Gastric schwannoma with atypical manifestations in an adult patient: case report and literature review.

IF 1.3 Q4 ONCOLOGY
ecancermedicalscience Pub Date : 2025-05-27 eCollection Date: 2025-01-01 DOI:10.3332/ecancer.2025.1910
Yanet Isabel Carrasco Rojas, Albert Gabriel Turpo Peqqueña, Natalia Camila Zenteno Tejada, Victoria Elena Quispe Pastor, Juan Augusto Martínez San Martín, Evelyn Maria Chambilla Huellcacure
{"title":"Gastric schwannoma with atypical manifestations in an adult patient: case report and literature review.","authors":"Yanet Isabel Carrasco Rojas, Albert Gabriel Turpo Peqqueña, Natalia Camila Zenteno Tejada, Victoria Elena Quispe Pastor, Juan Augusto Martínez San Martín, Evelyn Maria Chambilla Huellcacure","doi":"10.3332/ecancer.2025.1910","DOIUrl":null,"url":null,"abstract":"<p><p>Gastric schwannomas (GS) are rare tumours originating from Schwann cells that affect the gastrointestinal tract, posing a diagnostic challenge due to their nonspecific symptoms. We report the case of a 61-year-old female presented with gastric fullness and occasional episodes of abdominal pain. Computed tomography revealed a solid mass in the lesser curvature of the stomach, initially suspected to be a gastrointestinal stromal tumours. During surgery, an exophytic lesion was identified and confirmed histopathologically and immunohistochemically as a gastric schwannoma. GS should be considered in the differential diagnosis of gastric subepithelial tumours. Its diagnosis relies on immunohistochemistry, and surgical resection ensures effective treatment.</p>","PeriodicalId":11460,"journal":{"name":"ecancermedicalscience","volume":"19 ","pages":"1910"},"PeriodicalIF":1.3000,"publicationDate":"2025-05-27","publicationTypes":"Journal Article","fieldsOfStudy":null,"isOpenAccess":false,"openAccessPdf":"https://www.ncbi.nlm.nih.gov/pmc/articles/PMC12185875/pdf/","citationCount":"0","resultStr":null,"platform":"Semanticscholar","paperid":null,"PeriodicalName":"ecancermedicalscience","FirstCategoryId":"1085","ListUrlMain":"https://doi.org/10.3332/ecancer.2025.1910","RegionNum":0,"RegionCategory":null,"ArticlePicture":[],"TitleCN":null,"AbstractTextCN":null,"PMCID":null,"EPubDate":"2025/1/1 0:00:00","PubModel":"eCollection","JCR":"Q4","JCRName":"ONCOLOGY","Score":null,"Total":0}
引用次数: 0

Abstract

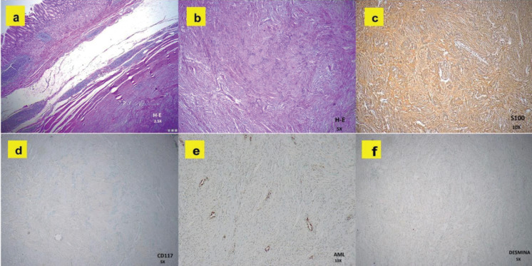
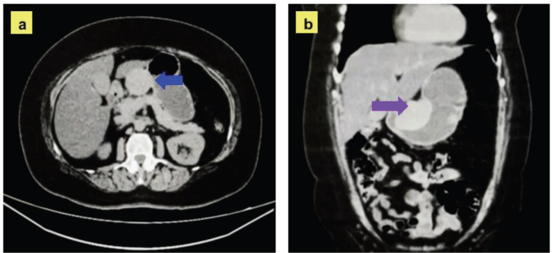
Gastric schwannomas (GS) are rare tumours originating from Schwann cells that affect the gastrointestinal tract, posing a diagnostic challenge due to their nonspecific symptoms. We report the case of a 61-year-old female presented with gastric fullness and occasional episodes of abdominal pain. Computed tomography revealed a solid mass in the lesser curvature of the stomach, initially suspected to be a gastrointestinal stromal tumours. During surgery, an exophytic lesion was identified and confirmed histopathologically and immunohistochemically as a gastric schwannoma. GS should be considered in the differential diagnosis of gastric subepithelial tumours. Its diagnosis relies on immunohistochemistry, and surgical resection ensures effective treatment.

Abstract Image

Abstract Image

Abstract Image

成人不典型表现的胃神经鞘瘤1例报告及文献复习。
胃神经鞘瘤(GS)是一种罕见的肿瘤,起源于影响胃肠道的雪旺细胞,由于其非特异性症状,给诊断带来了挑战。我们报告的情况下,61岁的女性提出胃饱和偶尔发作的腹痛。计算机断层扫描显示胃小弯处一实性肿块,最初怀疑为胃肠道间质瘤。手术期间,外生性病变被组织病理学和免疫组织化学鉴定为胃神经鞘瘤。胃上皮下肿瘤的鉴别诊断应考虑GS。其诊断依赖于免疫组织化学,手术切除确保有效治疗。
本文章由计算机程序翻译,如有差异,请以英文原文为准。
求助全文
约1分钟内获得全文 求助全文
来源期刊
CiteScore
3.80
自引率
5.60%
发文量
138
审稿时长
27 weeks
×
引用
GB/T 7714-2015
复制
MLA
复制
APA
复制
导出至
BibTeX EndNote RefMan NoteFirst NoteExpress
×
提示
您的信息不完整,为了账户安全,请先补充。
现在去补充
×
提示
您因"违规操作"
具体请查看互助需知
我知道了
×
提示
确定
请完成安全验证×
copy
已复制链接
快去分享给好友吧!
我知道了
右上角分享
点击右上角分享
0
联系我们:info@booksci.cn Book学术提供免费学术资源搜索服务,方便国内外学者检索中英文文献。致力于提供最便捷和优质的服务体验。 Copyright © 2023 布克学术 All rights reserved.
京ICP备2023020795号-1
ghs 京公网安备 11010802042870号
Book学术文献互助
Book学术文献互助群
群 号:604180095
Book学术官方微信