Prostatic stromal tumour of uncertain malignant potential: surgical treatment in a young patient.

IF 1.3 Q4 ONCOLOGY
ecancermedicalscience Pub Date : 2025-05-27 eCollection Date: 2025-01-01 DOI:10.3332/ecancer.2025.1913
Joaquin Fernandez-Alberti, Alex R Villaalta López, Guillermo Scolari, Alejandro Iotti, Marcelo Featherston
{"title":"Prostatic stromal tumour of uncertain malignant potential: surgical treatment in a young patient.","authors":"Joaquin Fernandez-Alberti, Alex R Villaalta López, Guillermo Scolari, Alejandro Iotti, Marcelo Featherston","doi":"10.3332/ecancer.2025.1913","DOIUrl":null,"url":null,"abstract":"<p><p>Prostate stromal tumour of uncertain malignant potential is a term used to describe a specialised proliferation of stromal cells within the prostate, most tend to be benign, but some can present with local invasion or progress to prostatic stromal sarcoma with distant metastasis. Fortunately, they represent less than 1% of prostate cancers and only a few cases have been described in the literature. We report a case of a 39-year-old male patient who was referred to our centre with this recent diagnosis in the context of acute urinary retention. After an interdisciplinary consideration, a radical prostatectomy was decided for treatment.</p>","PeriodicalId":11460,"journal":{"name":"ecancermedicalscience","volume":"19 ","pages":"1913"},"PeriodicalIF":1.3000,"publicationDate":"2025-05-27","publicationTypes":"Journal Article","fieldsOfStudy":null,"isOpenAccess":false,"openAccessPdf":"https://www.ncbi.nlm.nih.gov/pmc/articles/PMC12185863/pdf/","citationCount":"0","resultStr":null,"platform":"Semanticscholar","paperid":null,"PeriodicalName":"ecancermedicalscience","FirstCategoryId":"1085","ListUrlMain":"https://doi.org/10.3332/ecancer.2025.1913","RegionNum":0,"RegionCategory":null,"ArticlePicture":[],"TitleCN":null,"AbstractTextCN":null,"PMCID":null,"EPubDate":"2025/1/1 0:00:00","PubModel":"eCollection","JCR":"Q4","JCRName":"ONCOLOGY","Score":null,"Total":0}
引用次数: 0

Abstract

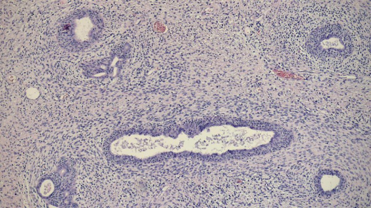
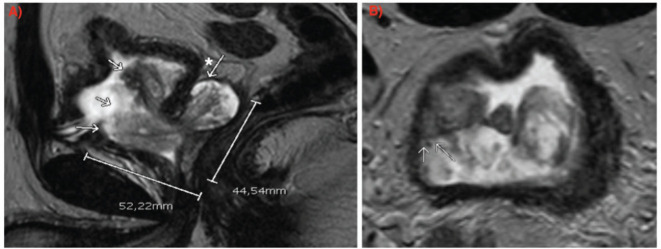
Prostate stromal tumour of uncertain malignant potential is a term used to describe a specialised proliferation of stromal cells within the prostate, most tend to be benign, but some can present with local invasion or progress to prostatic stromal sarcoma with distant metastasis. Fortunately, they represent less than 1% of prostate cancers and only a few cases have been described in the literature. We report a case of a 39-year-old male patient who was referred to our centre with this recent diagnosis in the context of acute urinary retention. After an interdisciplinary consideration, a radical prostatectomy was decided for treatment.

Abstract Image

Abstract Image

Abstract Image

恶性潜能不确定的前列腺间质瘤:一例年轻患者的手术治疗。
恶性潜能不确定的前列腺间质瘤是一个用来描述前列腺内间质细胞特化增殖的术语,大多数是良性的,但也有一些可以表现为局部侵袭或进展为前列腺间质肉瘤并远处转移。幸运的是,它们占前列腺癌的比例不到1%,文献中也只有少数病例被描述过。我们报告一个39岁的男性病人,他被转介到我们的中心,最近诊断为急性尿潴留。经过跨学科的考虑,我们决定采用根治性前列腺切除术治疗。
本文章由计算机程序翻译,如有差异,请以英文原文为准。
求助全文
约1分钟内获得全文 求助全文
来源期刊
CiteScore
3.80
自引率
5.60%
发文量
138
审稿时长
27 weeks
×
引用
GB/T 7714-2015
复制
MLA
复制
APA
复制
导出至
BibTeX EndNote RefMan NoteFirst NoteExpress
×
提示
您的信息不完整,为了账户安全,请先补充。
现在去补充
×
提示
您因"违规操作"
具体请查看互助需知
我知道了
×
提示
确定
请完成安全验证×
copy
已复制链接
快去分享给好友吧!
我知道了
右上角分享
点击右上角分享
0
联系我们:info@booksci.cn Book学术提供免费学术资源搜索服务,方便国内外学者检索中英文文献。致力于提供最便捷和优质的服务体验。 Copyright © 2023 布克学术 All rights reserved.
京ICP备2023020795号-1
ghs 京公网安备 11010802042870号
Book学术文献互助
Book学术文献互助群
群 号:604180095
Book学术官方微信