Presentation of extramedullary myeloma manifestations on B-mode (B-US) and contrast-enhanced ultrasound (CEUS).

IF 1.5 Q3 RADIOLOGY, NUCLEAR MEDICINE & MEDICAL IMAGING
Journal of Ultrasonography Pub Date : 2025-05-08 eCollection Date: 2025-04-01 DOI:10.15557/jou.2025.0015
Corinna Trenker, Christian Görg, Andreas Burchert, Christina C Westhoff, Ehsan Safai Zadeh, Christoph F Dietrich, Hajo Findeisen, Christoph Mann
{"title":"Presentation of extramedullary myeloma manifestations on B-mode (B-US) and contrast-enhanced ultrasound (CEUS).","authors":"Corinna Trenker, Christian Görg, Andreas Burchert, Christina C Westhoff, Ehsan Safai Zadeh, Christoph F Dietrich, Hajo Findeisen, Christoph Mann","doi":"10.15557/jou.2025.0015","DOIUrl":null,"url":null,"abstract":"<p><strong>Aim: </strong>In patients with multiple myeloma, extramedullary myeloma manifestations can occur alongside bone marrow infiltration and osseous involvement. The aim of this study was to describe extramedullary myeloma manifestations using B-mode ultrasound and contrast-enhanced ultrasound.</p><p><strong>Material and methods: </strong>Between February 2006 and 2021, a total of 21 patients with multiple myeloma and histologically or clinically proven extramedullary myeloma manifestations (<i>n</i> = 24) were included. All patients underwent B-mode ultrasound and contrast-enhanced ultrasound of extramedullary myeloma manifestations. B-mode ultrasound patterns of location, size border characteristics, and echogenicity (hypoechoic/isoechoic or hyperechoic) as well as contrast-enhanced ultrasound enhancement (hyper-, iso-, or hypoenhancement) were analyzed.</p><p><strong>Results: </strong>In most cases, extramedullary myeloma manifestations were located in the chest wall (<i>n</i> = 11; 45.8%). In all 24 cases, extramedullary myeloma manifestations were hypoechoic on B-mode ultrasound. <i>N</i> = 16 (66.6%) of extramedullary myeloma manifestations had smooth and <i>n</i> = 8 (33.3%) had irregular borders. The mean lesion size was 5.4 cm. On contrast-enhanced ultrasound, extramedullary myeloma manifestations presented arterial hyper- (<i>n</i> = 20; 83.3%) or isoenhancement (<i>n</i> = 4; 16.7%) followed by parenchymal iso- (<i>n</i> = 1; 4.2%) or hypoenhancement (<i>n</i> = 23; 95.8%). In molecular genetic analysis, every patient with reliable FISH results tested positive for at least one aberration considered \"high-risk\".</p><p><strong>Conclusion: </strong>Extramedullary myeloma manifestations were typically hypoechoic on B-mode ultrasound. On contrast-enhanced ultrasound, they presented characteristic arterial hyperenhancement followed by parenchymal washout. All patients studied for the genetic risk status were found to be \"high-risk\".</p>","PeriodicalId":45612,"journal":{"name":"Journal of Ultrasonography","volume":"25 101","pages":"20250015"},"PeriodicalIF":1.5000,"publicationDate":"2025-05-08","publicationTypes":"Journal Article","fieldsOfStudy":null,"isOpenAccess":false,"openAccessPdf":"https://www.ncbi.nlm.nih.gov/pmc/articles/PMC12175145/pdf/","citationCount":"0","resultStr":null,"platform":"Semanticscholar","paperid":null,"PeriodicalName":"Journal of Ultrasonography","FirstCategoryId":"1085","ListUrlMain":"https://doi.org/10.15557/jou.2025.0015","RegionNum":0,"RegionCategory":null,"ArticlePicture":[],"TitleCN":null,"AbstractTextCN":null,"PMCID":null,"EPubDate":"2025/4/1 0:00:00","PubModel":"eCollection","JCR":"Q3","JCRName":"RADIOLOGY, NUCLEAR MEDICINE & MEDICAL IMAGING","Score":null,"Total":0}
引用次数: 0

Abstract

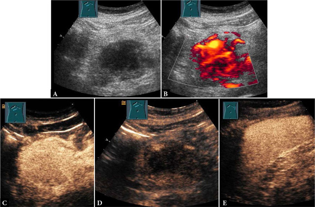
Aim: In patients with multiple myeloma, extramedullary myeloma manifestations can occur alongside bone marrow infiltration and osseous involvement. The aim of this study was to describe extramedullary myeloma manifestations using B-mode ultrasound and contrast-enhanced ultrasound.

Material and methods: Between February 2006 and 2021, a total of 21 patients with multiple myeloma and histologically or clinically proven extramedullary myeloma manifestations (n = 24) were included. All patients underwent B-mode ultrasound and contrast-enhanced ultrasound of extramedullary myeloma manifestations. B-mode ultrasound patterns of location, size border characteristics, and echogenicity (hypoechoic/isoechoic or hyperechoic) as well as contrast-enhanced ultrasound enhancement (hyper-, iso-, or hypoenhancement) were analyzed.

Results: In most cases, extramedullary myeloma manifestations were located in the chest wall (n = 11; 45.8%). In all 24 cases, extramedullary myeloma manifestations were hypoechoic on B-mode ultrasound. N = 16 (66.6%) of extramedullary myeloma manifestations had smooth and n = 8 (33.3%) had irregular borders. The mean lesion size was 5.4 cm. On contrast-enhanced ultrasound, extramedullary myeloma manifestations presented arterial hyper- (n = 20; 83.3%) or isoenhancement (n = 4; 16.7%) followed by parenchymal iso- (n = 1; 4.2%) or hypoenhancement (n = 23; 95.8%). In molecular genetic analysis, every patient with reliable FISH results tested positive for at least one aberration considered "high-risk".

Conclusion: Extramedullary myeloma manifestations were typically hypoechoic on B-mode ultrasound. On contrast-enhanced ultrasound, they presented characteristic arterial hyperenhancement followed by parenchymal washout. All patients studied for the genetic risk status were found to be "high-risk".

Abstract Image

Abstract Image

Abstract Image

髓外骨髓瘤在b超和增强超声上的表现。
目的:在多发性骨髓瘤患者中,髓外骨髓瘤的表现可伴随骨髓浸润和骨骼受累。本研究的目的是用b超和增强超声描述髓外骨髓瘤的表现。材料和方法:2006年2月至2021年,共纳入21例多发性骨髓瘤患者,组织学或临床证实有髓外骨髓瘤表现(n = 24)。所有患者均行b超和增强超声检查髓外骨髓瘤的表现。分析了b超的位置、大小、边界特征、回声强度(低回声/等回声或高回声)以及超声增强(超、等回声或低增强)。结果:多数病例髓外骨髓瘤表现位于胸壁(n = 11;45.8%)。24例髓外骨髓瘤均表现为b超低回声。髓外骨髓瘤表现光滑16例(66.6%),边界不规则8例(33.3%)。平均病灶大小为5.4 cm。超声造影显示髓外骨髓瘤表现为动脉高- (n = 20;83.3%)或等增强(n = 4;16.7%),其次是实质异位(n = 1;4.2%)或低增强(n = 23;95.8%)。在分子遗传学分析中,每个具有可靠FISH结果的患者至少有一种被认为是“高风险”的畸变呈阳性。结论:髓外骨髓瘤的b超表现为典型的低回声。在超声造影上,他们表现出特征性的动脉高强化,然后是实质冲洗。所有研究遗传风险状态的患者均为“高风险”。
本文章由计算机程序翻译,如有差异,请以英文原文为准。
求助全文
约1分钟内获得全文 求助全文
来源期刊
Journal of Ultrasonography
Journal of Ultrasonography RADIOLOGY, NUCLEAR MEDICINE & MEDICAL IMAGING-
CiteScore
2.30
自引率
0.00%
发文量
58
审稿时长
20 weeks
×
引用
GB/T 7714-2015
复制
MLA
复制
APA
复制
导出至
BibTeX EndNote RefMan NoteFirst NoteExpress
×
提示
您的信息不完整,为了账户安全,请先补充。
现在去补充
×
提示
您因"违规操作"
具体请查看互助需知
我知道了
×
提示
确定
请完成安全验证×
copy
已复制链接
快去分享给好友吧!
我知道了
右上角分享
点击右上角分享
0
联系我们:info@booksci.cn Book学术提供免费学术资源搜索服务,方便国内外学者检索中英文文献。致力于提供最便捷和优质的服务体验。 Copyright © 2023 布克学术 All rights reserved.
京ICP备2023020795号-1
ghs 京公网安备 11010802042870号
Book学术文献互助
Book学术文献互助群
群 号:604180095
Book学术官方微信