Excellent response to trametinib and low dose chemotherapy in a patient with rare RAF1 mutated sarcoma in a tertiary care center in India.

IF 1.3 Q4 ONCOLOGY
ecancermedicalscience Pub Date : 2025-05-15 eCollection Date: 2025-01-01 DOI:10.3332/ecancer.2025.1907
Anjali Govind, Sameer Rastogi, Sunil Pasricha, Shamim Ahmed, Aastha Goel
{"title":"Excellent response to trametinib and low dose chemotherapy in a patient with rare RAF1 mutated sarcoma in a tertiary care center in India.","authors":"Anjali Govind, Sameer Rastogi, Sunil Pasricha, Shamim Ahmed, Aastha Goel","doi":"10.3332/ecancer.2025.1907","DOIUrl":null,"url":null,"abstract":"<p><p>With the advent of next-generation sequencing, increasingly we can sub classify the soft tissue sarcomas into various subtypes with distinct prognostic and therapeutic implications. Sarcomas with RAF1 mutations are extremely rare and so far, the treatment strategies are not known. Here, we report a case of a 48-year-old lady who initially presented with right ear swelling, which was excised and was suggestive of dermatofibrosarcoma protuberans with S100 expression. After a disease-free interval of 25 months, the patient relapsed with metastasis in the lung. Repeat biopsy and next-generation sequencing (NGS) were suggestive of PDZRN3/RAF1 fusion mutated sarcoma. On presentation, the patient had an Eastern Cooperative Oncology Group performance status of 4 and had respiratory distress due to lung metastasis. After consensus and decision in the molecular tumour board, the patient was started on low-dose trametinib and doxorubicin. After three cycles of treatment, the patient had a partial response and post six cycles she had a near-complete response. This case exemplifies the value of molecular characterisation of soft tissue sarcoma and adds to the already sparse literature for RAF1 mutated sarcomas.</p>","PeriodicalId":11460,"journal":{"name":"ecancermedicalscience","volume":"19 ","pages":"1907"},"PeriodicalIF":1.3000,"publicationDate":"2025-05-15","publicationTypes":"Journal Article","fieldsOfStudy":null,"isOpenAccess":false,"openAccessPdf":"https://www.ncbi.nlm.nih.gov/pmc/articles/PMC12185869/pdf/","citationCount":"0","resultStr":null,"platform":"Semanticscholar","paperid":null,"PeriodicalName":"ecancermedicalscience","FirstCategoryId":"1085","ListUrlMain":"https://doi.org/10.3332/ecancer.2025.1907","RegionNum":0,"RegionCategory":null,"ArticlePicture":[],"TitleCN":null,"AbstractTextCN":null,"PMCID":null,"EPubDate":"2025/1/1 0:00:00","PubModel":"eCollection","JCR":"Q4","JCRName":"ONCOLOGY","Score":null,"Total":0}
引用次数: 0

Abstract

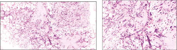
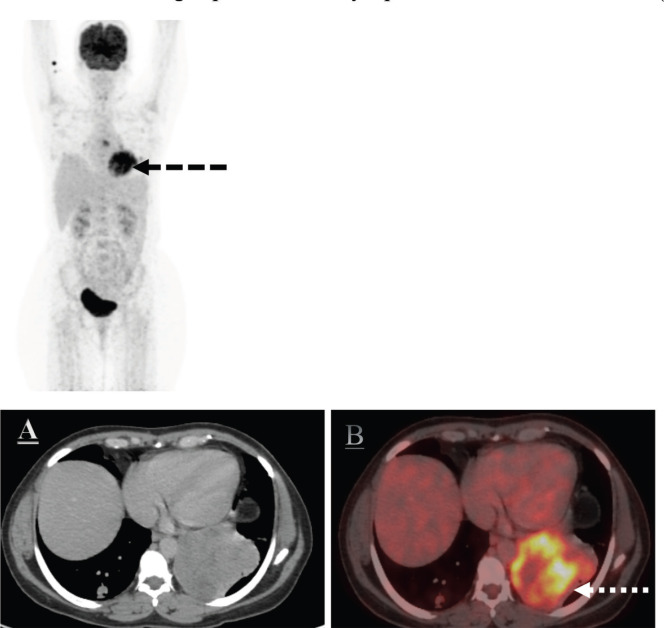
With the advent of next-generation sequencing, increasingly we can sub classify the soft tissue sarcomas into various subtypes with distinct prognostic and therapeutic implications. Sarcomas with RAF1 mutations are extremely rare and so far, the treatment strategies are not known. Here, we report a case of a 48-year-old lady who initially presented with right ear swelling, which was excised and was suggestive of dermatofibrosarcoma protuberans with S100 expression. After a disease-free interval of 25 months, the patient relapsed with metastasis in the lung. Repeat biopsy and next-generation sequencing (NGS) were suggestive of PDZRN3/RAF1 fusion mutated sarcoma. On presentation, the patient had an Eastern Cooperative Oncology Group performance status of 4 and had respiratory distress due to lung metastasis. After consensus and decision in the molecular tumour board, the patient was started on low-dose trametinib and doxorubicin. After three cycles of treatment, the patient had a partial response and post six cycles she had a near-complete response. This case exemplifies the value of molecular characterisation of soft tissue sarcoma and adds to the already sparse literature for RAF1 mutated sarcomas.

Abstract Image

Abstract Image

Abstract Image

印度三级医疗中心一例罕见的RAF1突变肉瘤患者对曲美替尼和低剂量化疗的良好反应。
随着新一代测序技术的出现,我们越来越多地可以将软组织肉瘤亚分类为具有不同预后和治疗意义的不同亚型。具有RAF1突变的肉瘤极为罕见,迄今为止,治疗策略尚不清楚。在这里,我们报告一例48岁的女性,她最初表现为右耳肿胀,切除后提示有S100表达的隆突性皮肤纤维肉瘤。无病间隔25个月后,患者复发并肺转移。重复活检和下一代测序(NGS)提示PDZRN3/RAF1融合突变肉瘤。入院时,患者在东部肿瘤合作组的评分为4分,因肺转移而出现呼吸窘迫。在分子肿瘤委员会达成共识和决定后,患者开始使用低剂量曲美替尼和阿霉素。经过三个周期的治疗,患者有部分反应,六个周期后,她有一个近乎完全的反应。该病例体现了软组织肉瘤分子特征的价值,并增加了已经稀少的关于RAF1突变肉瘤的文献。
本文章由计算机程序翻译,如有差异,请以英文原文为准。
求助全文
约1分钟内获得全文 求助全文
来源期刊
CiteScore
3.80
自引率
5.60%
发文量
138
审稿时长
27 weeks
×
引用
GB/T 7714-2015
复制
MLA
复制
APA
复制
导出至
BibTeX EndNote RefMan NoteFirst NoteExpress
×
提示
您的信息不完整,为了账户安全,请先补充。
现在去补充
×
提示
您因"违规操作"
具体请查看互助需知
我知道了
×
提示
确定
请完成安全验证×
copy
已复制链接
快去分享给好友吧!
我知道了
右上角分享
点击右上角分享
0
联系我们:info@booksci.cn Book学术提供免费学术资源搜索服务,方便国内外学者检索中英文文献。致力于提供最便捷和优质的服务体验。 Copyright © 2023 布克学术 All rights reserved.
京ICP备2023020795号-1
ghs 京公网安备 11010802042870号
Book学术文献互助
Book学术文献互助群
群 号:604180095
Book学术官方微信