Lyme Neuroborreliosis Presenting with Isolated Intracranial Hypertension: A Case Report.

IF 0.6 Q4 CLINICAL NEUROLOGY
Case Reports in Neurology Pub Date : 2025-05-26 eCollection Date: 2025-01-01 DOI:10.1159/000546097
Dax Bourcier, Joyce Beshara, Griffin Pauli, Tyler Henry, Michael Peckford, Richard Huntsman, Bashar M Bata, Tobias R Kollmann
{"title":"Lyme Neuroborreliosis Presenting with Isolated Intracranial Hypertension: A Case Report.","authors":"Dax Bourcier, Joyce Beshara, Griffin Pauli, Tyler Henry, Michael Peckford, Richard Huntsman, Bashar M Bata, Tobias R Kollmann","doi":"10.1159/000546097","DOIUrl":null,"url":null,"abstract":"<p><strong>Background: </strong>Lyme borreliosis, a tick-borne illness caused by <i>Borrelia burgdorferi</i>, is increasingly prevalent in Nova Scotia, Canada, which has the highest incidence in North America. While most cases present as early localized disease, approximately 20% develop early disseminated disease, which can include neurological symptoms, an entity called Lyme neuroborreliosis (LNB). This case report describes an unusual LNB presentation with isolated intracranial hypertension (IH).</p><p><strong>Case presentation: </strong>A 6-year-old female presented to our pediatric hospital with binocular horizontal diplopia, headache, fever, malaise, and suspected papilledema 47 days after an embedded tick bite. A diagnosis of Lyme disease had been made 10 days prior in the community based on positive serologies and erythema migrans, but she developed a Jarisch-Herxheimer reaction within 24 h of oral doxycycline, leading to an antibiotic change to amoxicillin. During the hospital admission, an ophthalmological examination revealed papilledema and IH was evidenced by an opening pressure of 36 mm Hg and brain MRI findings. The lumbar puncture revealed pleocytosis and positive cerebrospinal fluid antibodies for <i>Borrelia</i>. The patient was initially treated with 2 days of ceftriaxone, followed by a 12-day outpatient course of doxycycline for LNB. High doses of acetazolamide (500 mg TID) were needed to achieve symptom control. Two months after her hospital discharge, there was resolution of papilledema and the acetazolamide was weaned.</p><p><strong>Conclusion: </strong>This case highlights the importance of considering Lyme disease in the differential diagnosis of IH, particularly in endemic regions. Early recognition, diagnostic workup, and appropriate treatment are crucial for optimal outcomes in LNB.</p>","PeriodicalId":9639,"journal":{"name":"Case Reports in Neurology","volume":"17 1","pages":"72-78"},"PeriodicalIF":0.6000,"publicationDate":"2025-05-26","publicationTypes":"Journal Article","fieldsOfStudy":null,"isOpenAccess":false,"openAccessPdf":"https://www.ncbi.nlm.nih.gov/pmc/articles/PMC12187110/pdf/","citationCount":"0","resultStr":null,"platform":"Semanticscholar","paperid":null,"PeriodicalName":"Case Reports in Neurology","FirstCategoryId":"1085","ListUrlMain":"https://doi.org/10.1159/000546097","RegionNum":0,"RegionCategory":null,"ArticlePicture":[],"TitleCN":null,"AbstractTextCN":null,"PMCID":null,"EPubDate":"2025/1/1 0:00:00","PubModel":"eCollection","JCR":"Q4","JCRName":"CLINICAL NEUROLOGY","Score":null,"Total":0}
引用次数: 0

Abstract

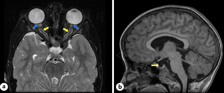
Background: Lyme borreliosis, a tick-borne illness caused by Borrelia burgdorferi, is increasingly prevalent in Nova Scotia, Canada, which has the highest incidence in North America. While most cases present as early localized disease, approximately 20% develop early disseminated disease, which can include neurological symptoms, an entity called Lyme neuroborreliosis (LNB). This case report describes an unusual LNB presentation with isolated intracranial hypertension (IH).

Case presentation: A 6-year-old female presented to our pediatric hospital with binocular horizontal diplopia, headache, fever, malaise, and suspected papilledema 47 days after an embedded tick bite. A diagnosis of Lyme disease had been made 10 days prior in the community based on positive serologies and erythema migrans, but she developed a Jarisch-Herxheimer reaction within 24 h of oral doxycycline, leading to an antibiotic change to amoxicillin. During the hospital admission, an ophthalmological examination revealed papilledema and IH was evidenced by an opening pressure of 36 mm Hg and brain MRI findings. The lumbar puncture revealed pleocytosis and positive cerebrospinal fluid antibodies for Borrelia. The patient was initially treated with 2 days of ceftriaxone, followed by a 12-day outpatient course of doxycycline for LNB. High doses of acetazolamide (500 mg TID) were needed to achieve symptom control. Two months after her hospital discharge, there was resolution of papilledema and the acetazolamide was weaned.

Conclusion: This case highlights the importance of considering Lyme disease in the differential diagnosis of IH, particularly in endemic regions. Early recognition, diagnostic workup, and appropriate treatment are crucial for optimal outcomes in LNB.

Abstract Image

Abstract Image

Abstract Image

以孤立性颅内高压为表现的莱姆病神经螺旋体病1例。
背景:莱姆伯氏疏螺旋体病是一种由伯氏疏螺旋体引起的蜱传疾病,在加拿大新斯科舍省日益流行,在北美发病率最高。虽然大多数病例表现为早期局限性疾病,但约20%的病例发展为早期播散性疾病,其中可能包括神经系统症状,即莱姆病神经螺旋体病(LNB)。这个病例报告描述了一个不寻常的LNB表现与孤立的颅内高压(IH)。病例介绍:一名6岁女童在被蜱虫叮咬47天后,以双眼水平复视、头痛、发热、不适和疑似乳头水肿就诊于儿科医院。根据血清学阳性和移动性红斑,10天前社区诊断为莱姆病,但她在口服多西环素24小时内出现Jarisch-Herxheimer反应,导致抗生素改为阿莫西林。入院期间,眼科检查发现乳头水肿和IH,其证据是36毫米汞柱的开口压和脑MRI结果。腰椎穿刺显示多细胞症和伯氏疏螺旋体脑脊液抗体阳性。患者最初接受2天头孢曲松治疗,随后接受12天的多西环素治疗LNB门诊疗程。需要大剂量乙酰唑胺(500mg TID)才能达到症状控制。出院两个月后,乳头水肿消退,停用乙酰唑胺。结论:该病例强调了在IH鉴别诊断中考虑莱姆病的重要性,特别是在流行地区。早期识别,诊断检查和适当的治疗对于LNB的最佳结果至关重要。
本文章由计算机程序翻译,如有差异,请以英文原文为准。
求助全文
约1分钟内获得全文 求助全文
来源期刊
Case Reports in Neurology
Case Reports in Neurology Medicine-Neurology (clinical)
CiteScore
1.50
自引率
0.00%
发文量
67
审稿时长
14 weeks
期刊介绍: This new peer-reviewed online-only journal publishes original case reports covering the entire spectrum of neurology. Clinicians and researchers are given a tool to disseminate their personal experience to a wider public as well as to review interesting cases encountered by colleagues all over the world. To complement the contributions supplementary material is welcomed. The reports are searchable according to the key words supplied by the authors; it will thus be possible to search across the entire growing collection of case reports with universally used terms, further facilitating the retrieval of specific information. Following the open access principle, the entire contents can be retrieved at no charge, guaranteeing easy access to this valuable source of anecdotal information at all times.
×
引用
GB/T 7714-2015
复制
MLA
复制
APA
复制
导出至
BibTeX EndNote RefMan NoteFirst NoteExpress
×
提示
您的信息不完整,为了账户安全,请先补充。
现在去补充
×
提示
您因"违规操作"
具体请查看互助需知
我知道了
×
提示
确定
请完成安全验证×
copy
已复制链接
快去分享给好友吧!
我知道了
右上角分享
点击右上角分享
0
联系我们:info@booksci.cn Book学术提供免费学术资源搜索服务,方便国内外学者检索中英文文献。致力于提供最便捷和优质的服务体验。 Copyright © 2023 布克学术 All rights reserved.
京ICP备2023020795号-1
ghs 京公网安备 11010802042870号
Book学术文献互助
Book学术文献互助群
群 号:604180095
Book学术官方微信