Palisaded Encapsulated (Solitary Circumscribed) Neuroma Affecting the Lip Aesthetics: Case Report and Literature Review.

IF 0.9 Q4 DENTISTRY, ORAL SURGERY & MEDICINE
Case Reports in Dentistry Pub Date : 2025-06-12 eCollection Date: 2025-01-01 DOI:10.1155/crid/9705734
Kaique Alberto Preto, Gabriela Lopes-Santos, Cléverson Teixeira Soares, Ana Paula Moura Martins Delazari, Denise Tostes Oliveira
{"title":"Palisaded Encapsulated (Solitary Circumscribed) Neuroma Affecting the Lip Aesthetics: Case Report and Literature Review.","authors":"Kaique Alberto Preto, Gabriela Lopes-Santos, Cléverson Teixeira Soares, Ana Paula Moura Martins Delazari, Denise Tostes Oliveira","doi":"10.1155/crid/9705734","DOIUrl":null,"url":null,"abstract":"<p><p>Palisaded encapsulated (solitary circumscribed) neuroma (PEN) is a benign nerve sheath tumor, considered a reactive rather than a neoplastic lesion, predominantly found in the head and neck skin and oral mucosa. In the lip regions, less than 20 cases of PEN have been reported, and the differential diagnosis is a challenge. We present a 40-year-old male with a long-standing asymptomatic nodule on the lower lip, causing significant aesthetic discomfort, and a literature review of this tumor in the lips. After surgical excision, the histopathological analysis associated with immunohistochemical markers was essential for establishing the PEN diagnosis in the lower lip. Although rare, the PEN in the lip region can cause significant patient aesthetic discomfort, and histopathological analysis is crucial to distinguish this benign neural tumor from other long-standing lesions in the vermillion of the lips.</p>","PeriodicalId":46841,"journal":{"name":"Case Reports in Dentistry","volume":"2025 ","pages":"9705734"},"PeriodicalIF":0.9000,"publicationDate":"2025-06-12","publicationTypes":"Journal Article","fieldsOfStudy":null,"isOpenAccess":false,"openAccessPdf":"https://www.ncbi.nlm.nih.gov/pmc/articles/PMC12178730/pdf/","citationCount":"0","resultStr":null,"platform":"Semanticscholar","paperid":null,"PeriodicalName":"Case Reports in Dentistry","FirstCategoryId":"1085","ListUrlMain":"https://doi.org/10.1155/crid/9705734","RegionNum":0,"RegionCategory":null,"ArticlePicture":[],"TitleCN":null,"AbstractTextCN":null,"PMCID":null,"EPubDate":"2025/1/1 0:00:00","PubModel":"eCollection","JCR":"Q4","JCRName":"DENTISTRY, ORAL SURGERY & MEDICINE","Score":null,"Total":0}
引用次数: 0

Abstract

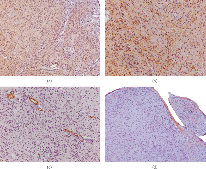
Palisaded encapsulated (solitary circumscribed) neuroma (PEN) is a benign nerve sheath tumor, considered a reactive rather than a neoplastic lesion, predominantly found in the head and neck skin and oral mucosa. In the lip regions, less than 20 cases of PEN have been reported, and the differential diagnosis is a challenge. We present a 40-year-old male with a long-standing asymptomatic nodule on the lower lip, causing significant aesthetic discomfort, and a literature review of this tumor in the lips. After surgical excision, the histopathological analysis associated with immunohistochemical markers was essential for establishing the PEN diagnosis in the lower lip. Although rare, the PEN in the lip region can cause significant patient aesthetic discomfort, and histopathological analysis is crucial to distinguish this benign neural tumor from other long-standing lesions in the vermillion of the lips.

Abstract Image

Abstract Image

影响唇部美观的栅栏状(孤立的)神经瘤:病例报告及文献复习。
栅栏性包裹性(孤立边界)神经瘤(PEN)是一种良性神经鞘肿瘤,被认为是反应性而非肿瘤性病变,主要见于头颈部皮肤和口腔黏膜。在唇区,不到20例PEN已被报道,鉴别诊断是一个挑战。我们提出了一个40岁的男性长期无症状结节下唇,造成显著的审美不适,并在唇肿瘤的文献回顾。手术切除后,与免疫组织化学标志物相关的组织病理学分析对于建立下唇PEN诊断至关重要。虽然罕见,但唇区PEN可引起患者明显的审美不适,组织病理学分析对于将这种良性神经肿瘤与唇朱红色的其他长期病变区分开来至关重要。
本文章由计算机程序翻译,如有差异,请以英文原文为准。
求助全文
约1分钟内获得全文 求助全文
来源期刊
Case Reports in Dentistry
Case Reports in Dentistry DENTISTRY, ORAL SURGERY & MEDICINE-
CiteScore
1.40
自引率
12.50%
发文量
107
审稿时长
14 weeks
期刊介绍: Case Reports in Dentistry is a peer-reviewed, Open Access journal that publishes case reports and case series in all areas of dentistry, including periodontal diseases, dental implants, oral pathology, as well as oral and maxillofacial surgery.
×
引用
GB/T 7714-2015
复制
MLA
复制
APA
复制
导出至
BibTeX EndNote RefMan NoteFirst NoteExpress
×
提示
您的信息不完整,为了账户安全,请先补充。
现在去补充
×
提示
您因"违规操作"
具体请查看互助需知
我知道了
×
提示
确定
请完成安全验证×
copy
已复制链接
快去分享给好友吧!
我知道了
右上角分享
点击右上角分享
0
联系我们:info@booksci.cn Book学术提供免费学术资源搜索服务,方便国内外学者检索中英文文献。致力于提供最便捷和优质的服务体验。 Copyright © 2023 布克学术 All rights reserved.
京ICP备2023020795号-1
ghs 京公网安备 11010802042870号
Book学术文献互助
Book学术文献互助群
群 号:604180095
Book学术官方微信