Adenoid Cystic Carcinoma of the Sinonasal Cavity: A Case Report and Literature Review.

IF 0.7 Q4 ONCOLOGY
Case Reports in Oncology Pub Date : 2025-05-28 eCollection Date: 2025-01-01 DOI:10.1159/000546446
Ahmad Al-Bitar, Bishr A Al-Abdulrazzak, Ruba Alahmar
{"title":"Adenoid Cystic Carcinoma of the Sinonasal Cavity: A Case Report and Literature Review.","authors":"Ahmad Al-Bitar, Bishr A Al-Abdulrazzak, Ruba Alahmar","doi":"10.1159/000546446","DOIUrl":null,"url":null,"abstract":"<p><strong>Introduction: </strong>Adenoid cystic carcinoma (ACC), a rare, aggressive malignancy of secretory epithelia, is often present with nonspecific symptoms, delaying diagnosis.</p><p><strong>Case presentation: </strong>A 67-year-old male reported 10 months of nasal obstruction, mouth breathing, and sleep disturbances. The initial evaluation for foreign body obstruction revealed septal deviation and low-density sinonasal tissue on CT. MRI identified a 7 × 4.5 × 7 cm heterogeneous lesion invading nasal structures, paranasal sinuses, and nasopharynx with diffusion restriction. Tru-cut biopsy confirmed ACC via cribriform, tubular, and solid basaloid cell patterns, pseudocystic spaces, biphasic ductal-myoepithelial cells, and perineural invasion. Immunohistochemistry (CK7, CD117, p63, S100) supported the diagnosis, with tumor-free margins and no metastases. Multimodal therapy (30 VMAT sessions, 4 cisplatin-vinorelbine cycles) improved symptoms.</p><p><strong>Conclusion: </strong>This case illustrates ACC's diagnostic complexity, requiring advanced imaging and histopathology to exclude mimics. Despite indolent early progression, ACC's neurotropic spread and late-stage detection demand aggressive treatment. While surgery with adjuvant radiotherapy remains standard, the absence of metastases here underscores its variable behavior.</p>","PeriodicalId":9625,"journal":{"name":"Case Reports in Oncology","volume":"18 1","pages":"809-816"},"PeriodicalIF":0.7000,"publicationDate":"2025-05-28","publicationTypes":"Journal Article","fieldsOfStudy":null,"isOpenAccess":false,"openAccessPdf":"https://www.ncbi.nlm.nih.gov/pmc/articles/PMC12180789/pdf/","citationCount":"0","resultStr":null,"platform":"Semanticscholar","paperid":null,"PeriodicalName":"Case Reports in Oncology","FirstCategoryId":"1085","ListUrlMain":"https://doi.org/10.1159/000546446","RegionNum":0,"RegionCategory":null,"ArticlePicture":[],"TitleCN":null,"AbstractTextCN":null,"PMCID":null,"EPubDate":"2025/1/1 0:00:00","PubModel":"eCollection","JCR":"Q4","JCRName":"ONCOLOGY","Score":null,"Total":0}
引用次数: 0

Abstract

Introduction: Adenoid cystic carcinoma (ACC), a rare, aggressive malignancy of secretory epithelia, is often present with nonspecific symptoms, delaying diagnosis.

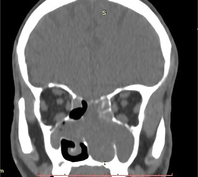
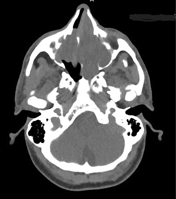
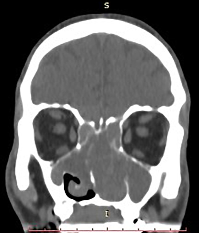
Case presentation: A 67-year-old male reported 10 months of nasal obstruction, mouth breathing, and sleep disturbances. The initial evaluation for foreign body obstruction revealed septal deviation and low-density sinonasal tissue on CT. MRI identified a 7 × 4.5 × 7 cm heterogeneous lesion invading nasal structures, paranasal sinuses, and nasopharynx with diffusion restriction. Tru-cut biopsy confirmed ACC via cribriform, tubular, and solid basaloid cell patterns, pseudocystic spaces, biphasic ductal-myoepithelial cells, and perineural invasion. Immunohistochemistry (CK7, CD117, p63, S100) supported the diagnosis, with tumor-free margins and no metastases. Multimodal therapy (30 VMAT sessions, 4 cisplatin-vinorelbine cycles) improved symptoms.

Conclusion: This case illustrates ACC's diagnostic complexity, requiring advanced imaging and histopathology to exclude mimics. Despite indolent early progression, ACC's neurotropic spread and late-stage detection demand aggressive treatment. While surgery with adjuvant radiotherapy remains standard, the absence of metastases here underscores its variable behavior.

Abstract Image

Abstract Image

Abstract Image

鼻窦腺样囊性癌1例报告及文献复习。
腺样囊性癌(ACC)是一种罕见的侵袭性分泌性上皮恶性肿瘤,通常表现为非特异性症状,延误诊断。病例介绍:一名67岁男性报告了10个月的鼻塞、口呼吸和睡眠障碍。对异物梗阻的初步评估在CT上显示鼻中隔偏曲和低密度鼻窦组织。MRI发现一个7 × 4.5 × 7 cm的非均匀病变,侵犯鼻腔结构、鼻窦和鼻咽部,扩散受限。真切活检通过筛状、管状和实性基底样细胞、假性囊腔、双期导管肌上皮细胞和神经周围浸润证实ACC。免疫组织化学(CK7, CD117, p63, S100)支持诊断,无肿瘤边缘,无转移。多模式治疗(30个VMAT疗程,4个顺铂-长春瑞滨周期)改善了症状。结论:本病例说明了ACC的诊断复杂性,需要先进的影像学和组织病理学来排除模拟。尽管早期进展缓慢,但ACC的嗜神经性扩散和晚期发现需要积极治疗。虽然手术配合辅助放疗仍然是标准,但这里没有转移强调了其可变行为。
本文章由计算机程序翻译,如有差异,请以英文原文为准。
求助全文
约1分钟内获得全文 求助全文
来源期刊
CiteScore
1.40
自引率
12.50%
发文量
151
审稿时长
7 weeks
×
引用
GB/T 7714-2015
复制
MLA
复制
APA
复制
导出至
BibTeX EndNote RefMan NoteFirst NoteExpress
×
提示
您的信息不完整,为了账户安全,请先补充。
现在去补充
×
提示
您因"违规操作"
具体请查看互助需知
我知道了
×
提示
确定
请完成安全验证×
copy
已复制链接
快去分享给好友吧!
我知道了
右上角分享
点击右上角分享
0
联系我们:info@booksci.cn Book学术提供免费学术资源搜索服务,方便国内外学者检索中英文文献。致力于提供最便捷和优质的服务体验。 Copyright © 2023 布克学术 All rights reserved.
京ICP备2023020795号-1
ghs 京公网安备 11010802042870号
Book学术文献互助
Book学术文献互助群
群 号:604180095
Book学术官方微信