Production and immunogenicity of a plant-produced beak and feather disease virus vaccine in Japanese quails

IF 2.5 4区 医学 Q3 VIROLOGY
Goodman Mulondo, Mélie L. R. Buyse, Kimberley Labuschagne, David Jarvis, Albertha van Zyl, Edward P. Rybicki, Inga I. Hitzeroth, Sandiswa Mbewana
{"title":"Production and immunogenicity of a plant-produced beak and feather disease virus vaccine in Japanese quails","authors":"Goodman Mulondo,&nbsp;Mélie L. R. Buyse,&nbsp;Kimberley Labuschagne,&nbsp;David Jarvis,&nbsp;Albertha van Zyl,&nbsp;Edward P. Rybicki,&nbsp;Inga I. Hitzeroth,&nbsp;Sandiswa Mbewana","doi":"10.1007/s00705-025-06352-z","DOIUrl":null,"url":null,"abstract":"<div><p>Beak and feather disease virus (BFDV), a single-stranded DNA virus, infects endangered psittacine species, including the South African Cape parrot. The disease is highly contagious and can be transmitted through contact with contaminated faeces, crop secretions, and feather and skin dander. To date, there is no vaccine or cure available for BFDV. The production of an effective vaccine depends on having a production platform and methods that are both easy to use and capable of yielding a significant amount of protein that will induce a sufficient immune response. Therefore, the aim of this study was to produce a plant-based BFDV vaccine candidate and to evaluate its ability to elicit an immune response in birds.</p><p>Recombinant BFDV capsid protein (CP) was transiently expressed in <i>Nicotiana benthamiana</i> and purified using density gradient ultracentrifugation. Japanese quails were immunized with purified BFDV CP. Yolk-derived IgY was purified by water dilution and salt precipitation, and its specificity was verified by western blot analysis. The expression levels of the coat protein increased from non-detectable to an average accumulation of 1.58 mg/kg of fresh plant tissue biomass, and antibodies against BFDV CP were detected in both the blood and eggs of immunized quails, indicating that vaccination with BFDV CP successfully elicited a humoral immune response.</p><p>This study demonstrates that heterologous expression in plants is a viable method for producing BFDV CP. To the best of our knowledge, this is the first study to show the antibody response to a plant-produced BFDV antigen in a quail model. Given that the presence of anti-CP antibodies in infected birds is associated with immunity, this system can potentially be used to produce a vaccine against BFDV.</p></div>","PeriodicalId":8359,"journal":{"name":"Archives of Virology","volume":"170 7","pages":""},"PeriodicalIF":2.5000,"publicationDate":"2025-06-25","publicationTypes":"Journal Article","fieldsOfStudy":null,"isOpenAccess":false,"openAccessPdf":"https://www.ncbi.nlm.nih.gov/pmc/articles/PMC12198067/pdf/","citationCount":"0","resultStr":null,"platform":"Semanticscholar","paperid":null,"PeriodicalName":"Archives of Virology","FirstCategoryId":"3","ListUrlMain":"https://link.springer.com/article/10.1007/s00705-025-06352-z","RegionNum":4,"RegionCategory":"医学","ArticlePicture":[],"TitleCN":null,"AbstractTextCN":null,"PMCID":null,"EPubDate":"","PubModel":"","JCR":"Q3","JCRName":"VIROLOGY","Score":null,"Total":0}
引用次数: 0

Abstract

Beak and feather disease virus (BFDV), a single-stranded DNA virus, infects endangered psittacine species, including the South African Cape parrot. The disease is highly contagious and can be transmitted through contact with contaminated faeces, crop secretions, and feather and skin dander. To date, there is no vaccine or cure available for BFDV. The production of an effective vaccine depends on having a production platform and methods that are both easy to use and capable of yielding a significant amount of protein that will induce a sufficient immune response. Therefore, the aim of this study was to produce a plant-based BFDV vaccine candidate and to evaluate its ability to elicit an immune response in birds.

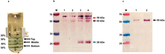
Recombinant BFDV capsid protein (CP) was transiently expressed in Nicotiana benthamiana and purified using density gradient ultracentrifugation. Japanese quails were immunized with purified BFDV CP. Yolk-derived IgY was purified by water dilution and salt precipitation, and its specificity was verified by western blot analysis. The expression levels of the coat protein increased from non-detectable to an average accumulation of 1.58 mg/kg of fresh plant tissue biomass, and antibodies against BFDV CP were detected in both the blood and eggs of immunized quails, indicating that vaccination with BFDV CP successfully elicited a humoral immune response.

This study demonstrates that heterologous expression in plants is a viable method for producing BFDV CP. To the best of our knowledge, this is the first study to show the antibody response to a plant-produced BFDV antigen in a quail model. Given that the presence of anti-CP antibodies in infected birds is associated with immunity, this system can potentially be used to produce a vaccine against BFDV.

Abstract Image

Abstract Image

Abstract Image

日本鹌鹑植物产喙羽病病毒疫苗的制备及其免疫原性。
喙和羽毛病病毒(BFDV)是一种单链DNA病毒,感染濒临灭绝的鹦鹉物种,包括南非角鹦鹉。该病具有高度传染性,可通过接触受污染的粪便、作物分泌物、羽毛和皮肤皮屑传播。迄今为止,还没有针对BFDV的疫苗或治疗方法。有效疫苗的生产取决于有一个易于使用的生产平台和方法,并能够产生大量的蛋白质,从而引起充分的免疫反应。因此,本研究的目的是生产一种基于植物的BFDV候选疫苗,并评估其在鸟类中引发免疫反应的能力。重组BFDV衣壳蛋白(CP)在benthamiana中瞬时表达,并采用密度梯度超离心纯化。用纯化的BFDV CP免疫日本鹌鹑,通过水稀释和盐沉淀纯化卵黄源性IgY,并通过western blot分析验证其特异性。免疫后的鹌鹑外周血和卵中均检测到针对BFDV CP的抗体,表明接种BFDV CP成功引发了体液免疫应答。本研究表明,植物中的异源表达是产生BFDV CP的可行方法。据我们所知,这是第一次在鹌鹑模型中显示对植物产生的BFDV抗原的抗体反应的研究。鉴于感染禽类体内抗cp抗体的存在与免疫力有关,该系统可用于生产针对BFDV的疫苗。
本文章由计算机程序翻译,如有差异,请以英文原文为准。
求助全文
约1分钟内获得全文 求助全文
来源期刊
Archives of Virology
Archives of Virology 医学-病毒学
CiteScore
5.10
自引率
7.40%
发文量
324
审稿时长
4.5 months
期刊介绍: Archives of Virology publishes original contributions from all branches of research on viruses, virus-like agents, and virus infections of humans, animals, plants, insects, and bacteria. Coverage spans a broad spectrum of topics, from descriptions of newly discovered viruses, to studies of virus structure, composition, and genetics, to studies of virus interactions with host cells, organisms and populations. Studies employ molecular biologic, molecular genetics, and current immunologic and epidemiologic approaches. Contents include studies on the molecular pathogenesis, pathophysiology, and genetics of virus infections in individual hosts, and studies on the molecular epidemiology of virus infections in populations. Also included are studies involving applied research such as diagnostic technology development, monoclonal antibody panel development, vaccine development, and antiviral drug development.Archives of Virology wishes to publish obituaries of recently deceased well-known virologists and leading figures in virology.
×
引用
GB/T 7714-2015
复制
MLA
复制
APA
复制
导出至
BibTeX EndNote RefMan NoteFirst NoteExpress
×
提示
您的信息不完整,为了账户安全,请先补充。
现在去补充
×
提示
您因"违规操作"
具体请查看互助需知
我知道了
×
提示
确定
请完成安全验证×
copy
已复制链接
快去分享给好友吧!
我知道了
右上角分享
点击右上角分享
0
联系我们:info@booksci.cn Book学术提供免费学术资源搜索服务,方便国内外学者检索中英文文献。致力于提供最便捷和优质的服务体验。 Copyright © 2023 布克学术 All rights reserved.
京ICP备2023020795号-1
ghs 京公网安备 11010802042870号
Book学术文献互助
Book学术文献互助群
群 号:604180095
Book学术官方微信