Mammary Paget's Disease of the Nipple: A Case Report.

IF 0.7 Q4 ONCOLOGY
Case Reports in Oncology Pub Date : 2025-05-26 eCollection Date: 2025-01-01 DOI:10.1159/000546289
Loubna Slama, Hafsa Taheri, Nadir Miry, Amal Bennani, Zainab Chatbi, Ibtissam Bellajdel, Hanane Saadi, Ahmed Mimouni
{"title":"Mammary Paget's Disease of the Nipple: A Case Report.","authors":"Loubna Slama, Hafsa Taheri, Nadir Miry, Amal Bennani, Zainab Chatbi, Ibtissam Bellajdel, Hanane Saadi, Ahmed Mimouni","doi":"10.1159/000546289","DOIUrl":null,"url":null,"abstract":"<p><strong>Introduction: </strong>Tumors of the nipple-areolar complex are relatively uncommon, and Paget's disease is an uncommon presentation involving epidermal invasion of the nipple by a carcinoma in situ. Mammary Paget's disease (MPD) presents a diagnostic challenge, especially in the absence of a palpable breast mass, which often leads to delayed diagnosis and treatment.</p><p><strong>Case report: </strong>We present the case of a 64-year-old woman with persistent skin erosion of the left nipple that was unresponsive to multiple topical treatments. Diagnostic evaluation, including mammography and MRI, revealed no invasive malignancy. Nipple biopsy confirmed MPD with underlying in situ ductal carcinoma. The patient underwent lumpectomy with removal of the nipple-areolar complex, followed by radiotherapy, resulting in a favorable outcome.</p><p><strong>Discussion: </strong>Diagnosis of MPD can be challenging because of its resemblance to benign dermatological conditions. Imaging, particularly mammography and MRI, is essential for assessing the underlying malignancy and surgical planning. Treatment typically involves surgical excision, with breast-conserving therapy considered for localized disease. Early detection significantly improves the prognosis, particularly in the absence of invasive cancer.</p><p><strong>Conclusion: </strong>MPD should be considered in patients with persistent eczematous nipple lesions resistant to topical treatments. Early diagnosis and appropriate surgical management are crucial to achieve favorable outcomes.</p>","PeriodicalId":9625,"journal":{"name":"Case Reports in Oncology","volume":"18 1","pages":"780-785"},"PeriodicalIF":0.7000,"publicationDate":"2025-05-26","publicationTypes":"Journal Article","fieldsOfStudy":null,"isOpenAccess":false,"openAccessPdf":"https://www.ncbi.nlm.nih.gov/pmc/articles/PMC12178597/pdf/","citationCount":"0","resultStr":null,"platform":"Semanticscholar","paperid":null,"PeriodicalName":"Case Reports in Oncology","FirstCategoryId":"1085","ListUrlMain":"https://doi.org/10.1159/000546289","RegionNum":0,"RegionCategory":null,"ArticlePicture":[],"TitleCN":null,"AbstractTextCN":null,"PMCID":null,"EPubDate":"2025/1/1 0:00:00","PubModel":"eCollection","JCR":"Q4","JCRName":"ONCOLOGY","Score":null,"Total":0}
引用次数: 0

Abstract

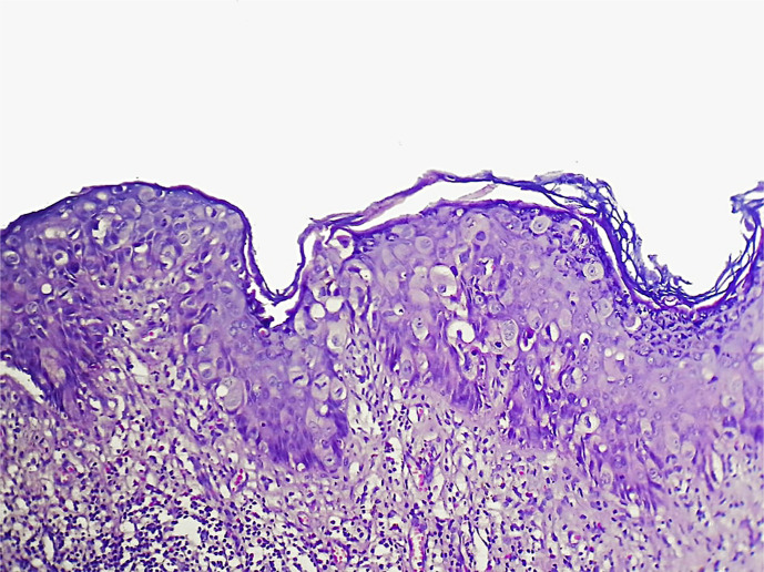
Introduction: Tumors of the nipple-areolar complex are relatively uncommon, and Paget's disease is an uncommon presentation involving epidermal invasion of the nipple by a carcinoma in situ. Mammary Paget's disease (MPD) presents a diagnostic challenge, especially in the absence of a palpable breast mass, which often leads to delayed diagnosis and treatment.

Case report: We present the case of a 64-year-old woman with persistent skin erosion of the left nipple that was unresponsive to multiple topical treatments. Diagnostic evaluation, including mammography and MRI, revealed no invasive malignancy. Nipple biopsy confirmed MPD with underlying in situ ductal carcinoma. The patient underwent lumpectomy with removal of the nipple-areolar complex, followed by radiotherapy, resulting in a favorable outcome.

Discussion: Diagnosis of MPD can be challenging because of its resemblance to benign dermatological conditions. Imaging, particularly mammography and MRI, is essential for assessing the underlying malignancy and surgical planning. Treatment typically involves surgical excision, with breast-conserving therapy considered for localized disease. Early detection significantly improves the prognosis, particularly in the absence of invasive cancer.

Conclusion: MPD should be considered in patients with persistent eczematous nipple lesions resistant to topical treatments. Early diagnosis and appropriate surgical management are crucial to achieve favorable outcomes.

Abstract Image

Abstract Image

Abstract Image

乳头乳腺佩吉特病1例报告
简介:乳头-乳晕复合物的肿瘤相对罕见,Paget病是一种罕见的表现,涉及原位癌对乳头表皮的侵犯。乳腺佩吉特病(MPD)提出了一个诊断挑战,特别是在没有可触及的乳房肿块,这往往导致延迟诊断和治疗。病例报告:我们提出的情况下,64岁的妇女持续皮肤糜烂的左乳头,是无反应的多次局部治疗。诊断评估,包括乳房x线摄影和MRI,显示无侵袭性恶性肿瘤。乳头活检证实MPD伴有潜在的原位导管癌。患者接受乳房肿瘤切除术并切除乳头-乳晕复合体,随后进行放疗,结果良好。讨论:MPD的诊断可能具有挑战性,因为它与良性皮肤病相似。影像学,特别是乳房x光检查和MRI,对于评估潜在的恶性肿瘤和手术计划是必不可少的。治疗通常包括手术切除,局部疾病考虑保乳治疗。早期发现可显著改善预后,特别是在没有浸润性癌症的情况下。结论:局部治疗无效的持续性乳头湿疹患者应考虑MPD。早期诊断和适当的手术处理是获得良好结果的关键。
本文章由计算机程序翻译,如有差异,请以英文原文为准。
求助全文
约1分钟内获得全文 求助全文
来源期刊
CiteScore
1.40
自引率
12.50%
发文量
151
审稿时长
7 weeks
×
引用
GB/T 7714-2015
复制
MLA
复制
APA
复制
导出至
BibTeX EndNote RefMan NoteFirst NoteExpress
×
提示
您的信息不完整,为了账户安全,请先补充。
现在去补充
×
提示
您因"违规操作"
具体请查看互助需知
我知道了
×
提示
确定
请完成安全验证×
copy
已复制链接
快去分享给好友吧!
我知道了
右上角分享
点击右上角分享
0
联系我们:info@booksci.cn Book学术提供免费学术资源搜索服务,方便国内外学者检索中英文文献。致力于提供最便捷和优质的服务体验。 Copyright © 2023 布克学术 All rights reserved.
京ICP备2023020795号-1
ghs 京公网安备 11010802042870号
Book学术文献互助
Book学术文献互助群
群 号:604180095
Book学术官方微信