Polymerase Chain Reaction Detection of Culture-Negative Klebsiella pneumoniae Endophthalmitis: A Case Report.

IF 0.6 Q4 OPHTHALMOLOGY
Case Reports in Ophthalmology Pub Date : 2025-05-24 eCollection Date: 2025-01-01 DOI:10.1159/000546554
Jennifer Ling, Brendan K Tao, Bryon R McKay
{"title":"Polymerase Chain Reaction Detection of Culture-Negative <i>Klebsiella pneumoniae</i> Endophthalmitis: A Case Report.","authors":"Jennifer Ling, Brendan K Tao, Bryon R McKay","doi":"10.1159/000546554","DOIUrl":null,"url":null,"abstract":"<p><strong>Introduction: </strong>For cases of culture-negative endophthalmitis, 16S ribosomal deoxyribonucleic acid (16S RNA) real-time polymerase chain reaction (RT-PCR) may offer greater diagnostic yield than traditional microbial cultures. Our case presents an unusual clinical course, which supports the use of 16S RNA RT-PCR, even after negative microbial cultures, to secure a pathogenic diagnosis.</p><p><strong>Case presentation: </strong>A 49-year-old male with human immunodeficiency virus (HIV) infection presented with fever and cough, accompanied by acute bilateral vision reduction, photophobia, and eye pain. Clinically, his examination showed severe panuveitis in both eyes. Investigations showed elevated white blood cells, C-reactive protein, cluster of differentiation 4 count of 180/μL, HIV viral load of <40 copies/mL, and unexpectedly, aqueous and blood cultures were negative. An autoimmune workup was also negative. Given this, intravitreal antibiotics were administered alongside systemic antibiotics. Subsequent chest computed tomography showed pulmonary cavitations and liver lesions, and despite negative culture results, a 16S rRNA RT-PCR of the aqueous humor detected <i>Klebsiella pneumoniae</i> genetic material. The patient completed 6 weeks of ceftriaxone and multiple bilateral vitrectomies for recurrent retinal detachments, likely due to retinal necrosis.</p><p><strong>Conclusion: </strong>Clinicians may consider alternative etiologies after a negative microbial culture. This teaching case supports the use of 16S RT-PCR to more rigorously rule out infectious causes of panuveitis, especially in immunocompromised patients, to avoid premature consideration of other differential diagnoses.</p>","PeriodicalId":9635,"journal":{"name":"Case Reports in Ophthalmology","volume":"16 1","pages":"446-453"},"PeriodicalIF":0.6000,"publicationDate":"2025-05-24","publicationTypes":"Journal Article","fieldsOfStudy":null,"isOpenAccess":false,"openAccessPdf":"https://www.ncbi.nlm.nih.gov/pmc/articles/PMC12185062/pdf/","citationCount":"0","resultStr":null,"platform":"Semanticscholar","paperid":null,"PeriodicalName":"Case Reports in Ophthalmology","FirstCategoryId":"1085","ListUrlMain":"https://doi.org/10.1159/000546554","RegionNum":0,"RegionCategory":null,"ArticlePicture":[],"TitleCN":null,"AbstractTextCN":null,"PMCID":null,"EPubDate":"2025/1/1 0:00:00","PubModel":"eCollection","JCR":"Q4","JCRName":"OPHTHALMOLOGY","Score":null,"Total":0}
引用次数: 0

Abstract

Introduction: For cases of culture-negative endophthalmitis, 16S ribosomal deoxyribonucleic acid (16S RNA) real-time polymerase chain reaction (RT-PCR) may offer greater diagnostic yield than traditional microbial cultures. Our case presents an unusual clinical course, which supports the use of 16S RNA RT-PCR, even after negative microbial cultures, to secure a pathogenic diagnosis.

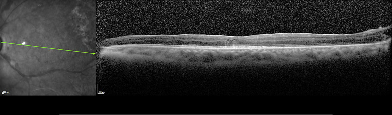
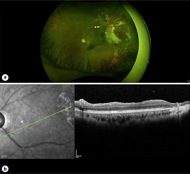
Case presentation: A 49-year-old male with human immunodeficiency virus (HIV) infection presented with fever and cough, accompanied by acute bilateral vision reduction, photophobia, and eye pain. Clinically, his examination showed severe panuveitis in both eyes. Investigations showed elevated white blood cells, C-reactive protein, cluster of differentiation 4 count of 180/μL, HIV viral load of <40 copies/mL, and unexpectedly, aqueous and blood cultures were negative. An autoimmune workup was also negative. Given this, intravitreal antibiotics were administered alongside systemic antibiotics. Subsequent chest computed tomography showed pulmonary cavitations and liver lesions, and despite negative culture results, a 16S rRNA RT-PCR of the aqueous humor detected Klebsiella pneumoniae genetic material. The patient completed 6 weeks of ceftriaxone and multiple bilateral vitrectomies for recurrent retinal detachments, likely due to retinal necrosis.

Conclusion: Clinicians may consider alternative etiologies after a negative microbial culture. This teaching case supports the use of 16S RT-PCR to more rigorously rule out infectious causes of panuveitis, especially in immunocompromised patients, to avoid premature consideration of other differential diagnoses.

Abstract Image

Abstract Image

Abstract Image

聚合酶链反应检测培养阴性肺炎克雷伯菌眼内炎1例。
对于培养阴性的眼内炎病例,16S核糖体脱氧核糖核酸(16S RNA)实时聚合酶链反应(RT-PCR)可能比传统的微生物培养具有更高的诊断率。我们的病例表现出一个不寻常的临床过程,这支持使用16S RNA RT-PCR,即使在阴性微生物培养后,以确保病原诊断。病例介绍:一名49岁男性感染人类免疫缺陷病毒(HIV),表现为发热、咳嗽,伴有急性双侧视力下降、畏光和眼睛疼痛。临床检查显示双眼严重的全葡萄膜炎。肺炎克雷伯菌遗传物质中白细胞、c反应蛋白、分化簇4计数180/μL、HIV病毒载量升高。患者完成了6周的头孢曲松和多次双侧玻璃体切除术,以治疗复发性视网膜脱离,可能是由于视网膜坏死。结论:临床医生在微生物培养阴性后可能会考虑其他病因。本教学案例支持使用16S RT-PCR更严格地排除全葡萄膜炎的感染原因,特别是在免疫功能低下的患者中,以避免过早考虑其他鉴别诊断。
本文章由计算机程序翻译,如有差异,请以英文原文为准。
求助全文
约1分钟内获得全文 求助全文
来源期刊
CiteScore
0.90
自引率
0.00%
发文量
129
审稿时长
12 weeks
期刊介绍: This peer-reviewed online-only journal publishes original case reports covering the entire spectrum of ophthalmology, including prevention, diagnosis, treatment, toxicities of therapy, supportive care, quality-of-life, and survivorship issues. The submission of negative results is strongly encouraged. The journal will also accept case reports dealing with the use of novel technologies, both in the arena of diagnosis and treatment. Supplementary material is welcomed. The intent of the journal is to provide clinicians and researchers with a tool to disseminate their personal experiences to a wider public as well as to review interesting cases encountered by colleagues all over the world. Universally used terms can be searched across the entire growing collection of case reports, further facilitating the retrieval of specific information. Following the open access principle, the entire contents can be retrieved at no charge, guaranteeing easy access to this valuable source of anecdotal information at all times.
×
引用
GB/T 7714-2015
复制
MLA
复制
APA
复制
导出至
BibTeX EndNote RefMan NoteFirst NoteExpress
×
提示
您的信息不完整,为了账户安全,请先补充。
现在去补充
×
提示
您因"违规操作"
具体请查看互助需知
我知道了
×
提示
确定
请完成安全验证×
copy
已复制链接
快去分享给好友吧!
我知道了
右上角分享
点击右上角分享
0
联系我们:info@booksci.cn Book学术提供免费学术资源搜索服务,方便国内外学者检索中英文文献。致力于提供最便捷和优质的服务体验。 Copyright © 2023 布克学术 All rights reserved.
京ICP备2023020795号-1
ghs 京公网安备 11010802042870号
Book学术文献互助
Book学术文献互助群
群 号:604180095
Book学术官方微信