Complete remission of peritoneal strumosis from struma ovarii after radioiodine therapy: a case report.

IF 1.8 Q3 ENDOCRINOLOGY & METABOLISM
Jun Yang, Zhengzhou Pan, Jili Wang, Xinhui Su
{"title":"Complete remission of peritoneal strumosis from struma ovarii after radioiodine therapy: a case report.","authors":"Jun Yang, Zhengzhou Pan, Jili Wang, Xinhui Su","doi":"10.1186/s13044-025-00247-6","DOIUrl":null,"url":null,"abstract":"<p><strong>Background: </strong>Struma ovarii (SO) is a specialized monodermal teratoma composed predominantly of thyroid tissue (≥ 50%) and accounts for approximately 5% of all ovarian teratomas. In rare cases, the benign SO may spread to the peritoneal cavity and exhibit the histological features of struma ovarii in a condition termed peritoneal strumosis. Here, we present a rare case of complete remission of peritoneal strumosis from SO after radioiodine therapy.</p><p><strong>Case presentation: </strong>A 41-year-old Chinese woman underwent transabdominal left oophorectomy for a benign SO 18 years prior to presentation in the clinic. She was admitted to our institution for periodic medical examination after ultrasonography revealed a left pelvic mass. The patient underwent total abdominal hysterectomy, right salpingo-oophorectomy, and omentectomy, and multiple biopsies were taken from the omentum and mesentery. Pathology revealed peritoneal strumosis without evidence of malignancy from SO. Afterward, a total thyroidectomy was performed, and a histological examination revealed multinodular goiter. In total, 4400 MBq of 131I was administered, and lesion remission was confirmed. Finally, after 1 year of follow-up, the patient had no evidence of recurrence.</p><p><strong>Conclusion: </strong>Peritoneal strumosis from OS is a rare aggressive clinical manifestation that differs from malignancy. Conservative surgery with personalized radioiodine may be a practical therapeutic option for unresectable peritoneal strumosis, and long-term monitoring is recommended.</p>","PeriodicalId":39048,"journal":{"name":"Thyroid Research","volume":"18 1","pages":"29"},"PeriodicalIF":1.8000,"publicationDate":"2025-06-24","publicationTypes":"Journal Article","fieldsOfStudy":null,"isOpenAccess":false,"openAccessPdf":"https://www.ncbi.nlm.nih.gov/pmc/articles/PMC12186374/pdf/","citationCount":"0","resultStr":null,"platform":"Semanticscholar","paperid":null,"PeriodicalName":"Thyroid Research","FirstCategoryId":"1085","ListUrlMain":"https://doi.org/10.1186/s13044-025-00247-6","RegionNum":0,"RegionCategory":null,"ArticlePicture":[],"TitleCN":null,"AbstractTextCN":null,"PMCID":null,"EPubDate":"","PubModel":"","JCR":"Q3","JCRName":"ENDOCRINOLOGY & METABOLISM","Score":null,"Total":0}
引用次数: 0

Abstract

Background: Struma ovarii (SO) is a specialized monodermal teratoma composed predominantly of thyroid tissue (≥ 50%) and accounts for approximately 5% of all ovarian teratomas. In rare cases, the benign SO may spread to the peritoneal cavity and exhibit the histological features of struma ovarii in a condition termed peritoneal strumosis. Here, we present a rare case of complete remission of peritoneal strumosis from SO after radioiodine therapy.

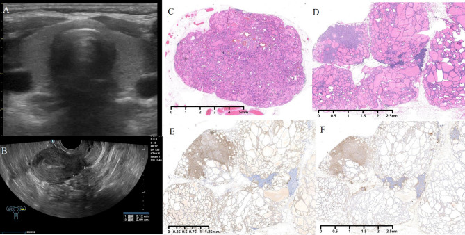
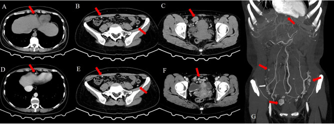
Case presentation: A 41-year-old Chinese woman underwent transabdominal left oophorectomy for a benign SO 18 years prior to presentation in the clinic. She was admitted to our institution for periodic medical examination after ultrasonography revealed a left pelvic mass. The patient underwent total abdominal hysterectomy, right salpingo-oophorectomy, and omentectomy, and multiple biopsies were taken from the omentum and mesentery. Pathology revealed peritoneal strumosis without evidence of malignancy from SO. Afterward, a total thyroidectomy was performed, and a histological examination revealed multinodular goiter. In total, 4400 MBq of 131I was administered, and lesion remission was confirmed. Finally, after 1 year of follow-up, the patient had no evidence of recurrence.

Conclusion: Peritoneal strumosis from OS is a rare aggressive clinical manifestation that differs from malignancy. Conservative surgery with personalized radioiodine may be a practical therapeutic option for unresectable peritoneal strumosis, and long-term monitoring is recommended.

Abstract Image

Abstract Image

Abstract Image

放射碘治疗后卵巢甲状腺肿腹膜瘘完全缓解1例。
背景:卵巢畸胎瘤(SO)是一种特殊的单皮畸胎瘤,主要由甲状腺组织组成(≥50%),约占所有卵巢畸胎瘤的5%。在极少数情况下,良性SO可扩散到腹膜腔,并表现出卵巢瘤的组织学特征,称为腹膜间质增生。在此,我们报告一个罕见的病例,经放射性碘治疗后,腹膜渗液完全缓解。病例介绍:一名41岁的中国女性在就诊前18年因良性卵巢囊肿接受了经腹左卵巢切除术。在超声检查发现左盆腔肿块后,她入院接受定期体检。患者行腹部全子宫切除术、右侧输卵管卵巢切除术及大网膜切除术,并行大网膜及肠系膜多次活检。病理显示腹膜间质增生,无恶性肿瘤证据。术后行甲状腺全切除术,组织学检查发现多结节性甲状腺肿。总共使用了4400 MBq的131I,并证实病变缓解。最后,经过1年的随访,患者无复发迹象。结论:腹膜瘘是一种罕见的侵袭性临床表现,不同于恶性肿瘤。个体化放射性碘的保守手术可能是不可切除腹膜瘘的一种实用治疗选择,建议长期监测。
本文章由计算机程序翻译,如有差异,请以英文原文为准。
求助全文
约1分钟内获得全文 求助全文
来源期刊
Thyroid Research
Thyroid Research Medicine-Endocrinology, Diabetes and Metabolism
CiteScore
3.10
自引率
4.50%
发文量
21
审稿时长
8 weeks
×
引用
GB/T 7714-2015
复制
MLA
复制
APA
复制
导出至
BibTeX EndNote RefMan NoteFirst NoteExpress
×
提示
您的信息不完整,为了账户安全,请先补充。
现在去补充
×
提示
您因"违规操作"
具体请查看互助需知
我知道了
×
提示
确定
请完成安全验证×
copy
已复制链接
快去分享给好友吧!
我知道了
右上角分享
点击右上角分享
0
联系我们:info@booksci.cn Book学术提供免费学术资源搜索服务,方便国内外学者检索中英文文献。致力于提供最便捷和优质的服务体验。 Copyright © 2023 布克学术 All rights reserved.
京ICP备2023020795号-1
ghs 京公网安备 11010802042870号
Book学术文献互助
Book学术文献互助群
群 号:604180095
Book学术官方微信