Rare presentation of multicentric sebaceous carcinoma of the breast in a 33-year-old woman: diagnostic challenges and treatment approach.

IF 1.3 Q4 ONCOLOGY
ecancermedicalscience Pub Date : 2025-05-15 eCollection Date: 2025-01-01 DOI:10.3332/ecancer.2025.1908
Izaberen Sampaio Estevam, Mariana Macambira Noronha, Júlia Matos Dubanhevitz, Eric Lima Freitas Mota, Ígor Giordan Duarte Jorge, Conceição Aparecida Dornelas, Diane Isabelle Magno Cavalcante, Georgia Fiuza Alencar Araripe, Márcio Marcondes Vieira
{"title":"Rare presentation of multicentric sebaceous carcinoma of the breast in a 33-year-old woman: diagnostic challenges and treatment approach.","authors":"Izaberen Sampaio Estevam, Mariana Macambira Noronha, Júlia Matos Dubanhevitz, Eric Lima Freitas Mota, Ígor Giordan Duarte Jorge, Conceição Aparecida Dornelas, Diane Isabelle Magno Cavalcante, Georgia Fiuza Alencar Araripe, Márcio Marcondes Vieira","doi":"10.3332/ecancer.2025.1908","DOIUrl":null,"url":null,"abstract":"<p><strong>Background: </strong>Sebaceous carcinoma of the breast (SCB) is an unusual neoplasm. To the best of our knowledge, only 30 cases have been reported in the literature. Due to its rarity, there is limited knowledge on how to manage patients with SCB. This article aims to describe a case of multicentric sebaceous breast carcinoma in a 33-year-old woman detailing the diagnostic process, historical findings and the treatment approach.</p>","PeriodicalId":11460,"journal":{"name":"ecancermedicalscience","volume":"19 ","pages":"1908"},"PeriodicalIF":1.3000,"publicationDate":"2025-05-15","publicationTypes":"Journal Article","fieldsOfStudy":null,"isOpenAccess":false,"openAccessPdf":"https://www.ncbi.nlm.nih.gov/pmc/articles/PMC12185865/pdf/","citationCount":"0","resultStr":null,"platform":"Semanticscholar","paperid":null,"PeriodicalName":"ecancermedicalscience","FirstCategoryId":"1085","ListUrlMain":"https://doi.org/10.3332/ecancer.2025.1908","RegionNum":0,"RegionCategory":null,"ArticlePicture":[],"TitleCN":null,"AbstractTextCN":null,"PMCID":null,"EPubDate":"2025/1/1 0:00:00","PubModel":"eCollection","JCR":"Q4","JCRName":"ONCOLOGY","Score":null,"Total":0}
引用次数: 0

Abstract

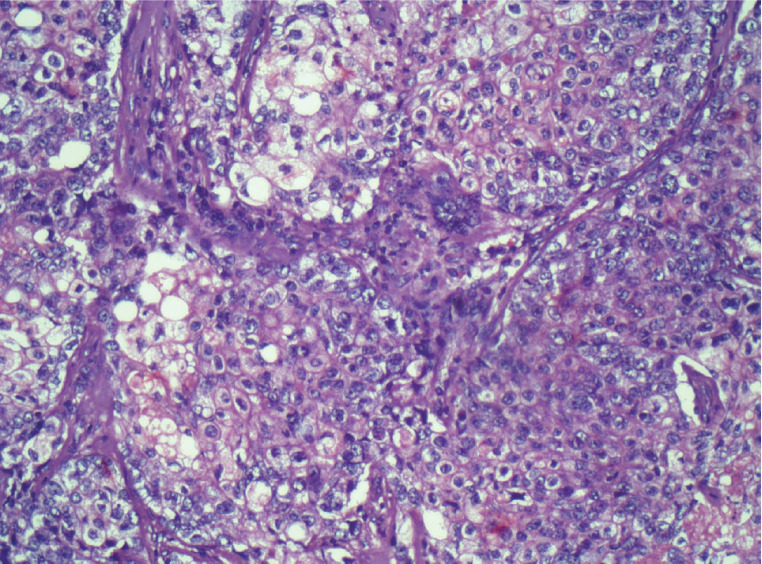
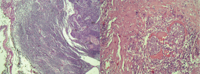
Background: Sebaceous carcinoma of the breast (SCB) is an unusual neoplasm. To the best of our knowledge, only 30 cases have been reported in the literature. Due to its rarity, there is limited knowledge on how to manage patients with SCB. This article aims to describe a case of multicentric sebaceous breast carcinoma in a 33-year-old woman detailing the diagnostic process, historical findings and the treatment approach.

Abstract Image

Abstract Image

Abstract Image

罕见的多中心皮脂腺癌的表现在一个33岁的妇女乳腺:诊断挑战和治疗方法。
背景:乳腺皮脂腺癌是一种罕见的肿瘤。据我们所知,文献中只报道了30例。由于其罕见性,关于如何管理SCB患者的知识有限。这篇文章的目的是描述一个多中心皮脂腺乳腺癌的病例在一个33岁的妇女详细的诊断过程,历史发现和治疗方法。
本文章由计算机程序翻译,如有差异,请以英文原文为准。
求助全文
约1分钟内获得全文 求助全文
来源期刊
CiteScore
3.80
自引率
5.60%
发文量
138
审稿时长
27 weeks
×
引用
GB/T 7714-2015
复制
MLA
复制
APA
复制
导出至
BibTeX EndNote RefMan NoteFirst NoteExpress
×
提示
您的信息不完整,为了账户安全,请先补充。
现在去补充
×
提示
您因"违规操作"
具体请查看互助需知
我知道了
×
提示
确定
请完成安全验证×
copy
已复制链接
快去分享给好友吧!
我知道了
右上角分享
点击右上角分享
0
联系我们:info@booksci.cn Book学术提供免费学术资源搜索服务,方便国内外学者检索中英文文献。致力于提供最便捷和优质的服务体验。 Copyright © 2023 布克学术 All rights reserved.
京ICP备2023020795号-1
ghs 京公网安备 11010802042870号
Book学术文献互助
Book学术文献互助群
群 号:604180095
Book学术官方微信