Chilaiditi's Syndrome Treatment Using Versius Robotic Surgical System: A Case Report.

IF 0.5 Q4 SURGERY
Case Reports in Surgery Pub Date : 2025-06-12 eCollection Date: 2025-01-01 DOI:10.1155/cris/9965465
Daniele Sandonà, Diego Caroli, Giacomo Sarzo, Enzo Mammano
{"title":"Chilaiditi's Syndrome Treatment Using Versius Robotic Surgical System: A Case Report.","authors":"Daniele Sandonà, Diego Caroli, Giacomo Sarzo, Enzo Mammano","doi":"10.1155/cris/9965465","DOIUrl":null,"url":null,"abstract":"<p><p><b>Introduction:</b> Chilaiditi's sign consists of the interposition of a segment of the intestine between the right diaphragm and the liver; when this anomaly causes gastrointestinal symptoms, it is referred to as Chilaiditi's syndrome. If conservative treatment fails, surgical intervention is often necessary, especially in severe or complicated cases. <b>Case Presentation:</b> An 82-year-old woman with a 2-year history of right-sided abdominal pain, constipation, malaise, and weight loss was diagnosed with Chilaiditi's syndrome following an extensive workout to exclude other pathologies. Following the failure of medical therapy, she underwent elective robotic surgery for hepatic flexure mobilization and right colopexy. The procedure was performed using the Versius robotic system (Cambridge Medical Robotics, CMR), resulting in successful repositioning of the colon and resolution of symptoms. <b>Discussion:</b> Chilaiditi's syndrome is often underdiagnosed and can be effectively treated with surgical intervention in cases unresponsive to medical therapy. The Versius robotic system offers a highly effective, minimally invasive solution, reducing surgical trauma, and promoting faster recovery. This case highlights the benefits of robotic-assisted surgery in managing complex gastrointestinal conditions like Chilaiditi's syndrome. <b>Conclusion:</b> Robotic surgery, particularly with the Versius robotic system, offers significant technical advantages in such complex cases due to its precision and minimally invasive nature, with improved clinical outcomes, and enhanced recovery times for patients requiring surgical intervention.</p>","PeriodicalId":9600,"journal":{"name":"Case Reports in Surgery","volume":"2025 ","pages":"9965465"},"PeriodicalIF":0.5000,"publicationDate":"2025-06-12","publicationTypes":"Journal Article","fieldsOfStudy":null,"isOpenAccess":false,"openAccessPdf":"https://www.ncbi.nlm.nih.gov/pmc/articles/PMC12178770/pdf/","citationCount":"0","resultStr":null,"platform":"Semanticscholar","paperid":null,"PeriodicalName":"Case Reports in Surgery","FirstCategoryId":"1085","ListUrlMain":"https://doi.org/10.1155/cris/9965465","RegionNum":0,"RegionCategory":null,"ArticlePicture":[],"TitleCN":null,"AbstractTextCN":null,"PMCID":null,"EPubDate":"2025/1/1 0:00:00","PubModel":"eCollection","JCR":"Q4","JCRName":"SURGERY","Score":null,"Total":0}
引用次数: 0

Abstract

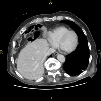
Introduction: Chilaiditi's sign consists of the interposition of a segment of the intestine between the right diaphragm and the liver; when this anomaly causes gastrointestinal symptoms, it is referred to as Chilaiditi's syndrome. If conservative treatment fails, surgical intervention is often necessary, especially in severe or complicated cases. Case Presentation: An 82-year-old woman with a 2-year history of right-sided abdominal pain, constipation, malaise, and weight loss was diagnosed with Chilaiditi's syndrome following an extensive workout to exclude other pathologies. Following the failure of medical therapy, she underwent elective robotic surgery for hepatic flexure mobilization and right colopexy. The procedure was performed using the Versius robotic system (Cambridge Medical Robotics, CMR), resulting in successful repositioning of the colon and resolution of symptoms. Discussion: Chilaiditi's syndrome is often underdiagnosed and can be effectively treated with surgical intervention in cases unresponsive to medical therapy. The Versius robotic system offers a highly effective, minimally invasive solution, reducing surgical trauma, and promoting faster recovery. This case highlights the benefits of robotic-assisted surgery in managing complex gastrointestinal conditions like Chilaiditi's syndrome. Conclusion: Robotic surgery, particularly with the Versius robotic system, offers significant technical advantages in such complex cases due to its precision and minimally invasive nature, with improved clinical outcomes, and enhanced recovery times for patients requiring surgical intervention.

Abstract Image

Abstract Image

Abstract Image

使用Versius机器人手术系统治疗Chilaiditi综合征1例报告。
Chilaiditi的征象包括在右横膈膜和肝脏之间的一段肠的插入;当这种异常引起胃肠道症状时,它被称为奇拉迪提综合征。如果保守治疗失败,手术干预往往是必要的,特别是在严重或复杂的情况下。病例介绍:一名82岁女性,右侧腹痛、便秘、不适和体重减轻2年,经广泛锻炼排除其他病理后诊断为Chilaiditi综合征。在药物治疗失败后,她接受了选择性机器人手术进行肝屈曲活动和右结肠固定术。手术采用Versius机器人系统(Cambridge Medical Robotics, CMR),结肠复位成功,症状得到缓解。讨论:Chilaiditi综合征经常被误诊,在药物治疗无效的病例中,可以通过手术干预有效地治疗。Versius机器人系统提供了一种高效、微创的解决方案,减少了手术创伤,促进了更快的恢复。这个病例强调了机器人辅助手术在治疗像奇莱迪提综合征这样复杂的胃肠道疾病方面的好处。结论:机器人手术,特别是使用Versius机器人系统,由于其精确性和微创性,在此类复杂病例中提供了显着的技术优势,改善了临床结果,并缩短了需要手术干预的患者的恢复时间。
本文章由计算机程序翻译,如有差异,请以英文原文为准。
求助全文
约1分钟内获得全文 求助全文
来源期刊
自引率
0.00%
发文量
60
审稿时长
13 weeks
×
引用
GB/T 7714-2015
复制
MLA
复制
APA
复制
导出至
BibTeX EndNote RefMan NoteFirst NoteExpress
×
提示
您的信息不完整,为了账户安全,请先补充。
现在去补充
×
提示
您因"违规操作"
具体请查看互助需知
我知道了
×
提示
确定
请完成安全验证×
copy
已复制链接
快去分享给好友吧!
我知道了
右上角分享
点击右上角分享
0
联系我们:info@booksci.cn Book学术提供免费学术资源搜索服务,方便国内外学者检索中英文文献。致力于提供最便捷和优质的服务体验。 Copyright © 2023 布克学术 All rights reserved.
京ICP备2023020795号-1
ghs 京公网安备 11010802042870号
Book学术文献互助
Book学术文献互助群
群 号:604180095
Book学术官方微信