Efficacy of therapeutic baths with Piper callosum essential oil against monogeneans of Colossoma macropomum: hematological and histopathological assessments.

IF 1.2 4区 农林科学 Q2 Veterinary
Revista Brasileira De Parasitologia Veterinaria Pub Date : 2025-06-13 eCollection Date: 2025-01-01 DOI:10.1590/S1984-29612025031
Carliane Maria Guimarães Alves, Raimundo Rosemiro Jesus Baia, Paulo Venicius Nascimento Santos, Amanda Mendes Pacheco, Marcela Nunes Videira, Francisco Célio Maia Chaves, Eliane Tie Oba Yoshioka, Marcos Tavares-Dias
{"title":"Efficacy of therapeutic baths with Piper callosum essential oil against monogeneans of Colossoma macropomum: hematological and histopathological assessments.","authors":"Carliane Maria Guimarães Alves, Raimundo Rosemiro Jesus Baia, Paulo Venicius Nascimento Santos, Amanda Mendes Pacheco, Marcela Nunes Videira, Francisco Célio Maia Chaves, Eliane Tie Oba Yoshioka, Marcos Tavares-Dias","doi":"10.1590/S1984-29612025031","DOIUrl":null,"url":null,"abstract":"<p><p>As chemotherapeutants used in control and treatment of monogeniosis can cause environmental damage and risks to human health, there is need of compounds alternatives effective and safe to this parasitosis. Essential oils are herbal compounds with good degradability in nature and effectiveness, and resistance absence that can be alternatives to chemotherapeutants. This study aimed to report the first trial on the effects of therapeutic baths with Piper callosum essential oil anti-monogeneans in fish. Colossoma macropomum (tambaqui) were subjected to six baths with 100 mg/L of P. callosum essential oil, each lasting 20 minutes per day (short duration), with 24-hour intervals between baths. Therapeutic baths demonstrated efficacy of 83.6% against monogeneans of tambaqui. Fish submitted to therapeutic baths had reduction statistically significant in the plasma levels of total proteins, similar to the control group exposed to water from culture tank + 70% alcohol. The toxicity of P. callosum essential oil was low as there were no significant blood or histopathological changes that compromised gill function in the treated fish. Due to high efficacy of 100 mg/L of P. callosum essential oil in controlling monogenean infestations, six short therapeutic baths on alternate days may be recommended as anti-monogeneans strategy for tambaqui.</p>","PeriodicalId":48990,"journal":{"name":"Revista Brasileira De Parasitologia Veterinaria","volume":"34 3","pages":"e002625"},"PeriodicalIF":1.2000,"publicationDate":"2025-06-13","publicationTypes":"Journal Article","fieldsOfStudy":null,"isOpenAccess":false,"openAccessPdf":"https://www.ncbi.nlm.nih.gov/pmc/articles/PMC12164321/pdf/","citationCount":"0","resultStr":null,"platform":"Semanticscholar","paperid":null,"PeriodicalName":"Revista Brasileira De Parasitologia Veterinaria","FirstCategoryId":"97","ListUrlMain":"https://doi.org/10.1590/S1984-29612025031","RegionNum":4,"RegionCategory":"农林科学","ArticlePicture":[],"TitleCN":null,"AbstractTextCN":null,"PMCID":null,"EPubDate":"2025/1/1 0:00:00","PubModel":"eCollection","JCR":"Q2","JCRName":"Veterinary","Score":null,"Total":0}
引用次数: 0

Abstract

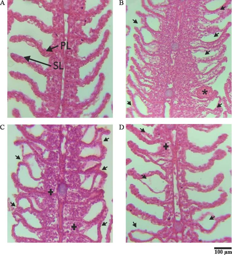
As chemotherapeutants used in control and treatment of monogeniosis can cause environmental damage and risks to human health, there is need of compounds alternatives effective and safe to this parasitosis. Essential oils are herbal compounds with good degradability in nature and effectiveness, and resistance absence that can be alternatives to chemotherapeutants. This study aimed to report the first trial on the effects of therapeutic baths with Piper callosum essential oil anti-monogeneans in fish. Colossoma macropomum (tambaqui) were subjected to six baths with 100 mg/L of P. callosum essential oil, each lasting 20 minutes per day (short duration), with 24-hour intervals between baths. Therapeutic baths demonstrated efficacy of 83.6% against monogeneans of tambaqui. Fish submitted to therapeutic baths had reduction statistically significant in the plasma levels of total proteins, similar to the control group exposed to water from culture tank + 70% alcohol. The toxicity of P. callosum essential oil was low as there were no significant blood or histopathological changes that compromised gill function in the treated fish. Due to high efficacy of 100 mg/L of P. callosum essential oil in controlling monogenean infestations, six short therapeutic baths on alternate days may be recommended as anti-monogeneans strategy for tambaqui.

Abstract Image

花椒精油治疗浴对巨像单系虫的疗效:血液学和组织病理学评估。
由于用于控制和治疗单孢子虫病的化疗药物会造成环境破坏和对人类健康的风险,因此需要有效和安全的化合物替代品。精油是一种草药化合物,具有良好的可降解性和有效性,并且没有耐药性,可以作为化疗药物的替代品。本研究首次报道了花椒精油治疗浴对鱼类抗单基因虫的作用。对巨像(tambaqui)进行6次浸泡,每次浸泡时间为每天20分钟(短时间),每次浸泡时间间隔为24小时。治疗浴对单基因坦巴基病的有效率为83.6%。接受治疗浴的鱼的血浆总蛋白水平有统计学意义上的降低,与对照组暴露于培养池+ 70%酒精的水相似。胼胝体精油的毒性很低,因为处理后的鱼没有明显的血液或组织病理学变化,损害了鳃功能。由于100 mg/L花心草精油对单基因虫的防治效果较好,建议采用6次短时间治疗浴,隔日进行治疗。
本文章由计算机程序翻译,如有差异,请以英文原文为准。
求助全文
约1分钟内获得全文 求助全文
来源期刊
Revista Brasileira De Parasitologia Veterinaria
Revista Brasileira De Parasitologia Veterinaria PARASITOLOGY-VETERINARY SCIENCES
CiteScore
2.60
自引率
7.70%
发文量
90
审稿时长
>12 weeks
期刊介绍: La revista es un órgano de difusión del Colegio Brasileño de Parasitología Veterinaria, con una especificidad dentro de esa área, la difusión de los resultados de la investigación brasileña en las áreas de Helmintología, Protozoología, Entomología y agentes transmitidos por artrópodos, relacionados con la salud animal.
×
引用
GB/T 7714-2015
复制
MLA
复制
APA
复制
导出至
BibTeX EndNote RefMan NoteFirst NoteExpress
×
提示
您的信息不完整,为了账户安全,请先补充。
现在去补充
×
提示
您因"违规操作"
具体请查看互助需知
我知道了
×
提示
确定
请完成安全验证×
copy
已复制链接
快去分享给好友吧!
我知道了
右上角分享
点击右上角分享
0
联系我们:info@booksci.cn Book学术提供免费学术资源搜索服务,方便国内外学者检索中英文文献。致力于提供最便捷和优质的服务体验。 Copyright © 2023 布克学术 All rights reserved.
京ICP备2023020795号-1
ghs 京公网安备 11010802042870号
Book学术文献互助
Book学术文献互助群
群 号:604180095
Book学术官方微信