A Rare Presentation of Ruptured Pineal Region Teratoma with Postoperative Aseptic Meningitis.

IF 0.7 Q4 ONCOLOGY
Case Reports in Oncology Pub Date : 2025-05-28 eCollection Date: 2025-01-01 DOI:10.1159/000546099
Keisuke Fuji, Takumi Yamanaka, Manato Sakamoto, Ichita Taniyama, Yoshinobu Takahashi, Kazunori Tatsuzawa, Naoya Hashimoto
{"title":"A Rare Presentation of Ruptured Pineal Region Teratoma with Postoperative Aseptic Meningitis.","authors":"Keisuke Fuji, Takumi Yamanaka, Manato Sakamoto, Ichita Taniyama, Yoshinobu Takahashi, Kazunori Tatsuzawa, Naoya Hashimoto","doi":"10.1159/000546099","DOIUrl":null,"url":null,"abstract":"<p><strong>Introduction: </strong>Mature teratomas are germ cell tumors composed of tissues derived from all three germ layers. These tumors are rare in the central nervous system, primarily occurring in the suprasellar and pineal regions. Rupture of intracranial teratomas is an exceptionally rare phenomenon, typically presenting on imaging as disseminated fatty droplets and occasionally associated with aseptic meningitis. We describe a case of a ruptured cystic teratoma in the pineal region, manifesting postoperatively with severe neurological symptoms consistent with aseptic meningitis.</p><p><strong>Case presentation: </strong>A 15-year-old boy presented with a 2-month history of persistent headaches. Computed tomography revealed a calcified mass lesion in the pineal region with low-density areas in the lateral ventricles. Magnetic resonance imaging (MRI) demonstrated a complex lesion in the pineal region and high T1 signal intensity bilaterally in the anterior horns of the lateral ventricles, suggestive of a ruptured teratoma. The patient underwent surgical resection. Postoperatively, he developed mild fever, severe headache, ocular pain, decreased vision, diplopia, and neck rigidity. Contrast-enhanced MRI revealed faint meningeal enhancement, consistent with aseptic meningitis. Symptoms gradually improved with steroid therapy.</p><p><strong>Conclusion: </strong>This case underscores the importance of recognizing rupture as a potential complication of intracranial teratomas, which may result in severe postoperative aseptic meningitis. Intraoperative measures, such as meticulous irrigation, are critical to mitigate this rare but serious complication.</p>","PeriodicalId":9625,"journal":{"name":"Case Reports in Oncology","volume":"18 1","pages":"817-823"},"PeriodicalIF":0.7000,"publicationDate":"2025-05-28","publicationTypes":"Journal Article","fieldsOfStudy":null,"isOpenAccess":false,"openAccessPdf":"https://www.ncbi.nlm.nih.gov/pmc/articles/PMC12180800/pdf/","citationCount":"0","resultStr":null,"platform":"Semanticscholar","paperid":null,"PeriodicalName":"Case Reports in Oncology","FirstCategoryId":"1085","ListUrlMain":"https://doi.org/10.1159/000546099","RegionNum":0,"RegionCategory":null,"ArticlePicture":[],"TitleCN":null,"AbstractTextCN":null,"PMCID":null,"EPubDate":"2025/1/1 0:00:00","PubModel":"eCollection","JCR":"Q4","JCRName":"ONCOLOGY","Score":null,"Total":0}
引用次数: 0

Abstract

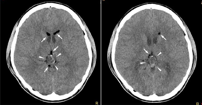
Introduction: Mature teratomas are germ cell tumors composed of tissues derived from all three germ layers. These tumors are rare in the central nervous system, primarily occurring in the suprasellar and pineal regions. Rupture of intracranial teratomas is an exceptionally rare phenomenon, typically presenting on imaging as disseminated fatty droplets and occasionally associated with aseptic meningitis. We describe a case of a ruptured cystic teratoma in the pineal region, manifesting postoperatively with severe neurological symptoms consistent with aseptic meningitis.

Case presentation: A 15-year-old boy presented with a 2-month history of persistent headaches. Computed tomography revealed a calcified mass lesion in the pineal region with low-density areas in the lateral ventricles. Magnetic resonance imaging (MRI) demonstrated a complex lesion in the pineal region and high T1 signal intensity bilaterally in the anterior horns of the lateral ventricles, suggestive of a ruptured teratoma. The patient underwent surgical resection. Postoperatively, he developed mild fever, severe headache, ocular pain, decreased vision, diplopia, and neck rigidity. Contrast-enhanced MRI revealed faint meningeal enhancement, consistent with aseptic meningitis. Symptoms gradually improved with steroid therapy.

Conclusion: This case underscores the importance of recognizing rupture as a potential complication of intracranial teratomas, which may result in severe postoperative aseptic meningitis. Intraoperative measures, such as meticulous irrigation, are critical to mitigate this rare but serious complication.

Abstract Image

Abstract Image

Abstract Image

一例罕见的松果体区畸胎瘤破裂并发术后无菌性脑膜炎。
简介:成熟畸胎瘤是由所有三个胚层的组织组成的生殖细胞肿瘤。这些肿瘤在中枢神经系统中很少见,主要发生在鞍上和松果体区域。颅内畸胎瘤破裂是一种非常罕见的现象,通常在影像学上表现为弥散性脂肪滴,偶尔伴有无菌性脑膜炎。我们描述了一例破裂的囊性畸胎瘤在松果体区域,术后表现出严重的神经系统症状一致的无菌性脑膜炎。病例介绍:一名15岁男孩,有2个月的持续性头痛病史。计算机断层扫描显示松果体区钙化肿块病变,侧脑室低密度区。磁共振成像(MRI)显示松果体区复杂病变,侧脑室前角双侧高T1信号强度,提示畸胎瘤破裂。病人接受了手术切除。术后患者出现轻度发热、剧烈头痛、眼痛、视力下降、复视和颈部僵硬。MRI增强显示轻度脑膜强化,符合无菌性脑膜炎。类固醇治疗后症状逐渐改善。结论:本病例强调了认识破裂作为颅内畸胎瘤的潜在并发症的重要性,它可能导致严重的术后无菌性脑膜炎。术中措施,如细致的冲洗,对于减轻这种罕见但严重的并发症至关重要。
本文章由计算机程序翻译,如有差异,请以英文原文为准。
求助全文
约1分钟内获得全文 求助全文
来源期刊
CiteScore
1.40
自引率
12.50%
发文量
151
审稿时长
7 weeks
×
引用
GB/T 7714-2015
复制
MLA
复制
APA
复制
导出至
BibTeX EndNote RefMan NoteFirst NoteExpress
×
提示
您的信息不完整,为了账户安全,请先补充。
现在去补充
×
提示
您因"违规操作"
具体请查看互助需知
我知道了
×
提示
确定
请完成安全验证×
copy
已复制链接
快去分享给好友吧!
我知道了
右上角分享
点击右上角分享
0
联系我们:info@booksci.cn Book学术提供免费学术资源搜索服务,方便国内外学者检索中英文文献。致力于提供最便捷和优质的服务体验。 Copyright © 2023 布克学术 All rights reserved.
京ICP备2023020795号-1
ghs 京公网安备 11010802042870号
Book学术文献互助
Book学术文献互助群
群 号:604180095
Book学术官方微信