Ultrasound in intensive care unit patients: applications, observations, and comparison of two established ultrasound methods.

IF 1.5 Q3 RADIOLOGY, NUCLEAR MEDICINE & MEDICAL IMAGING
Journal of Ultrasonography Pub Date : 2025-06-03 eCollection Date: 2025-04-01 DOI:10.15557/jou.2025.0016
André Ignee, Matthias Dusik, Daniel Wastl, Kathleen Moeller, Beatrice Hoffmann, Christoph Frank Dietrich
{"title":"Ultrasound in intensive care unit patients: applications, observations, and comparison of two established ultrasound methods.","authors":"André Ignee, Matthias Dusik, Daniel Wastl, Kathleen Moeller, Beatrice Hoffmann, Christoph Frank Dietrich","doi":"10.15557/jou.2025.0016","DOIUrl":null,"url":null,"abstract":"<p><strong>Aim: </strong>To evaluate the benefit of abdominal ultrasonography performed routinely and thus independently of symptomatology in patients in the intensive care unit, and to assess the value of a portable ultrasound device. Diagnostic yield and documented results with clinical consequences were considered and compared with findings obtained using a high-end ultrasound device.</p><p><strong>Material and methods: </strong>A total of 120 patients of an internal medicine intensive care unit were included over 12 months. The investigator had limited experience in sonography (approximately 300 abdominal sonographies performed). The abdomen and basal portions of the thorax were examined.</p><p><strong>Results: </strong>The most common pathological findings were renal cysts in 34/120 (28.3%), left-sided or right-sided pleural effusions in 33/120 (27.5%) and 29/120 (24.2%) patients, respectively, dilatation of the vena cava in 24/120 (20.0%), and urinary retention in 14/120 (11.7%) patients. In 13/120 (10.8%) patients, the sonographic examination resulted in a diagnostic consequence, while in 38/120 (31.7%) patients in a therapeutic consequence. Among the false-negative findings using the hand-held ultrasound device, no finding was of therapeutic relevance. Four findings that were missed by the hand-held ultrasound device were diagnostically significant: two lesions of the kidney, one lesion of the liver, and one case of urinary stasis kidney.</p><p><strong>Conclusions: </strong>With the hand-held ultrasound device, only 33 of 52 focal lesions were detected. Thus, a high-end ultrasound device cannot be replaced by a hand-held ultrasound device for this purpose, but certain clinical questions can be answered reliably with a hand-held ultrasound device (such as the presence of a puncture-worthy pleural effusion in patients with dyspnea, or verification of the volume status based on the diameter of the vena cava).</p>","PeriodicalId":45612,"journal":{"name":"Journal of Ultrasonography","volume":"25 101","pages":"20250016"},"PeriodicalIF":1.5000,"publicationDate":"2025-06-03","publicationTypes":"Journal Article","fieldsOfStudy":null,"isOpenAccess":false,"openAccessPdf":"https://www.ncbi.nlm.nih.gov/pmc/articles/PMC12182898/pdf/","citationCount":"0","resultStr":null,"platform":"Semanticscholar","paperid":null,"PeriodicalName":"Journal of Ultrasonography","FirstCategoryId":"1085","ListUrlMain":"https://doi.org/10.15557/jou.2025.0016","RegionNum":0,"RegionCategory":null,"ArticlePicture":[],"TitleCN":null,"AbstractTextCN":null,"PMCID":null,"EPubDate":"2025/4/1 0:00:00","PubModel":"eCollection","JCR":"Q3","JCRName":"RADIOLOGY, NUCLEAR MEDICINE & MEDICAL IMAGING","Score":null,"Total":0}
引用次数: 0

Abstract

Aim: To evaluate the benefit of abdominal ultrasonography performed routinely and thus independently of symptomatology in patients in the intensive care unit, and to assess the value of a portable ultrasound device. Diagnostic yield and documented results with clinical consequences were considered and compared with findings obtained using a high-end ultrasound device.

Material and methods: A total of 120 patients of an internal medicine intensive care unit were included over 12 months. The investigator had limited experience in sonography (approximately 300 abdominal sonographies performed). The abdomen and basal portions of the thorax were examined.

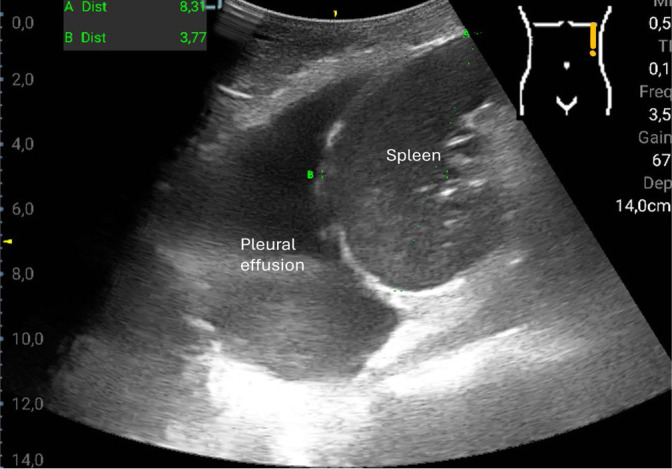
Results: The most common pathological findings were renal cysts in 34/120 (28.3%), left-sided or right-sided pleural effusions in 33/120 (27.5%) and 29/120 (24.2%) patients, respectively, dilatation of the vena cava in 24/120 (20.0%), and urinary retention in 14/120 (11.7%) patients. In 13/120 (10.8%) patients, the sonographic examination resulted in a diagnostic consequence, while in 38/120 (31.7%) patients in a therapeutic consequence. Among the false-negative findings using the hand-held ultrasound device, no finding was of therapeutic relevance. Four findings that were missed by the hand-held ultrasound device were diagnostically significant: two lesions of the kidney, one lesion of the liver, and one case of urinary stasis kidney.

Conclusions: With the hand-held ultrasound device, only 33 of 52 focal lesions were detected. Thus, a high-end ultrasound device cannot be replaced by a hand-held ultrasound device for this purpose, but certain clinical questions can be answered reliably with a hand-held ultrasound device (such as the presence of a puncture-worthy pleural effusion in patients with dyspnea, or verification of the volume status based on the diameter of the vena cava).

Abstract Image

Abstract Image

Abstract Image

超声在重症监护病房患者中的应用、观察和两种既定超声方法的比较。
目的:评价在重症监护室例行进行腹部超声检查的益处,从而独立于症状,并评估便携式超声设备的价值。诊断率和记录结果与临床结果进行了考虑,并与使用高端超声设备获得的结果进行了比较。材料与方法:选取某内科重症监护病房12个月内收治的120例患者。研究者在超声检查方面经验有限(进行了大约300次腹部超声检查)。检查腹部和胸基底部分。结果:最常见的病理表现为肾囊肿34/120(28.3%),左侧或右侧胸腔积液33/120(27.5%)和29/120(24.2%),腔静脉扩张24/120(20.0%),尿潴留14/120(11.7%)。在13/120(10.8%)的患者中,超声检查导致诊断结果,而在38/120(31.7%)的患者中,超声检查导致治疗结果。在使用手持式超声设备的假阴性结果中,没有发现与治疗相关。手持式超声设备遗漏的4个发现具有诊断意义:2例肾脏病变,1例肝脏病变,1例尿瘀肾。结论:52例局灶性病变中,手持式超声检查仅检出33例。因此,高端超声设备不能被手持式超声设备取代,但某些临床问题可以用手持式超声设备可靠地回答(如呼吸困难患者是否存在值得穿刺的胸腔积液,或根据腔静脉直径验证容积状态)。
本文章由计算机程序翻译,如有差异,请以英文原文为准。
求助全文
约1分钟内获得全文 求助全文
来源期刊
Journal of Ultrasonography
Journal of Ultrasonography RADIOLOGY, NUCLEAR MEDICINE & MEDICAL IMAGING-
CiteScore
2.30
自引率
0.00%
发文量
58
审稿时长
20 weeks
×
引用
GB/T 7714-2015
复制
MLA
复制
APA
复制
导出至
BibTeX EndNote RefMan NoteFirst NoteExpress
×
提示
您的信息不完整,为了账户安全,请先补充。
现在去补充
×
提示
您因"违规操作"
具体请查看互助需知
我知道了
×
提示
确定
请完成安全验证×
copy
已复制链接
快去分享给好友吧!
我知道了
右上角分享
点击右上角分享
0
联系我们:info@booksci.cn Book学术提供免费学术资源搜索服务,方便国内外学者检索中英文文献。致力于提供最便捷和优质的服务体验。 Copyright © 2023 布克学术 All rights reserved.
京ICP备2023020795号-1
ghs 京公网安备 11010802042870号
Book学术文献互助
Book学术文献互助群
群 号:604180095
Book学术官方微信