Two Cases of Small Intestinal Follicular Lymphoma Presenting with Intestinal Stricture.

IF 0.7 Q4 SURGERY
Surgical Case Reports Pub Date : 2025-01-01 Epub Date: 2025-06-18 DOI:10.70352/scrj.cr.25-0108
Akihiro Nakamura, Syuichi Komori, So Murai, Shiori Shibata, Hideyuki Oyama, Kazuhiro Kijima, Yoshikuni Harada, Gaku Kigawa, Takahiro Umemoto, Takafumi Ogawa, Kuniya Tanaka
{"title":"Two Cases of Small Intestinal Follicular Lymphoma Presenting with Intestinal Stricture.","authors":"Akihiro Nakamura, Syuichi Komori, So Murai, Shiori Shibata, Hideyuki Oyama, Kazuhiro Kijima, Yoshikuni Harada, Gaku Kigawa, Takahiro Umemoto, Takafumi Ogawa, Kuniya Tanaka","doi":"10.70352/scrj.cr.25-0108","DOIUrl":null,"url":null,"abstract":"<p><strong>Introduction: </strong>Primary gastrointestinal follicular lymphoma (FL) rarely causes intestinal stricture. We report two cases of small intestinal FL presenting with stricture.</p><p><strong>Case presentation: </strong>Case 1: A 63-year-old man presented with small intestinal obstruction. CT demonstrated ileal wall thickening and enlarged lymph nodes. Partial ileal resection confirmed primary ileal FL, immunohistochemically positive for CD10, CD20, and BCL-2. Case 2: A 79-year-old woman with a 7-year history of jejunal strictures underwent right hemicolectomy for ascending colon cancer and partial jejunal resection. Pathologic examination showed concurrent jejunal FL and colon adenocarcinoma. Immunohistochemical findings were the same as in Case 1. In both patients, postoperative positron-emission tomography-CT showed no residual lymphoma. Both were monitored clinically without chemotherapy.</p><p><strong>Conclusions: </strong>These cases highlight an unusual presentation of follicular lymphoma as a cause of intestinal stricture. Surgical resection provided diagnostic clarity and relief of symptoms. Postoperative treatment was tailored to individual patient characteristics and residual disease status.</p>","PeriodicalId":22096,"journal":{"name":"Surgical Case Reports","volume":"11 1","pages":""},"PeriodicalIF":0.7000,"publicationDate":"2025-01-01","publicationTypes":"Journal Article","fieldsOfStudy":null,"isOpenAccess":false,"openAccessPdf":"https://www.ncbi.nlm.nih.gov/pmc/articles/PMC12183004/pdf/","citationCount":"0","resultStr":null,"platform":"Semanticscholar","paperid":null,"PeriodicalName":"Surgical Case Reports","FirstCategoryId":"1085","ListUrlMain":"https://doi.org/10.70352/scrj.cr.25-0108","RegionNum":0,"RegionCategory":null,"ArticlePicture":[],"TitleCN":null,"AbstractTextCN":null,"PMCID":null,"EPubDate":"2025/6/18 0:00:00","PubModel":"Epub","JCR":"Q4","JCRName":"SURGERY","Score":null,"Total":0}
引用次数: 0

Abstract

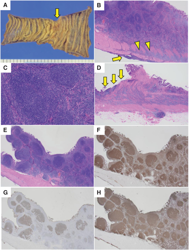
Introduction: Primary gastrointestinal follicular lymphoma (FL) rarely causes intestinal stricture. We report two cases of small intestinal FL presenting with stricture.

Case presentation: Case 1: A 63-year-old man presented with small intestinal obstruction. CT demonstrated ileal wall thickening and enlarged lymph nodes. Partial ileal resection confirmed primary ileal FL, immunohistochemically positive for CD10, CD20, and BCL-2. Case 2: A 79-year-old woman with a 7-year history of jejunal strictures underwent right hemicolectomy for ascending colon cancer and partial jejunal resection. Pathologic examination showed concurrent jejunal FL and colon adenocarcinoma. Immunohistochemical findings were the same as in Case 1. In both patients, postoperative positron-emission tomography-CT showed no residual lymphoma. Both were monitored clinically without chemotherapy.

Conclusions: These cases highlight an unusual presentation of follicular lymphoma as a cause of intestinal stricture. Surgical resection provided diagnostic clarity and relief of symptoms. Postoperative treatment was tailored to individual patient characteristics and residual disease status.

Abstract Image

Abstract Image

Abstract Image

小肠滤泡性淋巴瘤伴肠狭窄2例。
原发性胃肠道滤泡性淋巴瘤(FL)很少引起肠道狭窄。我们报告两例小肠滤过性肠梗阻的病例。病例介绍:病例1:63岁男性,表现为小肠梗阻。CT显示回肠壁增厚及淋巴结肿大。部分回肠切除术证实原发回肠FL,免疫组化CD10、CD20和BCL-2阳性。病例2:79岁女性,7年空肠狭窄病史,因升结肠癌行右半结肠切除术并部分空肠切除术。病理检查显示空肠FL和结肠腺癌同时发生。免疫组化结果与病例1相同。两例患者术后正电子发射断层扫描均未见淋巴瘤残留。在没有化疗的情况下进行临床监测。结论:这些病例突出了一个不寻常的表现滤泡性淋巴瘤作为肠道狭窄的原因。手术切除提供了清晰的诊断和缓解症状。术后治疗根据患者个体特征和残留疾病状态量身定制。
本文章由计算机程序翻译,如有差异,请以英文原文为准。
求助全文
约1分钟内获得全文 求助全文
来源期刊
自引率
0.00%
发文量
218
审稿时长
13 weeks
×
引用
GB/T 7714-2015
复制
MLA
复制
APA
复制
导出至
BibTeX EndNote RefMan NoteFirst NoteExpress
×
提示
您的信息不完整,为了账户安全,请先补充。
现在去补充
×
提示
您因"违规操作"
具体请查看互助需知
我知道了
×
提示
确定
请完成安全验证×
copy
已复制链接
快去分享给好友吧!
我知道了
右上角分享
点击右上角分享
0
联系我们:info@booksci.cn Book学术提供免费学术资源搜索服务,方便国内外学者检索中英文文献。致力于提供最便捷和优质的服务体验。 Copyright © 2023 布克学术 All rights reserved.
京ICP备2023020795号-1
ghs 京公网安备 11010802042870号
Book学术文献互助
Book学术文献互助群
群 号:604180095
Book学术官方微信