A Rare Cause of Ascites: Vesicoabdominal Fistula as a Late Complication of Radiation-Induced Cystitis - A Case Report.

IF 0.6 Q4 GASTROENTEROLOGY & HEPATOLOGY
Case Reports in Gastroenterology Pub Date : 2025-06-20 eCollection Date: 2025-01-01 DOI:10.1159/000546596
Jakub Klevar, Pavel Hrabák, Radan Brůha, Libor Zámečník
{"title":"A Rare Cause of Ascites: Vesicoabdominal Fistula as a Late Complication of Radiation-Induced Cystitis - A Case Report.","authors":"Jakub Klevar, Pavel Hrabák, Radan Brůha, Libor Zámečník","doi":"10.1159/000546596","DOIUrl":null,"url":null,"abstract":"<p><strong>Introduction: </strong>Vesico-peritoneal fistula (VPF) is an uncommon type of fistula in the urogenital tract and a rare cause of ascites.</p><p><strong>Case presentation: </strong>Although VPF mainly occurs as an early postoperative complication of gynecological surgery, we report a case of a 71-year-old female patient who presented with ascites, pseudo-renal failure, and peritonitis caused by a VPF as a delayed complication of radiotherapy.</p><p><strong>Conclusion: </strong>In this case report, we discuss treatment strategies based on previously published case studies and our experience. We provide a diagnostic overview of commonly available imaging techniques, such as computed tomography scans and magnetic resonance imagings. Despite their widespread use, these imaging modalities have not led to any shift in the diagnostic process, with the definitive diagnosis being confirmed only by retrograde cystography.</p>","PeriodicalId":9614,"journal":{"name":"Case Reports in Gastroenterology","volume":"19 1","pages":"476-481"},"PeriodicalIF":0.6000,"publicationDate":"2025-06-20","publicationTypes":"Journal Article","fieldsOfStudy":null,"isOpenAccess":false,"openAccessPdf":"https://www.ncbi.nlm.nih.gov/pmc/articles/PMC12180782/pdf/","citationCount":"0","resultStr":null,"platform":"Semanticscholar","paperid":null,"PeriodicalName":"Case Reports in Gastroenterology","FirstCategoryId":"1085","ListUrlMain":"https://doi.org/10.1159/000546596","RegionNum":0,"RegionCategory":null,"ArticlePicture":[],"TitleCN":null,"AbstractTextCN":null,"PMCID":null,"EPubDate":"2025/1/1 0:00:00","PubModel":"eCollection","JCR":"Q4","JCRName":"GASTROENTEROLOGY & HEPATOLOGY","Score":null,"Total":0}
引用次数: 0

Abstract

Introduction: Vesico-peritoneal fistula (VPF) is an uncommon type of fistula in the urogenital tract and a rare cause of ascites.

Case presentation: Although VPF mainly occurs as an early postoperative complication of gynecological surgery, we report a case of a 71-year-old female patient who presented with ascites, pseudo-renal failure, and peritonitis caused by a VPF as a delayed complication of radiotherapy.

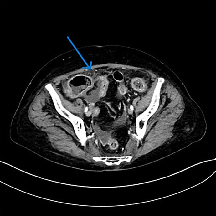
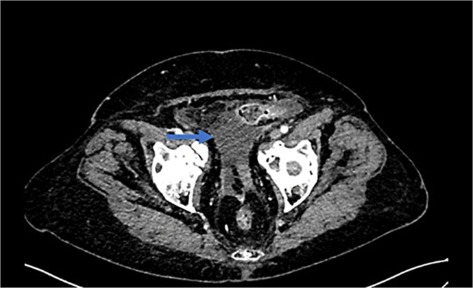
Conclusion: In this case report, we discuss treatment strategies based on previously published case studies and our experience. We provide a diagnostic overview of commonly available imaging techniques, such as computed tomography scans and magnetic resonance imagings. Despite their widespread use, these imaging modalities have not led to any shift in the diagnostic process, with the definitive diagnosis being confirmed only by retrograde cystography.

Abstract Image

Abstract Image

Abstract Image

一种罕见的腹水原因:膀胱腹腔瘘作为放射性膀胱炎的晚期并发症- 1例报告。
膀胱-腹膜瘘(VPF)是泌尿生殖道一种罕见的瘘管类型,也是引起腹水的罕见原因。病例介绍:虽然VPF主要发生在妇科手术的早期术后并发症,但我们报告了一例71岁的女性患者,她因VPF引起的腹水,假性肾衰竭和腹膜炎作为放疗的延迟并发症。结论:在本病例报告中,我们根据先前发表的病例研究和我们的经验讨论治疗策略。我们提供了常用的成像技术的诊断概述,如计算机断层扫描和磁共振成像。尽管这些成像方式被广泛使用,但并没有导致诊断过程的任何改变,只有逆行膀胱造影才能确诊。
本文章由计算机程序翻译,如有差异,请以英文原文为准。
求助全文
约1分钟内获得全文 求助全文
来源期刊
Case Reports in Gastroenterology
Case Reports in Gastroenterology Medicine-Gastroenterology
CiteScore
1.10
自引率
0.00%
发文量
99
审稿时长
7 weeks
期刊介绍:
×
引用
GB/T 7714-2015
复制
MLA
复制
APA
复制
导出至
BibTeX EndNote RefMan NoteFirst NoteExpress
×
提示
您的信息不完整,为了账户安全,请先补充。
现在去补充
×
提示
您因"违规操作"
具体请查看互助需知
我知道了
×
提示
确定
请完成安全验证×
copy
已复制链接
快去分享给好友吧!
我知道了
右上角分享
点击右上角分享
0
联系我们:info@booksci.cn Book学术提供免费学术资源搜索服务,方便国内外学者检索中英文文献。致力于提供最便捷和优质的服务体验。 Copyright © 2023 布克学术 All rights reserved.
京ICP备2023020795号-1
ghs 京公网安备 11010802042870号
Book学术文献互助
Book学术文献互助群
群 号:604180095
Book学术官方微信