Combinational Therapy of Mesenchymal Stem Cells and Metformin in Bleomycin-Induced Idiopathic Pulmonary Fibrosis in Rat Model

IF 3.3 4区 生物学 Q3 BIOCHEMISTRY & MOLECULAR BIOLOGY
Nourhan Hassan, Mariam N. Elbyoume, Mariam A. Taha, Hagar S. Mohamed, Omnia M. Elmoghini, Shorouk S. Raouf, Rwan K. Elsayem, Mohrail M. Medhat, Razan M. Rostom, Mohmed Hosney, Emad M. Elzayat
{"title":"Combinational Therapy of Mesenchymal Stem Cells and Metformin in Bleomycin-Induced Idiopathic Pulmonary Fibrosis in Rat Model","authors":"Nourhan Hassan,&nbsp;Mariam N. Elbyoume,&nbsp;Mariam A. Taha,&nbsp;Hagar S. Mohamed,&nbsp;Omnia M. Elmoghini,&nbsp;Shorouk S. Raouf,&nbsp;Rwan K. Elsayem,&nbsp;Mohrail M. Medhat,&nbsp;Razan M. Rostom,&nbsp;Mohmed Hosney,&nbsp;Emad M. Elzayat","doi":"10.1007/s12010-025-05289-y","DOIUrl":null,"url":null,"abstract":"<div><p>Idiopathic pulmonary fibrosis (IPF) is a progressive and severe lung disease characterized by the buildup of interstitial fibrosis, where excessive collagen accumulates, leading to airway obstruction. This condition is initiated by the abnormal proliferation of alveolar type II (AT2) cells. Metformin, an established antidiabetic drug, has gained attention for its repurposed use as an anti-fibrotic agent. Meanwhile, adipose-derived mesenchymal stem cells (ADMSCs) exhibit potent anti-inflammatory and regenerative properties, and they have been shown to reduce collagen deposition. In this study, we hypothesize that the combination of metformin and ADMSCs can synergistically alleviate IPF and promote healthy lung tissue regeneration in a rat model. The goal is to evaluate the safety and efficacy of this approach at multiple levels; biochemical, molecular, histopathological, and histochemical. To induce IPF, Wistar albino rats received a single intratracheal dose of bleomycin (5 mg/kg body weight). The therapeutic phase involved treatment with either metformin or ADMSCs or a combination of both. Metformin was administered intraperitoneally (65 mg/kg body weight) every other day, while ADMSCs were delivered intravenously (1 × 10⁶ cells/0.5 ml DMEM/rat) through the tail vein. Our results demonstrated the effectiveness of combinational therapy, especially in mitigating oxidative stress. This was evidenced by the restoration of oxidative stress biomarkers, malondialdehyde (MDA), and catalase (CAT), as well as the regulation of collagenase type IV (MMP9), bovine serum albumin (BSA), and total protein levels in lung tissues. Moreover, the therapy modulated the expression of key inflammatory and fibrotic genes, including the pro-fibrotic marker TGF-β1, proinflammatory cytokine IL-6, and anti-inflammatory cytokine IL-10. Histopathological and histochemical analyses further supported the therapeutic benefits, showing significant recovery from bleomycin-induced fibrosis in rats treated with either the single or combined therapy. The findings suggest that this combinational approach could be a promising strategy for IPF treatment by simultaneously reducing inflammation, oxidative stress, and fibrosis while promoting tissue regeneration.</p><h3>Graphical Abstract</h3>\n<div><figure><div><div><picture><source><img></source></picture></div></div></figure></div></div>","PeriodicalId":465,"journal":{"name":"Applied Biochemistry and Biotechnology","volume":"197 8","pages":"5511 - 5534"},"PeriodicalIF":3.3000,"publicationDate":"2025-06-21","publicationTypes":"Journal Article","fieldsOfStudy":null,"isOpenAccess":false,"openAccessPdf":"https://www.ncbi.nlm.nih.gov/pmc/articles/PMC12334527/pdf/","citationCount":"0","resultStr":null,"platform":"Semanticscholar","paperid":null,"PeriodicalName":"Applied Biochemistry and Biotechnology","FirstCategoryId":"5","ListUrlMain":"https://link.springer.com/article/10.1007/s12010-025-05289-y","RegionNum":4,"RegionCategory":"生物学","ArticlePicture":[],"TitleCN":null,"AbstractTextCN":null,"PMCID":null,"EPubDate":"","PubModel":"","JCR":"Q3","JCRName":"BIOCHEMISTRY & MOLECULAR BIOLOGY","Score":null,"Total":0}
引用次数: 0

Abstract

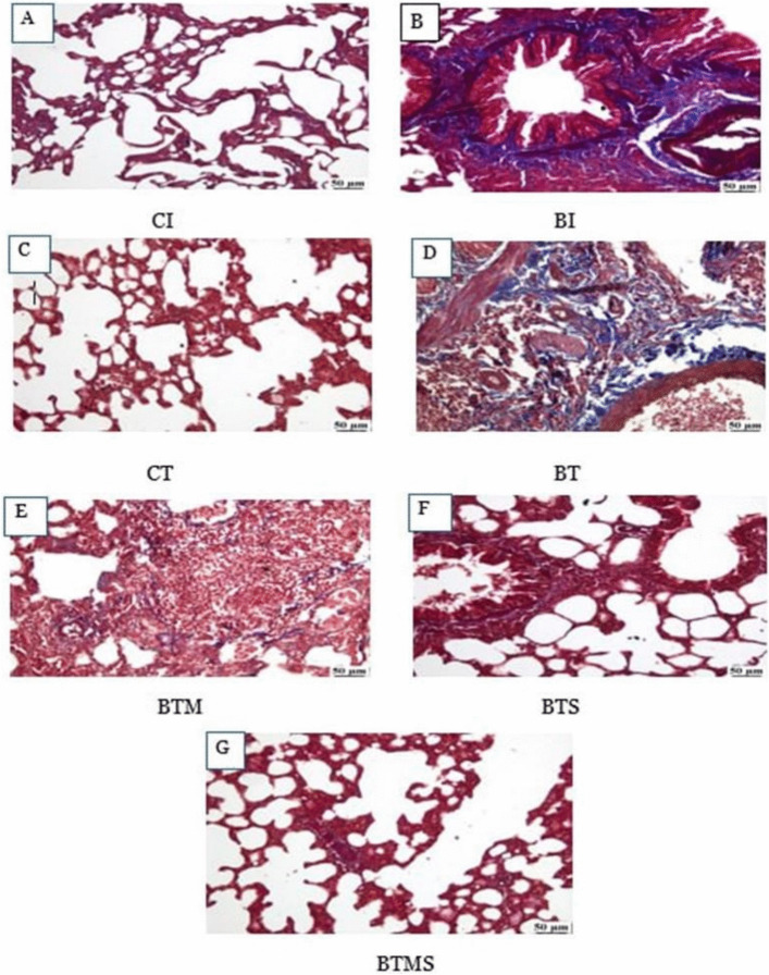
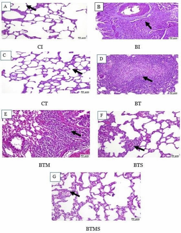
Idiopathic pulmonary fibrosis (IPF) is a progressive and severe lung disease characterized by the buildup of interstitial fibrosis, where excessive collagen accumulates, leading to airway obstruction. This condition is initiated by the abnormal proliferation of alveolar type II (AT2) cells. Metformin, an established antidiabetic drug, has gained attention for its repurposed use as an anti-fibrotic agent. Meanwhile, adipose-derived mesenchymal stem cells (ADMSCs) exhibit potent anti-inflammatory and regenerative properties, and they have been shown to reduce collagen deposition. In this study, we hypothesize that the combination of metformin and ADMSCs can synergistically alleviate IPF and promote healthy lung tissue regeneration in a rat model. The goal is to evaluate the safety and efficacy of this approach at multiple levels; biochemical, molecular, histopathological, and histochemical. To induce IPF, Wistar albino rats received a single intratracheal dose of bleomycin (5 mg/kg body weight). The therapeutic phase involved treatment with either metformin or ADMSCs or a combination of both. Metformin was administered intraperitoneally (65 mg/kg body weight) every other day, while ADMSCs were delivered intravenously (1 × 10⁶ cells/0.5 ml DMEM/rat) through the tail vein. Our results demonstrated the effectiveness of combinational therapy, especially in mitigating oxidative stress. This was evidenced by the restoration of oxidative stress biomarkers, malondialdehyde (MDA), and catalase (CAT), as well as the regulation of collagenase type IV (MMP9), bovine serum albumin (BSA), and total protein levels in lung tissues. Moreover, the therapy modulated the expression of key inflammatory and fibrotic genes, including the pro-fibrotic marker TGF-β1, proinflammatory cytokine IL-6, and anti-inflammatory cytokine IL-10. Histopathological and histochemical analyses further supported the therapeutic benefits, showing significant recovery from bleomycin-induced fibrosis in rats treated with either the single or combined therapy. The findings suggest that this combinational approach could be a promising strategy for IPF treatment by simultaneously reducing inflammation, oxidative stress, and fibrosis while promoting tissue regeneration.

Graphical Abstract

Abstract Image

Abstract Image

Abstract Image

间充质干细胞联合二甲双胍治疗博莱霉素诱导的特发性肺纤维化大鼠模型。
特发性肺纤维化(IPF)是一种进行性和严重的肺部疾病,其特征是间质纤维化积聚,其中过多的胶原蛋白积聚,导致气道阻塞。这种情况是由肺泡II型(AT2)细胞的异常增殖引起的。二甲双胍是一种公认的抗糖尿病药物,由于其作为抗纤维化药物的重新用途而引起了人们的注意。同时,脂肪源性间充质干细胞(ADMSCs)表现出强大的抗炎和再生特性,它们已被证明可以减少胶原沉积。在本研究中,我们假设在大鼠模型中,二甲双胍和ADMSCs联合使用可以协同缓解IPF并促进健康肺组织再生。目的是在多个层面上评估这种方法的安全性和有效性;生化、分子、组织病理学和组织化学。为了诱导IPF, Wistar白化大鼠接受单次气管内剂量的博来霉素(5mg /kg体重)。治疗阶段包括二甲双胍或ADMSCs或两者联合治疗。每隔一天腹腔注射二甲双胍(65 mg/kg体重),尾静脉注射ADMSCs (1 × 10⁶细胞/0.5 ml DMEM/大鼠)。我们的结果证明了联合治疗的有效性,特别是在减轻氧化应激方面。氧化应激生物标志物丙二醛(MDA)和过氧化氢酶(CAT)的恢复以及肺组织中胶原酶IV型(MMP9)、牛血清白蛋白(BSA)和总蛋白水平的调节证明了这一点。此外,该疗法还调节了关键的炎症和纤维化基因的表达,包括促纤维化标志物TGF-β1、促炎细胞因子IL-6和抗炎细胞因子IL-10。组织病理学和组织化学分析进一步支持治疗益处,显示单药或联合治疗的大鼠从博莱霉素诱导的纤维化中显著恢复。研究结果表明,通过同时减少炎症、氧化应激和纤维化,同时促进组织再生,这种组合方法可能是一种很有前途的IPF治疗策略。
本文章由计算机程序翻译,如有差异,请以英文原文为准。
求助全文
约1分钟内获得全文 求助全文
来源期刊
Applied Biochemistry and Biotechnology
Applied Biochemistry and Biotechnology 工程技术-生化与分子生物学
CiteScore
5.70
自引率
6.70%
发文量
460
审稿时长
5.3 months
期刊介绍: This journal is devoted to publishing the highest quality innovative papers in the fields of biochemistry and biotechnology. The typical focus of the journal is to report applications of novel scientific and technological breakthroughs, as well as technological subjects that are still in the proof-of-concept stage. Applied Biochemistry and Biotechnology provides a forum for case studies and practical concepts of biotechnology, utilization, including controls, statistical data analysis, problem descriptions unique to a particular application, and bioprocess economic analyses. The journal publishes reviews deemed of interest to readers, as well as book reviews, meeting and symposia notices, and news items relating to biotechnology in both the industrial and academic communities. In addition, Applied Biochemistry and Biotechnology often publishes lists of patents and publications of special interest to readers.
×
引用
GB/T 7714-2015
复制
MLA
复制
APA
复制
导出至
BibTeX EndNote RefMan NoteFirst NoteExpress
×
提示
您的信息不完整,为了账户安全,请先补充。
现在去补充
×
提示
您因"违规操作"
具体请查看互助需知
我知道了
×
提示
确定
请完成安全验证×
copy
已复制链接
快去分享给好友吧!
我知道了
右上角分享
点击右上角分享
0
联系我们:info@booksci.cn Book学术提供免费学术资源搜索服务,方便国内外学者检索中英文文献。致力于提供最便捷和优质的服务体验。 Copyright © 2023 布克学术 All rights reserved.
京ICP备2023020795号-1
ghs 京公网安备 11010802042870号
Book学术文献互助
Book学术文献互助群
群 号:604180095
Book学术官方微信