Duplex Renal Collecting System Lithiasis: A Case of a Challenging Management Technique.

Case Reports in Urology Pub Date : 2025-06-12 eCollection Date: 2025-01-01 DOI:10.1155/criu/1543018
Ioannis Loufopoulos, Clarence Zwengunde, Soumendra Datta
{"title":"Duplex Renal Collecting System Lithiasis: A Case of a Challenging Management Technique.","authors":"Ioannis Loufopoulos, Clarence Zwengunde, Soumendra Datta","doi":"10.1155/criu/1543018","DOIUrl":null,"url":null,"abstract":"<p><p>Duplex renal collecting system is a relatively common congenital abnormality affecting equally both pelvicalyceal systems. Although usually it is an incidental finding, it can cause significant problems to the patients such as recurrent urinary tract infections, hydronephrosis, and lithiasis. In this study, we describe an interesting surgical management option for a patient with upper moiety hydronephrosis and lithiasis of the aberrant ureter, achieving resolution of the hydronephrosis and complete removal of the calculus. A 49-year-old female patient presented with symptoms of left colicky pain. During the initial investigation, a left-sided duplex renal collecting system with severely hydronephrotic upper pole moiety and grossly dilated tortuous ureter with distal calculus and ectopic insertion to urinary bladder was identified. On cystoscopy, the upper moiety ureteric opening was identified distally to the urethral sphincter. Under ultrasound guidance, endoscopic transvesical resection was performed distal to the stented lower moiety ureteric orifice, resulting in the identification of the stone and extraction. Short- and long-term follow-up demonstrated no recurrence of the stone and significant resolution of the hydronephrosis. In conclusion, in this case report, we describe an unusual anatomical variation of the upper moiety outflow, and we introduce a new technique of intravesical ultrasound-guided removal of an obstructive calculus.</p>","PeriodicalId":30323,"journal":{"name":"Case Reports in Urology","volume":"2025 ","pages":"1543018"},"PeriodicalIF":0.0000,"publicationDate":"2025-06-12","publicationTypes":"Journal Article","fieldsOfStudy":null,"isOpenAccess":false,"openAccessPdf":"https://www.ncbi.nlm.nih.gov/pmc/articles/PMC12178762/pdf/","citationCount":"0","resultStr":null,"platform":"Semanticscholar","paperid":null,"PeriodicalName":"Case Reports in Urology","FirstCategoryId":"1085","ListUrlMain":"https://doi.org/10.1155/criu/1543018","RegionNum":0,"RegionCategory":null,"ArticlePicture":[],"TitleCN":null,"AbstractTextCN":null,"PMCID":null,"EPubDate":"2025/1/1 0:00:00","PubModel":"eCollection","JCR":"","JCRName":"","Score":null,"Total":0}
引用次数: 0

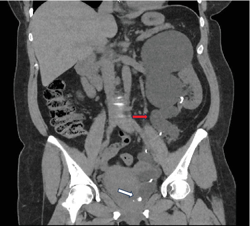
Abstract

Duplex renal collecting system is a relatively common congenital abnormality affecting equally both pelvicalyceal systems. Although usually it is an incidental finding, it can cause significant problems to the patients such as recurrent urinary tract infections, hydronephrosis, and lithiasis. In this study, we describe an interesting surgical management option for a patient with upper moiety hydronephrosis and lithiasis of the aberrant ureter, achieving resolution of the hydronephrosis and complete removal of the calculus. A 49-year-old female patient presented with symptoms of left colicky pain. During the initial investigation, a left-sided duplex renal collecting system with severely hydronephrotic upper pole moiety and grossly dilated tortuous ureter with distal calculus and ectopic insertion to urinary bladder was identified. On cystoscopy, the upper moiety ureteric opening was identified distally to the urethral sphincter. Under ultrasound guidance, endoscopic transvesical resection was performed distal to the stented lower moiety ureteric orifice, resulting in the identification of the stone and extraction. Short- and long-term follow-up demonstrated no recurrence of the stone and significant resolution of the hydronephrosis. In conclusion, in this case report, we describe an unusual anatomical variation of the upper moiety outflow, and we introduce a new technique of intravesical ultrasound-guided removal of an obstructive calculus.

Abstract Image

Abstract Image

Abstract Image

双肾收集系统结石:一个具有挑战性的管理技术。
双肾收集系统是一种相对常见的先天性畸形,同样影响两个盆腔系统。虽然它通常是偶然发现的,但它会给患者带来严重的问题,如复发性尿路感染、肾积水和结石。在这项研究中,我们描述了一种有趣的手术治疗方案,用于治疗上段肾积水和异常输尿管结石的患者,实现了肾积水的解决和结石的完全清除。一名49岁女性患者,表现为左侧绞痛。在最初的调查中,发现了左侧双肾收集系统,上极部分严重肾积水,输尿管严重扩张弯曲,远端结石和膀胱异位插入。膀胱镜检查发现输尿管上段开口位于尿道括约肌的远端。超声引导下,经膀胱内镜切除支架下段输尿管口远端,发现结石并取出。短期和长期随访均未发现结石复发,肾积水明显缓解。总之,在这个病例报告中,我们描述了一个不寻常的上部分流出的解剖变异,我们介绍了一种膀胱内超声引导下去除阻塞性结石的新技术。
本文章由计算机程序翻译,如有差异,请以英文原文为准。
求助全文
约1分钟内获得全文 求助全文
来源期刊
自引率
0.00%
发文量
28
审稿时长
13 weeks
×
引用
GB/T 7714-2015
复制
MLA
复制
APA
复制
导出至
BibTeX EndNote RefMan NoteFirst NoteExpress
×
提示
您的信息不完整,为了账户安全,请先补充。
现在去补充
×
提示
您因"违规操作"
具体请查看互助需知
我知道了
×
提示
确定
请完成安全验证×
copy
已复制链接
快去分享给好友吧!
我知道了
右上角分享
点击右上角分享
0
联系我们:info@booksci.cn Book学术提供免费学术资源搜索服务,方便国内外学者检索中英文文献。致力于提供最便捷和优质的服务体验。 Copyright © 2023 布克学术 All rights reserved.
京ICP备2023020795号-1
ghs 京公网安备 11010802042870号
Book学术文献互助
Book学术文献互助群
群 号:604180095
Book学术官方微信