Late-Onset Crizotinib-Associated Renal Cysts With Subsequent Regression Following Dose Reduction: A Case Report.

IF 2.3 3区 医学 Q3 ONCOLOGY
Joon-Young Yoon, Won Gi Jeong, Yoo-Duk Choi, Seung Ji Kang, Hwa Kyung Park, Hyung-Joo Oh, Cheol-Kyu Park, In-Jae Oh, Young-Chul Kim
{"title":"Late-Onset Crizotinib-Associated Renal Cysts With Subsequent Regression Following Dose Reduction: A Case Report.","authors":"Joon-Young Yoon, Won Gi Jeong, Yoo-Duk Choi, Seung Ji Kang, Hwa Kyung Park, Hyung-Joo Oh, Cheol-Kyu Park, In-Jae Oh, Young-Chul Kim","doi":"10.1111/1759-7714.70111","DOIUrl":null,"url":null,"abstract":"<p><p>Crizotinib, an anaplastic lymphoma kinase (ALK)/ROS1/c-MET inhibitor, improves outcomes in ALK-positive non-small cell lung cancer (NSCLC) but can cause crizotinib-associated renal cysts (CARCs), a rare yet clinically relevant adverse effect. We report a case of a 68-year-old Korean male who developed complex renal cysts after 4 years of crizotinib therapy. Radiologic findings initially raised suspicion for either an abscess or a neoplastic lesion, leading to surgical resection. However, recurrent renal cysts developed during continued crizotinib therapy, and CARCs were subsequently suspected. A dose reduction was implemented, which led to cyst regression without compromising tumor control. This case highlights the need to recognize and manage late-onset toxicities during long-term treatment, emphasizing the clinical value of multidisciplinary evaluation and tailored dose adjustments.</p>","PeriodicalId":23338,"journal":{"name":"Thoracic Cancer","volume":"16 12","pages":"e70111"},"PeriodicalIF":2.3000,"publicationDate":"2025-06-01","publicationTypes":"Journal Article","fieldsOfStudy":null,"isOpenAccess":false,"openAccessPdf":"https://www.ncbi.nlm.nih.gov/pmc/articles/PMC12181678/pdf/","citationCount":"0","resultStr":null,"platform":"Semanticscholar","paperid":null,"PeriodicalName":"Thoracic Cancer","FirstCategoryId":"3","ListUrlMain":"https://doi.org/10.1111/1759-7714.70111","RegionNum":3,"RegionCategory":"医学","ArticlePicture":[],"TitleCN":null,"AbstractTextCN":null,"PMCID":null,"EPubDate":"","PubModel":"","JCR":"Q3","JCRName":"ONCOLOGY","Score":null,"Total":0}
引用次数: 0

Abstract

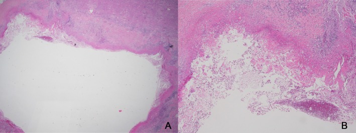
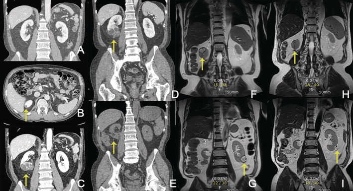
Crizotinib, an anaplastic lymphoma kinase (ALK)/ROS1/c-MET inhibitor, improves outcomes in ALK-positive non-small cell lung cancer (NSCLC) but can cause crizotinib-associated renal cysts (CARCs), a rare yet clinically relevant adverse effect. We report a case of a 68-year-old Korean male who developed complex renal cysts after 4 years of crizotinib therapy. Radiologic findings initially raised suspicion for either an abscess or a neoplastic lesion, leading to surgical resection. However, recurrent renal cysts developed during continued crizotinib therapy, and CARCs were subsequently suspected. A dose reduction was implemented, which led to cyst regression without compromising tumor control. This case highlights the need to recognize and manage late-onset toxicities during long-term treatment, emphasizing the clinical value of multidisciplinary evaluation and tailored dose adjustments.

Abstract Image

Abstract Image

Abstract Image

减量后迟发性克唑替尼相关肾囊肿消退:1例报告。
克唑替尼是一种间变性淋巴瘤激酶(ALK)/ROS1/c-MET抑制剂,可改善ALK阳性非小细胞肺癌(NSCLC)的预后,但可引起克唑替尼相关肾囊肿(CARCs),这是一种罕见但临床相关的不良反应。我们报告一例68岁的韩国男性谁发展复杂的肾囊肿后4年的克唑替尼治疗。放射学结果最初怀疑为脓肿或肿瘤病变,导致手术切除。然而,在继续克唑替尼治疗期间,复发性肾囊肿出现,随后怀疑为CARCs。减少剂量,导致囊肿消退而不影响肿瘤控制。该病例强调了在长期治疗过程中识别和管理迟发性毒性的必要性,强调了多学科评估和量身定制剂量调整的临床价值。
本文章由计算机程序翻译,如有差异,请以英文原文为准。
求助全文
约1分钟内获得全文 求助全文
来源期刊
Thoracic Cancer
Thoracic Cancer ONCOLOGY-RESPIRATORY SYSTEM
CiteScore
5.20
自引率
3.40%
发文量
439
审稿时长
2 months
期刊介绍: Thoracic Cancer aims to facilitate international collaboration and exchange of comprehensive and cutting-edge information on basic, translational, and applied clinical research in lung cancer, esophageal cancer, mediastinal cancer, breast cancer and other thoracic malignancies. Prevention, treatment and research relevant to Asia-Pacific is a focus area, but submissions from all regions are welcomed. The editors encourage contributions relevant to prevention, general thoracic surgery, medical oncology, radiology, radiation medicine, pathology, basic cancer research, as well as epidemiological and translational studies in thoracic cancer. Thoracic Cancer is the official publication of the Chinese Society of Lung Cancer, International Chinese Society of Thoracic Surgery and is endorsed by the Korean Association for the Study of Lung Cancer and the Hong Kong Cancer Therapy Society. The Journal publishes a range of article types including: Editorials, Invited Reviews, Mini Reviews, Original Articles, Clinical Guidelines, Technological Notes, Imaging in thoracic cancer, Meeting Reports, Case Reports, Letters to the Editor, Commentaries, and Brief Reports.
×
引用
GB/T 7714-2015
复制
MLA
复制
APA
复制
导出至
BibTeX EndNote RefMan NoteFirst NoteExpress
×
提示
您的信息不完整,为了账户安全,请先补充。
现在去补充
×
提示
您因"违规操作"
具体请查看互助需知
我知道了
×
提示
确定
请完成安全验证×
copy
已复制链接
快去分享给好友吧!
我知道了
右上角分享
点击右上角分享
0
联系我们:info@booksci.cn Book学术提供免费学术资源搜索服务,方便国内外学者检索中英文文献。致力于提供最便捷和优质的服务体验。 Copyright © 2023 布克学术 All rights reserved.
京ICP备2023020795号-1
ghs 京公网安备 11010802042870号
Book学术文献互助
Book学术文献互助群
群 号:604180095
Book学术官方微信