Transvesical Laparoscopic Mesh Excision After Tension-Free Vaginal Tape.

IF 0.8 Q4 OBSTETRICS & GYNECOLOGY
Case Reports in Obstetrics and Gynecology Pub Date : 2025-06-12 eCollection Date: 2025-01-01 DOI:10.1155/crog/8824103
Camille Farache, Peter Fehr
{"title":"Transvesical Laparoscopic Mesh Excision After Tension-Free Vaginal Tape.","authors":"Camille Farache, Peter Fehr","doi":"10.1155/crog/8824103","DOIUrl":null,"url":null,"abstract":"<p><p>Tension-free vaginal tape has been the gold standard for the treatment of stress urinary incontinence for over 20 years. However, rare complications like intravesical tape erosion can significantly reduce quality of life, requiring surgical removal. This procedure must preserve continence and can be challenging. We report the case of a 53-year-old woman who presented with recurrent urinary tract infections and dysuria 7 years after a TVT procedure. Imaging revealed a bladder stone attached to the eroded sling at the bladder neck, inaccessible via standard cystoscopy. A transvesical laparoscopic approach was used to successfully remove the intravesical portion of the tape. The patient recovered well and remained symptom-free and continent. Various techniques are used to perform intravesical tape resection. Transvesical laparoscopy offers excellent visualization and precise excision and minimizes recurrence risks for stress urinary incontinence. It is a safe, effective, and minimally invasive option for removing eroded tension-free vaginal tape, especially in difficult-to-access areas like the bladder neck.</p>","PeriodicalId":9610,"journal":{"name":"Case Reports in Obstetrics and Gynecology","volume":"2025 ","pages":"8824103"},"PeriodicalIF":0.8000,"publicationDate":"2025-06-12","publicationTypes":"Journal Article","fieldsOfStudy":null,"isOpenAccess":false,"openAccessPdf":"https://www.ncbi.nlm.nih.gov/pmc/articles/PMC12178756/pdf/","citationCount":"0","resultStr":null,"platform":"Semanticscholar","paperid":null,"PeriodicalName":"Case Reports in Obstetrics and Gynecology","FirstCategoryId":"1085","ListUrlMain":"https://doi.org/10.1155/crog/8824103","RegionNum":0,"RegionCategory":null,"ArticlePicture":[],"TitleCN":null,"AbstractTextCN":null,"PMCID":null,"EPubDate":"2025/1/1 0:00:00","PubModel":"eCollection","JCR":"Q4","JCRName":"OBSTETRICS & GYNECOLOGY","Score":null,"Total":0}
引用次数: 0

Abstract

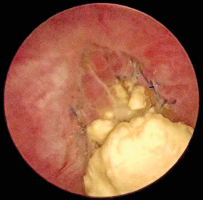
Tension-free vaginal tape has been the gold standard for the treatment of stress urinary incontinence for over 20 years. However, rare complications like intravesical tape erosion can significantly reduce quality of life, requiring surgical removal. This procedure must preserve continence and can be challenging. We report the case of a 53-year-old woman who presented with recurrent urinary tract infections and dysuria 7 years after a TVT procedure. Imaging revealed a bladder stone attached to the eroded sling at the bladder neck, inaccessible via standard cystoscopy. A transvesical laparoscopic approach was used to successfully remove the intravesical portion of the tape. The patient recovered well and remained symptom-free and continent. Various techniques are used to perform intravesical tape resection. Transvesical laparoscopy offers excellent visualization and precise excision and minimizes recurrence risks for stress urinary incontinence. It is a safe, effective, and minimally invasive option for removing eroded tension-free vaginal tape, especially in difficult-to-access areas like the bladder neck.

Abstract Image

Abstract Image

Abstract Image

无张力阴道带后经膀胱腹腔镜网状切除术。
20多年来,无张力阴道胶带一直是治疗压力性尿失禁的黄金标准。然而,罕见的并发症,如膀胱内带糜烂会显著降低生活质量,需要手术切除。这个过程必须保持克制,可能具有挑战性。我们报告一例53岁的妇女谁提出复发性尿路感染和排尿困难7年后的TVT手术。成像显示膀胱结石附着在膀胱颈部侵蚀的吊索上,通过标准膀胱镜检查无法观察到。经膀胱腹腔镜入路成功去除膀胱内部分的胶带。患者恢复良好,无任何症状。各种技术用于膀胱内胶带切除术。经膀胱腹腔镜提供了良好的可视化和精确的切除,并将压力性尿失禁的复发风险降至最低。这是一种安全,有效,微创的选择,用于去除侵蚀无张力阴道带,特别是在难以进入的区域,如膀胱颈部。
本文章由计算机程序翻译,如有差异,请以英文原文为准。
求助全文
约1分钟内获得全文 求助全文
来源期刊
Case Reports in Obstetrics and Gynecology
Case Reports in Obstetrics and Gynecology Medicine-Obstetrics and Gynecology
CiteScore
1.30
自引率
0.00%
发文量
64
审稿时长
12 weeks
×
引用
GB/T 7714-2015
复制
MLA
复制
APA
复制
导出至
BibTeX EndNote RefMan NoteFirst NoteExpress
×
提示
您的信息不完整,为了账户安全,请先补充。
现在去补充
×
提示
您因"违规操作"
具体请查看互助需知
我知道了
×
提示
确定
请完成安全验证×
copy
已复制链接
快去分享给好友吧!
我知道了
右上角分享
点击右上角分享
0
联系我们:info@booksci.cn Book学术提供免费学术资源搜索服务,方便国内外学者检索中英文文献。致力于提供最便捷和优质的服务体验。 Copyright © 2023 布克学术 All rights reserved.
京ICP备2023020795号-1
ghs 京公网安备 11010802042870号
Book学术文献互助
Book学术文献互助群
群 号:604180095
Book学术官方微信