stephen Kpatsi, Joseph Daniels, Kofi Adesi Kyei, Verna Vanderpuye","doi":"10.3332/ecancer.2025.1912","DOIUrl":null,"url":null,"abstract":"<p><p>Dermatofibrosarcoma protuberans (DFSPs) is a low-grade mesenchymal tumour of dermal origin. Although lung metastasis is common, primary breast involvement is a very rare occurrence. The head and neck region, trunk and extremities are the common primary sites even though any site of the body may be potentially involved. Complete surgical resection with negative margins is the standard of care for nonmetastatic cases of DFSP. To the best of our knowledge, there have been no previous reports of metastatic DFSP of the breast to the lungs among male patients in sub-Saharan Africa. This case report presents data on a 32-year-old male with metastatic DFSP of the left breast to the lungs who was successfully treated with 800 mg daily imatinib mesylate therapy and achieved a complete radiological and clinical response after 1 year of palliative therapy.</p>","PeriodicalId":11460,"journal":{"name":"ecancermedicalscience","volume":"19 ","pages":"1912"},"PeriodicalIF":1.3000,"publicationDate":"2025-05-27","publicationTypes":"Journal Article","fieldsOfStudy":null,"isOpenAccess":false,"openAccessPdf":"https://www.ncbi.nlm.nih.gov/pmc/articles/PMC12185871/pdf/","citationCount":"0","resultStr":null,"platform":"Semanticscholar","paperid":null,"PeriodicalName":"ecancermedicalscience","FirstCategoryId":"1085","ListUrlMain":"https://doi.org/10.3332/ecancer.2025.1912","RegionNum":0,"RegionCategory":null,"ArticlePicture":[],"TitleCN":null,"AbstractTextCN":null,"PMCID":null,"EPubDate":"2025/1/1 0:00:00","PubModel":"eCollection","JCR":"Q4","JCRName":"ONCOLOGY","Score":null,"Total":0}
引用次数: 0

Abstract

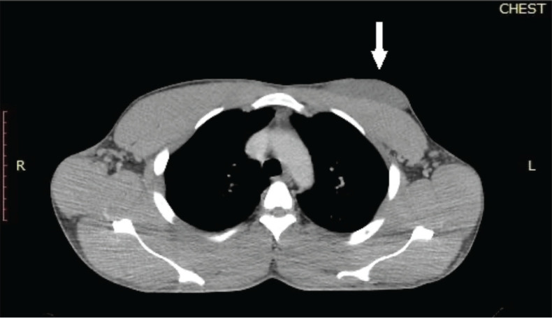
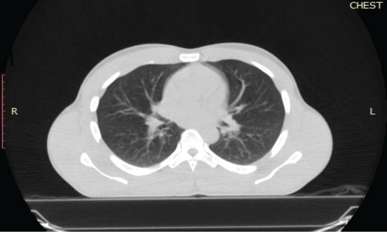
Dermatofibrosarcoma protuberans (DFSPs) is a low-grade mesenchymal tumour of dermal origin. Although lung metastasis is common, primary breast involvement is a very rare occurrence. The head and neck region, trunk and extremities are the common primary sites even though any site of the body may be potentially involved. Complete surgical resection with negative margins is the standard of care for nonmetastatic cases of DFSP. To the best of our knowledge, there have been no previous reports of metastatic DFSP of the breast to the lungs among male patients in sub-Saharan Africa. This case report presents data on a 32-year-old male with metastatic DFSP of the left breast to the lungs who was successfully treated with 800 mg daily imatinib mesylate therapy and achieved a complete radiological and clinical response after 1 year of palliative therapy.

Abstract Image

Abstract Image

Abstract Image

甲磺酸伊马替尼成功治疗乳腺至肺部转移性皮肤纤维肉瘤一例报告。
隆突性皮肤纤维肉瘤(DFSPs)是一种起源于真皮的低级别间充质肿瘤。虽然肺转移是常见的,原发累及乳房是非常罕见的发生。头颈部、躯干和四肢是常见的主要发病部位,即使身体的任何部位都可能受累。完全手术切除阴性切缘是治疗非转移性DFSP的标准方法。据我们所知,在撒哈拉以南非洲的男性患者中,没有关于乳房转移性DFSP到肺部的报道。本病例报告介绍了一名32岁男性左乳房转移性DFSP至肺部的病例,他成功地接受了每日800毫克甲磺酸伊马替尼治疗,并在1年的姑息治疗后获得了完全的放射学和临床反应。
本文章由计算机程序翻译,如有差异,请以英文原文为准。
求助全文
约1分钟内获得全文 求助全文
来源期刊
CiteScore
3.80
自引率
5.60%
发文量
138
审稿时长
27 weeks
×
引用
GB/T 7714-2015
复制
MLA
复制
APA
复制
导出至
BibTeX EndNote RefMan NoteFirst NoteExpress
×
提示
您的信息不完整,为了账户安全,请先补充。
现在去补充
×
提示
您因"违规操作"
具体请查看互助需知
我知道了
×
提示
确定
请完成安全验证×
copy
已复制链接
快去分享给好友吧!
我知道了
右上角分享
点击右上角分享
0
联系我们:info@booksci.cn Book学术提供免费学术资源搜索服务,方便国内外学者检索中英文文献。致力于提供最便捷和优质的服务体验。 Copyright © 2023 布克学术 All rights reserved.
京ICP备2023020795号-1
ghs 京公网安备 11010802042870号
Book学术文献互助
Book学术文献互助群
群 号:604180095
Book学术官方微信