Is programmed death-ligand 1 positivity a predictor of poor survival in patients with different histological subtypes of pancreatic cancer?

IF 3.1 4区 医学 Q2 PATHOLOGY
Cytojournal Pub Date : 2025-05-06 eCollection Date: 2025-01-01 DOI:10.25259/Cytojournal_2_2025
Ceren Canbey, Sena Şen, Senem Karabulut, Tevhide Bilgen Özcan, Esra Paşaoğlu, Eren Altun, Taha Yusuf Kuzan, Fikret Ezberci
{"title":"Is programmed death-ligand 1 positivity a predictor of poor survival in patients with different histological subtypes of pancreatic cancer?","authors":"Ceren Canbey, Sena Şen, Senem Karabulut, Tevhide Bilgen Özcan, Esra Paşaoğlu, Eren Altun, Taha Yusuf Kuzan, Fikret Ezberci","doi":"10.25259/Cytojournal_2_2025","DOIUrl":null,"url":null,"abstract":"<p><strong>Objective: </strong>Pancreatic cancer is the cancer type with the highest mortality rate worldwide, and despite advances in treatment, molecular biomarkers are needed for both early diagnosis for developing targeted therapies and improving survival rates in this challenging malignancy. In our study, the contributions of programmed death-ligand 1 (PD-L1) expression to the determination of pancreatic cancer subtypes and patient prognosis and its impact on survival were investigated.</p><p><strong>Material and methods: </strong>Paraffin-embedded tissues from 92 patients diagnosed with pancreatic cancer were included in this study. Tumor-infiltrating lymphocytes (TILs) and lymphocytes in the stromal area within the tumor borders were scored as stromal TILs; lymphocytes in tumor islands were scored as intratumoral TILs. Staining in each area was scored as a percentage, and staining with a score of 5 or more in tumor and immune cells for PD-L1 was scored as positive.</p><p><strong>Results: </strong>After staining, a score of 5 or more with tPD-L1 staining was used to identify one patient as having micropapillary adenocarcinoma, three patients as having ductal adenocarcinoma, and four patients as having signet ring cell carcinoma. When the clinical parameters and outcomes were compared, a statistically significant difference was found between the histopathologic type of signet ring cell carcinoma and poor differentiation and positivity of PD-L1 expression (<i>P</i> < 0.05). Survival was significantly influenced by tumor location, histopathological subtype, degree of differentiation, PD-L1 expression, and tumor size, with tumor size being the most critical factor (<i>P</i> < 0.05).</p><p><strong>Conclusion: </strong>Our findings suggest that PD-L1 positivity is notably prevalent in signet ring cell carcinoma of the pancreas and is strongly associated with poor survival outcomes. Given these results, further studies with larger patient cohorts are warranted to validate these observations and explore potential therapeutic implications.</p>","PeriodicalId":49082,"journal":{"name":"Cytojournal","volume":"22 ","pages":"47"},"PeriodicalIF":3.1000,"publicationDate":"2025-05-06","publicationTypes":"Journal Article","fieldsOfStudy":null,"isOpenAccess":false,"openAccessPdf":"https://www.ncbi.nlm.nih.gov/pmc/articles/PMC12178086/pdf/","citationCount":"0","resultStr":null,"platform":"Semanticscholar","paperid":null,"PeriodicalName":"Cytojournal","FirstCategoryId":"3","ListUrlMain":"https://doi.org/10.25259/Cytojournal_2_2025","RegionNum":4,"RegionCategory":"医学","ArticlePicture":[],"TitleCN":null,"AbstractTextCN":null,"PMCID":null,"EPubDate":"2025/1/1 0:00:00","PubModel":"eCollection","JCR":"Q2","JCRName":"PATHOLOGY","Score":null,"Total":0}
引用次数: 0

Abstract

Objective: Pancreatic cancer is the cancer type with the highest mortality rate worldwide, and despite advances in treatment, molecular biomarkers are needed for both early diagnosis for developing targeted therapies and improving survival rates in this challenging malignancy. In our study, the contributions of programmed death-ligand 1 (PD-L1) expression to the determination of pancreatic cancer subtypes and patient prognosis and its impact on survival were investigated.

Material and methods: Paraffin-embedded tissues from 92 patients diagnosed with pancreatic cancer were included in this study. Tumor-infiltrating lymphocytes (TILs) and lymphocytes in the stromal area within the tumor borders were scored as stromal TILs; lymphocytes in tumor islands were scored as intratumoral TILs. Staining in each area was scored as a percentage, and staining with a score of 5 or more in tumor and immune cells for PD-L1 was scored as positive.

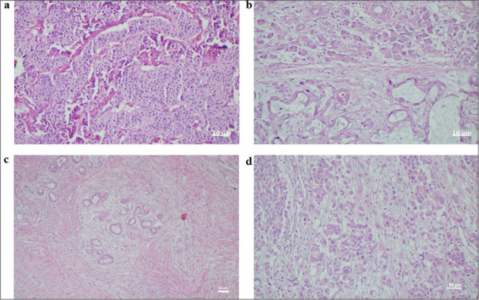
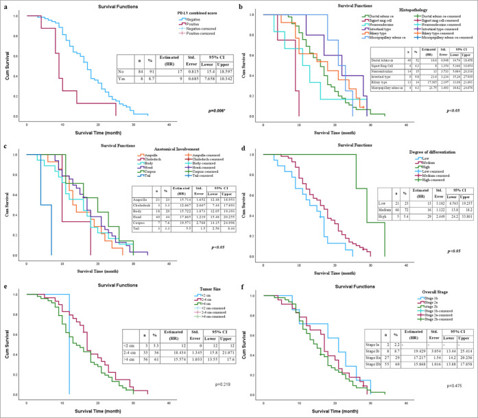
Results: After staining, a score of 5 or more with tPD-L1 staining was used to identify one patient as having micropapillary adenocarcinoma, three patients as having ductal adenocarcinoma, and four patients as having signet ring cell carcinoma. When the clinical parameters and outcomes were compared, a statistically significant difference was found between the histopathologic type of signet ring cell carcinoma and poor differentiation and positivity of PD-L1 expression (P < 0.05). Survival was significantly influenced by tumor location, histopathological subtype, degree of differentiation, PD-L1 expression, and tumor size, with tumor size being the most critical factor (P < 0.05).

Conclusion: Our findings suggest that PD-L1 positivity is notably prevalent in signet ring cell carcinoma of the pancreas and is strongly associated with poor survival outcomes. Given these results, further studies with larger patient cohorts are warranted to validate these observations and explore potential therapeutic implications.

Abstract Image

Abstract Image

Abstract Image

程序性死亡配体1阳性是不同组织学亚型胰腺癌患者生存不良的预测因子吗?
目的:胰腺癌是全球死亡率最高的癌症类型,尽管治疗取得了进展,但在这种具有挑战性的恶性肿瘤中,需要分子生物标志物来进行早期诊断,以开发靶向治疗和提高生存率。在我们的研究中,我们探讨了程序性死亡配体1 (PD-L1)表达对胰腺癌亚型和患者预后的影响及其对生存的影响。材料与方法:选取92例确诊胰腺癌的石蜡包埋组织作为研究对象。将肿瘤浸润淋巴细胞(tumor -浸润淋巴细胞,til)和肿瘤边界间质区淋巴细胞评分为间质til;瘤岛淋巴细胞评分为瘤内til。每个区域的染色以百分比评分,肿瘤和免疫细胞中PD-L1染色评分为5分或以上为阳性。结果:染色后,tPD-L1染色5分及以上判定1例为微乳头状腺癌,3例为导管腺癌,4例为印戒细胞癌。比较临床参数及转归,印戒细胞癌的组织病理类型与分化差、PD-L1表达阳性比较,差异有统计学意义(P < 0.05)。肿瘤部位、组织病理亚型、分化程度、PD-L1表达、肿瘤大小对生存率有显著影响,其中肿瘤大小是影响生存率的最关键因素(P < 0.05)。结论:我们的研究结果表明,PD-L1阳性在胰腺印戒细胞癌中非常普遍,并且与较差的生存结果密切相关。鉴于这些结果,有必要进一步研究更大的患者队列来验证这些观察结果并探索潜在的治疗意义。
本文章由计算机程序翻译,如有差异,请以英文原文为准。
求助全文
约1分钟内获得全文 求助全文
来源期刊
Cytojournal
Cytojournal PATHOLOGY-
CiteScore
2.20
自引率
42.10%
发文量
56
审稿时长
>12 weeks
期刊介绍: The CytoJournal is an open-access peer-reviewed journal committed to publishing high-quality articles in the field of Diagnostic Cytopathology including Molecular aspects. The journal is owned by the Cytopathology Foundation and published by the Scientific Scholar.
×
引用
GB/T 7714-2015
复制
MLA
复制
APA
复制
导出至
BibTeX EndNote RefMan NoteFirst NoteExpress
×
提示
您的信息不完整,为了账户安全,请先补充。
现在去补充
×
提示
您因"违规操作"
具体请查看互助需知
我知道了
×
提示
确定
请完成安全验证×
copy
已复制链接
快去分享给好友吧!
我知道了
右上角分享
点击右上角分享
0
联系我们:info@booksci.cn Book学术提供免费学术资源搜索服务,方便国内外学者检索中英文文献。致力于提供最便捷和优质的服务体验。 Copyright © 2023 布克学术 All rights reserved.
京ICP备2023020795号-1
ghs 京公网安备 11010802042870号
Book学术文献互助
Book学术文献互助群
群 号:604180095
Book学术官方微信