Mixed epithelial and stromal tumor of the seminal vesicles: report of a rare case with diagnostic, therapeutic, and prognostic insights.

IF 2.3 3区 医学 Q2 PATHOLOGY
Faisal Saeed, Adeboye O Osunkoya
{"title":"Mixed epithelial and stromal tumor of the seminal vesicles: report of a rare case with diagnostic, therapeutic, and prognostic insights.","authors":"Faisal Saeed, Adeboye O Osunkoya","doi":"10.1186/s13000-025-01647-w","DOIUrl":null,"url":null,"abstract":"<p><strong>Background: </strong>Mixed epithelial and stromal tumors (MESTs) of the seminal vesicle are exceptionally rare neoplasms composed of both epithelial and stromal elements, posing significant diagnostic challenges due to their rarity and overlapping characteristics with other pelvic neoplasms.</p><p><strong>Case presentation: </strong>We describe a 45-year-old patient with chronic pelvic pain and obstructive urinary symptoms. Imaging revealed a large cystic and solid mass involving his seminal vesicles, with significant mass effect on adjacent structures. Differential diagnoses included seminal vesicle adenocarcinoma and sarcoma. Complete surgical resection and subsequent histopathological analysis confirmed a low-grade seminal vesicle MEST with biphasic epithelial and stromal components, lacking atypia or notable mitotic activity. Immunohistochemical analysis revealed stromal positivity for estrogen receptor (ER), progesterone receptor (PR), smooth muscle actin, desmin, and CD34, and epithelial positivity for PAX8, PAX2, CK7, and MUC-6, supporting the diagnosis. The patient remains disease-free 32 months post-surgery.</p><p><strong>Conclusion: </strong>Seminal vesicle MESTs are rare and histologically diverse tumors, with pathogenesis likely hormonally influenced given ER and PR expression. Diagnosis requires a multidisciplinary approach, including imaging, histopathology, and immunohistochemistry. Surgical excision is the preferred treatment, offering an excellent prognosis for low-grade cases. This case emphasizes the importance of detailed documentation to improve understanding and management of these rare tumors, and its prognosis.</p>","PeriodicalId":11237,"journal":{"name":"Diagnostic Pathology","volume":"20 1","pages":"75"},"PeriodicalIF":2.3000,"publicationDate":"2025-06-20","publicationTypes":"Journal Article","fieldsOfStudy":null,"isOpenAccess":false,"openAccessPdf":"https://www.ncbi.nlm.nih.gov/pmc/articles/PMC12181829/pdf/","citationCount":"0","resultStr":null,"platform":"Semanticscholar","paperid":null,"PeriodicalName":"Diagnostic Pathology","FirstCategoryId":"3","ListUrlMain":"https://doi.org/10.1186/s13000-025-01647-w","RegionNum":3,"RegionCategory":"医学","ArticlePicture":[],"TitleCN":null,"AbstractTextCN":null,"PMCID":null,"EPubDate":"","PubModel":"","JCR":"Q2","JCRName":"PATHOLOGY","Score":null,"Total":0}
引用次数: 0

Abstract

Background: Mixed epithelial and stromal tumors (MESTs) of the seminal vesicle are exceptionally rare neoplasms composed of both epithelial and stromal elements, posing significant diagnostic challenges due to their rarity and overlapping characteristics with other pelvic neoplasms.

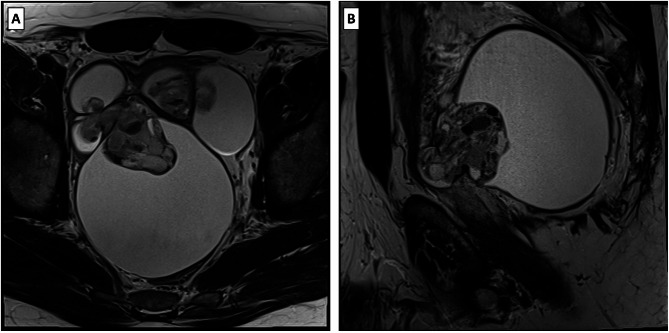
Case presentation: We describe a 45-year-old patient with chronic pelvic pain and obstructive urinary symptoms. Imaging revealed a large cystic and solid mass involving his seminal vesicles, with significant mass effect on adjacent structures. Differential diagnoses included seminal vesicle adenocarcinoma and sarcoma. Complete surgical resection and subsequent histopathological analysis confirmed a low-grade seminal vesicle MEST with biphasic epithelial and stromal components, lacking atypia or notable mitotic activity. Immunohistochemical analysis revealed stromal positivity for estrogen receptor (ER), progesterone receptor (PR), smooth muscle actin, desmin, and CD34, and epithelial positivity for PAX8, PAX2, CK7, and MUC-6, supporting the diagnosis. The patient remains disease-free 32 months post-surgery.

Conclusion: Seminal vesicle MESTs are rare and histologically diverse tumors, with pathogenesis likely hormonally influenced given ER and PR expression. Diagnosis requires a multidisciplinary approach, including imaging, histopathology, and immunohistochemistry. Surgical excision is the preferred treatment, offering an excellent prognosis for low-grade cases. This case emphasizes the importance of detailed documentation to improve understanding and management of these rare tumors, and its prognosis.

Abstract Image

Abstract Image

Abstract Image

精囊混合性上皮和间质肿瘤:罕见病例报告,诊断、治疗和预后见解。
背景:精囊混合性上皮和间质肿瘤(messts)是一种罕见的由上皮和间质成分组成的肿瘤,由于其罕见性和与其他盆腔肿瘤的重叠特征,给诊断带来了重大挑战。病例介绍:我们描述了一个45岁的慢性盆腔疼痛和泌尿梗阻性症状的病人。影像显示一巨大的囊性实性肿块累及精囊,并对邻近结构有明显的肿块影响。鉴别诊断包括精囊腺癌和肉瘤。完全手术切除和随后的组织病理学分析证实了低级别精囊MEST,具有双期上皮和间质成分,缺乏异型性或显著的有丝分裂活性。免疫组化分析显示基质中雌激素受体(ER)、孕激素受体(PR)、平滑肌肌动蛋白、desmin、CD34阳性,上皮中PAX8、PAX2、CK7、MUC-6阳性,支持诊断。患者术后32个月无病。结论:精囊MESTs是一种罕见且组织学多样的肿瘤,其发病机制可能受ER和PR表达的激素影响。诊断需要多学科的方法,包括影像学、组织病理学和免疫组织化学。手术切除是首选的治疗方法,对于低级别病例预后良好。这个病例强调了详细的文献记录对于提高对这些罕见肿瘤的认识和治疗及其预后的重要性。
本文章由计算机程序翻译,如有差异,请以英文原文为准。
求助全文
约1分钟内获得全文 求助全文
来源期刊
Diagnostic Pathology
Diagnostic Pathology 医学-病理学
CiteScore
4.60
自引率
0.00%
发文量
93
审稿时长
1 months
期刊介绍: Diagnostic Pathology is an open access, peer-reviewed, online journal that considers research in surgical and clinical pathology, immunology, and biology, with a special focus on cutting-edge approaches in diagnostic pathology and tissue-based therapy. The journal covers all aspects of surgical pathology, including classic diagnostic pathology, prognosis-related diagnosis (tumor stages, prognosis markers, such as MIB-percentage, hormone receptors, etc.), and therapy-related findings. The journal also focuses on the technological aspects of pathology, including molecular biology techniques, morphometry aspects (stereology, DNA analysis, syntactic structure analysis), communication aspects (telecommunication, virtual microscopy, virtual pathology institutions, etc.), and electronic education and quality assurance (for example interactive publication, on-line references with automated updating, etc.).
×
引用
GB/T 7714-2015
复制
MLA
复制
APA
复制
导出至
BibTeX EndNote RefMan NoteFirst NoteExpress
×
提示
您的信息不完整,为了账户安全,请先补充。
现在去补充
×
提示
您因"违规操作"
具体请查看互助需知
我知道了
×
提示
确定
请完成安全验证×
copy
已复制链接
快去分享给好友吧!
我知道了
右上角分享
点击右上角分享
0
联系我们:info@booksci.cn Book学术提供免费学术资源搜索服务,方便国内外学者检索中英文文献。致力于提供最便捷和优质的服务体验。 Copyright © 2023 布克学术 All rights reserved.
京ICP备2023020795号-1
ghs 京公网安备 11010802042870号
Book学术文献互助
Book学术文献互助群
群 号:604180095
Book学术官方微信