Usefulness of postmortem computed tomography when neonatal death occurred after fetoscopic endotracheal occlusion- case report.

IF 1.4 4区 医学 Q2 MEDICINE, LEGAL
Forensic Science, Medicine and Pathology Pub Date : 2025-09-01 Epub Date: 2025-06-23 DOI:10.1007/s12024-025-01036-1
Rafał Skowronek, Jacek Zamłyński, Aleksandra Borowska-Solonynko
{"title":"Usefulness of postmortem computed tomography when neonatal death occurred after fetoscopic endotracheal occlusion- case report.","authors":"Rafał Skowronek, Jacek Zamłyński, Aleksandra Borowska-Solonynko","doi":"10.1007/s12024-025-01036-1","DOIUrl":null,"url":null,"abstract":"<p><p>Congenital diaphragmatic hernia is associated with high risk of neonatal death. It is observed in about 1 in 3,000 live births. Fetoscopic tracheal occlusion procedure is a therapeutic option with survival rate 46.4%. Our aim was analysis of the suitability of postmortem computed tomography in the case of neonatal death occurred after fetoscopic endotracheal occlusion performed due to the severe isolated left-sided congenital diaphragmatic hernia. Postmortem computed tomography can be helpful in such cases because it allows for an objective assessment of whether the procedures used after the birth of the newborn enabled effective lung ventilation. Our case was the first use of postmortem computed tomography in neonatal death after fetoscopic endotracheal occlusion worldwide.</p>","PeriodicalId":12449,"journal":{"name":"Forensic Science, Medicine and Pathology","volume":" ","pages":"1566-1569"},"PeriodicalIF":1.4000,"publicationDate":"2025-09-01","publicationTypes":"Journal Article","fieldsOfStudy":null,"isOpenAccess":false,"openAccessPdf":"https://www.ncbi.nlm.nih.gov/pmc/articles/PMC12491344/pdf/","citationCount":"0","resultStr":null,"platform":"Semanticscholar","paperid":null,"PeriodicalName":"Forensic Science, Medicine and Pathology","FirstCategoryId":"3","ListUrlMain":"https://doi.org/10.1007/s12024-025-01036-1","RegionNum":4,"RegionCategory":"医学","ArticlePicture":[],"TitleCN":null,"AbstractTextCN":null,"PMCID":null,"EPubDate":"2025/6/23 0:00:00","PubModel":"Epub","JCR":"Q2","JCRName":"MEDICINE, LEGAL","Score":null,"Total":0}
引用次数: 0

Abstract

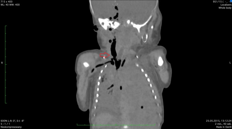
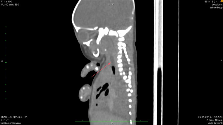
Congenital diaphragmatic hernia is associated with high risk of neonatal death. It is observed in about 1 in 3,000 live births. Fetoscopic tracheal occlusion procedure is a therapeutic option with survival rate 46.4%. Our aim was analysis of the suitability of postmortem computed tomography in the case of neonatal death occurred after fetoscopic endotracheal occlusion performed due to the severe isolated left-sided congenital diaphragmatic hernia. Postmortem computed tomography can be helpful in such cases because it allows for an objective assessment of whether the procedures used after the birth of the newborn enabled effective lung ventilation. Our case was the first use of postmortem computed tomography in neonatal death after fetoscopic endotracheal occlusion worldwide.

Abstract Image

Abstract Image

Abstract Image

胎儿镜下气管内闭塞术后新生儿死亡时尸检计算机断层扫描的应用-病例报告。
先天性膈疝与新生儿死亡风险高相关。据观察,每3000名活产婴儿中就有1人患有此病。胎儿镜气管闭塞术是一种治疗选择,生存率为46.4%。我们的目的是分析死后计算机断层扫描在胎儿镜下气管内闭塞术后新生儿死亡的适用性,这是由于严重的孤立性左侧先天性膈疝。在这种情况下,死后计算机断层扫描是有帮助的,因为它可以客观地评估新生儿出生后使用的程序是否能有效地进行肺通气。我们的病例是世界范围内首次使用尸检计算机断层扫描诊断胎儿镜下气管内闭塞术后新生儿死亡。
本文章由计算机程序翻译,如有差异,请以英文原文为准。
求助全文
约1分钟内获得全文 求助全文
来源期刊
Forensic Science, Medicine and Pathology
Forensic Science, Medicine and Pathology MEDICINE, LEGAL-PATHOLOGY
CiteScore
3.90
自引率
5.60%
发文量
114
审稿时长
6-12 weeks
期刊介绍: Forensic Science, Medicine and Pathology encompasses all aspects of modern day forensics, equally applying to children or adults, either living or the deceased. This includes forensic science, medicine, nursing, and pathology, as well as toxicology, human identification, mass disasters/mass war graves, profiling, imaging, policing, wound assessment, sexual assault, anthropology, archeology, forensic search, entomology, botany, biology, veterinary pathology, and DNA. Forensic Science, Medicine, and Pathology presents a balance of forensic research and reviews from around the world to reflect modern advances through peer-reviewed papers, short communications, meeting proceedings and case reports.
×
引用
GB/T 7714-2015
复制
MLA
复制
APA
复制
导出至
BibTeX EndNote RefMan NoteFirst NoteExpress
×
提示
您的信息不完整,为了账户安全,请先补充。
现在去补充
×
提示
您因"违规操作"
具体请查看互助需知
我知道了
×
提示
确定
请完成安全验证×
copy
已复制链接
快去分享给好友吧!
我知道了
右上角分享
点击右上角分享
0
联系我们:info@booksci.cn Book学术提供免费学术资源搜索服务,方便国内外学者检索中英文文献。致力于提供最便捷和优质的服务体验。 Copyright © 2023 布克学术 All rights reserved.
京ICP备2023020795号-1
ghs 京公网安备 11010802042870号
Book学术文献互助
Book学术文献互助群
群 号:604180095
Book学术官方微信