Secondary Ocular Hypertension with Exophthalmos as the First Presentation of Endogenous Cushing's Syndrome.

IF 0.6 Q4 OPHTHALMOLOGY
Case Reports in Ophthalmology Pub Date : 2025-05-20 eCollection Date: 2025-01-01 DOI:10.1159/000546434
Thanatporn Threetong, Sasikant Leelawongs
{"title":"Secondary Ocular Hypertension with Exophthalmos as the First Presentation of Endogenous Cushing's Syndrome.","authors":"Thanatporn Threetong, Sasikant Leelawongs","doi":"10.1159/000546434","DOIUrl":null,"url":null,"abstract":"<p><strong>Introduction: </strong>Cushing's syndrome results from excessive exposure to exogenous or endogenous steroid, while cushing's disease is hypercortisolism from an adrenocorticotropic hormone-secreting pituitary adenoma. Secondary ocular hypertension (OHT) accompanied by exophthalmos as the initial presentation of endogenous Cushing's syndrome has rarely been reported.</p><p><strong>Case presentation: </strong>A 46-year-old Thai woman was referred for OHT treatment despite maximum tolerance to medication. Intraocular pressure (IOP) was 21 mm Hg (right eye) and 25 mm Hg (left eye). Visual acuity was 20/20 in both eyes. Bilateral eyelids were swollen without any palpable masses. Exophthalmometer measurements were 24 mm (right eye) and 23 mm (left eye). Extraocular muscle movements, anterior segment, gonioscopy, and dilated fundoscopic exams were normal bilaterally. Optic nerve head was unremarkable in both eyes. Optical coherence tomography showed marginal inferior thinning of the retinal nerve fiber layer and ganglion cell layer in left eye. Computerized visual field 24-2 was normal bilaterally. She was diagnosed with secondary OHT with exophthalmos in both eyes. Thyroid function and thyroid antibody tests were unremarkable. Orbital and brain computed tomography revealed exophthalmos with an increase of retrobulbar fat bilaterally and a hypodense pituitary lesion. She was diagnosed with Cushing's disease and underwent endoscopic transsphenoidal adenectomy. At 6-month postoperatively, IOP decreased to 16 mm Hg (right eye) and 17 mm Hg (left eye), without any IOP-lowering medications. Exophthalmos also improved as exophthalmometer measurements were 20 mm (right eye) and 19 mm (left eye).</p><p><strong>Conclusions: </strong>Endogenous Cushing's syndrome should be included in the differential diagnosis of secondary OHT with exophthalmos.</p>","PeriodicalId":9635,"journal":{"name":"Case Reports in Ophthalmology","volume":"16 1","pages":"439-445"},"PeriodicalIF":0.6000,"publicationDate":"2025-05-20","publicationTypes":"Journal Article","fieldsOfStudy":null,"isOpenAccess":false,"openAccessPdf":"https://www.ncbi.nlm.nih.gov/pmc/articles/PMC12180786/pdf/","citationCount":"0","resultStr":null,"platform":"Semanticscholar","paperid":null,"PeriodicalName":"Case Reports in Ophthalmology","FirstCategoryId":"1085","ListUrlMain":"https://doi.org/10.1159/000546434","RegionNum":0,"RegionCategory":null,"ArticlePicture":[],"TitleCN":null,"AbstractTextCN":null,"PMCID":null,"EPubDate":"2025/1/1 0:00:00","PubModel":"eCollection","JCR":"Q4","JCRName":"OPHTHALMOLOGY","Score":null,"Total":0}
引用次数: 0

Abstract

Introduction: Cushing's syndrome results from excessive exposure to exogenous or endogenous steroid, while cushing's disease is hypercortisolism from an adrenocorticotropic hormone-secreting pituitary adenoma. Secondary ocular hypertension (OHT) accompanied by exophthalmos as the initial presentation of endogenous Cushing's syndrome has rarely been reported.

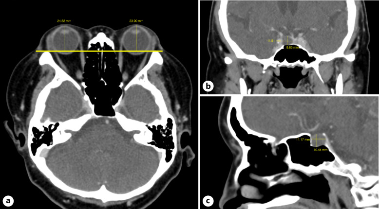
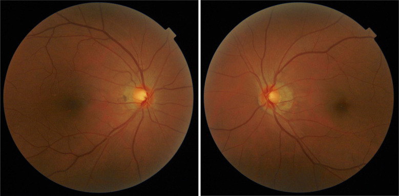
Case presentation: A 46-year-old Thai woman was referred for OHT treatment despite maximum tolerance to medication. Intraocular pressure (IOP) was 21 mm Hg (right eye) and 25 mm Hg (left eye). Visual acuity was 20/20 in both eyes. Bilateral eyelids were swollen without any palpable masses. Exophthalmometer measurements were 24 mm (right eye) and 23 mm (left eye). Extraocular muscle movements, anterior segment, gonioscopy, and dilated fundoscopic exams were normal bilaterally. Optic nerve head was unremarkable in both eyes. Optical coherence tomography showed marginal inferior thinning of the retinal nerve fiber layer and ganglion cell layer in left eye. Computerized visual field 24-2 was normal bilaterally. She was diagnosed with secondary OHT with exophthalmos in both eyes. Thyroid function and thyroid antibody tests were unremarkable. Orbital and brain computed tomography revealed exophthalmos with an increase of retrobulbar fat bilaterally and a hypodense pituitary lesion. She was diagnosed with Cushing's disease and underwent endoscopic transsphenoidal adenectomy. At 6-month postoperatively, IOP decreased to 16 mm Hg (right eye) and 17 mm Hg (left eye), without any IOP-lowering medications. Exophthalmos also improved as exophthalmometer measurements were 20 mm (right eye) and 19 mm (left eye).

Conclusions: Endogenous Cushing's syndrome should be included in the differential diagnosis of secondary OHT with exophthalmos.

Abstract Image

Abstract Image

Abstract Image

继发性高眼压伴眼球突出为内源性库欣综合征的首发表现。
简介:库欣综合征是由于过度暴露于外源性或内源性类固醇引起的,而库欣病是由促肾上腺皮质激素分泌的垂体腺瘤引起的高皮质醇症。继发性高眼压(OHT)伴随眼球突出作为内源性库欣综合征的最初表现很少被报道。病例介绍:一名46岁的泰国妇女被推荐接受OHT治疗,尽管对药物有最大的耐受性。眼内压(IOP)右眼21 mm Hg,左眼25 mm Hg。双眼视力均为20/20。双侧眼睑肿胀,未见肿块。突出眼计测量值分别为右眼24 mm和左眼23 mm。眼外肌运动、眼前节、角镜检查和眼底扩张镜检查均正常。双眼视神经头未见明显变化。光学相干断层扫描显示左眼视网膜神经纤维层和神经节细胞层边缘下变薄。计算机视野24-2双侧正常。她被诊断为继发性OHT,双眼突出。甲状腺功能及甲状腺抗体检查无明显差异。眼眶和脑部计算机断层显示眼球突出,双侧球后脂肪增加,垂体低密度病变。她被诊断为库欣病,并接受了内窥镜经蝶窦腺切除术。术后6个月,在没有任何降眼压药物的情况下,IOP分别降至右眼16 mm Hg和左眼17 mm Hg。当凸眼计测量值分别为20 mm(右眼)和19 mm(左眼)时,凸眼也得到改善。结论:内源性库欣综合征应纳入继发性OHT伴突出眼的鉴别诊断。
本文章由计算机程序翻译,如有差异,请以英文原文为准。
求助全文
约1分钟内获得全文 求助全文
来源期刊
CiteScore
0.90
自引率
0.00%
发文量
129
审稿时长
12 weeks
期刊介绍: This peer-reviewed online-only journal publishes original case reports covering the entire spectrum of ophthalmology, including prevention, diagnosis, treatment, toxicities of therapy, supportive care, quality-of-life, and survivorship issues. The submission of negative results is strongly encouraged. The journal will also accept case reports dealing with the use of novel technologies, both in the arena of diagnosis and treatment. Supplementary material is welcomed. The intent of the journal is to provide clinicians and researchers with a tool to disseminate their personal experiences to a wider public as well as to review interesting cases encountered by colleagues all over the world. Universally used terms can be searched across the entire growing collection of case reports, further facilitating the retrieval of specific information. Following the open access principle, the entire contents can be retrieved at no charge, guaranteeing easy access to this valuable source of anecdotal information at all times.
×
引用
GB/T 7714-2015
复制
MLA
复制
APA
复制
导出至
BibTeX EndNote RefMan NoteFirst NoteExpress
×
提示
您的信息不完整,为了账户安全,请先补充。
现在去补充
×
提示
您因"违规操作"
具体请查看互助需知
我知道了
×
提示
确定
请完成安全验证×
copy
已复制链接
快去分享给好友吧!
我知道了
右上角分享
点击右上角分享
0
联系我们:info@booksci.cn Book学术提供免费学术资源搜索服务,方便国内外学者检索中英文文献。致力于提供最便捷和优质的服务体验。 Copyright © 2023 布克学术 All rights reserved.
京ICP备2023020795号-1
ghs 京公网安备 11010802042870号
Book学术文献互助
Book学术文献互助群
群 号:604180095
Book学术官方微信