Ataxia telangiectasia in a Bahraini child treated with intensive physiotherapy: A case report.

IF 1 Q4 REHABILITATION
Hong Kong Physiotherapy Journal Pub Date : 2025-06-01 Epub Date: 2025-01-27 DOI:10.1142/S1013702525710015
Fatima Razzaqi, Aysha Albastaki, Israa Sinan
{"title":"Ataxia telangiectasia in a Bahraini child treated with intensive physiotherapy: A case report.","authors":"Fatima Razzaqi, Aysha Albastaki, Israa Sinan","doi":"10.1142/S1013702525710015","DOIUrl":null,"url":null,"abstract":"<p><p>Ataxia telangiectasia (AT) is a rare neurodegenerative condition with a prevalence of 1 in 40,000 to 1 in 300,000 worldwide. It involves a genetic mutation of chromosome 11q.26. The condition is inherited in an autosomal recessive manner causing atrophy of the cerebellum due to loss of Purkinje fibres. AT presents early in childhood and the clinical features depend on the type of mutation. The study is a case report of a rare genetic disorder of a 9-year-old female who came to the physiotherapy clinic with a diagnosis of AT. The patient was presented with progressively worsening gait problems with frequent falls, with complete dependence on assistance and impaired balance and coordination. The treatment program was 12 months divided into an intense physiotherapy program for two months followed by 10 months of two times per week of physiotherapy sessions. The program was divided into four elements which are: (1) Lifestyle changes, (2) Strengthening exercises, (3) Coordination exercises, and (4) Balance training exercises. The result showed a positive outcome in increasing the patient's independence, increased muscle strength, reduced ataxia symptoms intensity, and the patient can carry out complex activities with the help of accessory orthosis devices.</p>","PeriodicalId":44774,"journal":{"name":"Hong Kong Physiotherapy Journal","volume":"45 1","pages":"1-9"},"PeriodicalIF":1.0000,"publicationDate":"2025-06-01","publicationTypes":"Journal Article","fieldsOfStudy":null,"isOpenAccess":false,"openAccessPdf":"https://www.ncbi.nlm.nih.gov/pmc/articles/PMC12171773/pdf/","citationCount":"0","resultStr":null,"platform":"Semanticscholar","paperid":null,"PeriodicalName":"Hong Kong Physiotherapy Journal","FirstCategoryId":"1085","ListUrlMain":"https://doi.org/10.1142/S1013702525710015","RegionNum":0,"RegionCategory":null,"ArticlePicture":[],"TitleCN":null,"AbstractTextCN":null,"PMCID":null,"EPubDate":"2025/1/27 0:00:00","PubModel":"Epub","JCR":"Q4","JCRName":"REHABILITATION","Score":null,"Total":0}
引用次数: 0

Abstract

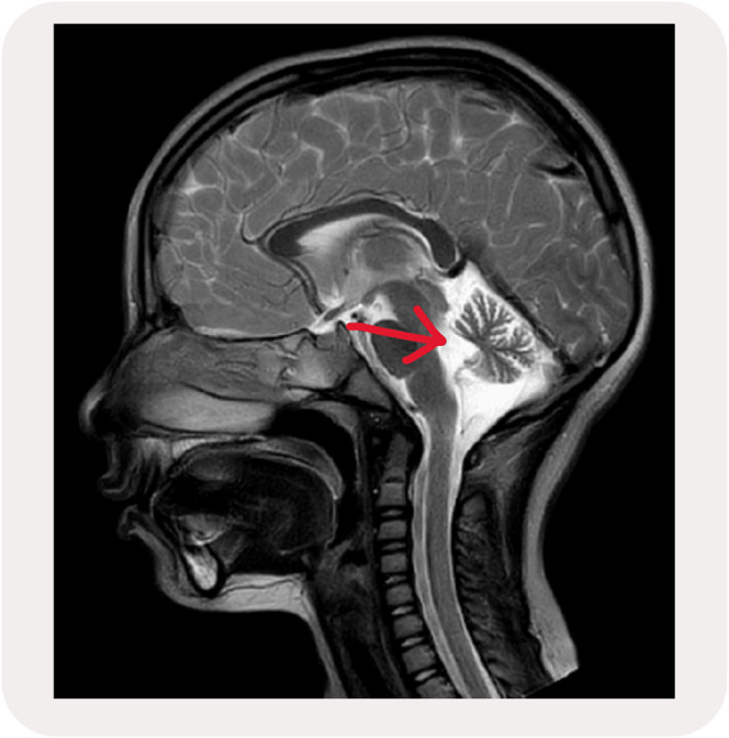
Ataxia telangiectasia (AT) is a rare neurodegenerative condition with a prevalence of 1 in 40,000 to 1 in 300,000 worldwide. It involves a genetic mutation of chromosome 11q.26. The condition is inherited in an autosomal recessive manner causing atrophy of the cerebellum due to loss of Purkinje fibres. AT presents early in childhood and the clinical features depend on the type of mutation. The study is a case report of a rare genetic disorder of a 9-year-old female who came to the physiotherapy clinic with a diagnosis of AT. The patient was presented with progressively worsening gait problems with frequent falls, with complete dependence on assistance and impaired balance and coordination. The treatment program was 12 months divided into an intense physiotherapy program for two months followed by 10 months of two times per week of physiotherapy sessions. The program was divided into four elements which are: (1) Lifestyle changes, (2) Strengthening exercises, (3) Coordination exercises, and (4) Balance training exercises. The result showed a positive outcome in increasing the patient's independence, increased muscle strength, reduced ataxia symptoms intensity, and the patient can carry out complex activities with the help of accessory orthosis devices.

Abstract Image

Abstract Image

Abstract Image

巴林儿童共济失调毛细血管扩张症接受强化物理治疗:1例报告。
共济失调毛细血管扩张症(AT)是一种罕见的神经退行性疾病,全球患病率为1 / 40,000至1 / 300,000。它涉及到11q.26染色体的基因突变。这种疾病以常染色体隐性遗传的方式遗传,由于浦肯野纤维的损失导致小脑萎缩。AT出现在儿童早期,临床特征取决于突变的类型。该研究是一个罕见的遗传疾病的病例报告,一个9岁的女孩来到物理治疗诊所诊断为AT。患者表现为步态问题逐渐恶化,经常跌倒,完全依赖辅助,平衡和协调受损。治疗计划为期12个月,分为两个月的高强度物理治疗计划,随后是10个月的每周两次物理治疗课程。该计划分为四个部分,分别是:(1)生活方式的改变,(2)加强练习,(3)协调练习,(4)平衡训练练习。结果显示,在增加患者的独立性,增加肌肉力量,减轻共济失调症状强度,患者可以在辅助矫形器的帮助下进行复杂的活动方面取得了积极的结果。
本文章由计算机程序翻译,如有差异,请以英文原文为准。
求助全文
约1分钟内获得全文 求助全文
来源期刊
CiteScore
2.30
自引率
6.70%
发文量
13
审稿时长
24 weeks
期刊介绍: The Hong Kong Physiotherapy Journal is the official journal of the Hong Kong Physiotherapy Association Limited (HKPA Ltd). This peer-reviewed journal aims to contribute to and document the advancements in the principles and practice of physiotherapy in Hong Kong.The Hong Kong Physiotherapy Journal is published annually and papers are categorized into research reports, treatment reports, technical reports, literature reviews, and letters to the editor.
×
引用
GB/T 7714-2015
复制
MLA
复制
APA
复制
导出至
BibTeX EndNote RefMan NoteFirst NoteExpress
×
提示
您的信息不完整,为了账户安全,请先补充。
现在去补充
×
提示
您因"违规操作"
具体请查看互助需知
我知道了
×
提示
确定
请完成安全验证×
copy
已复制链接
快去分享给好友吧!
我知道了
右上角分享
点击右上角分享
0
联系我们:info@booksci.cn Book学术提供免费学术资源搜索服务,方便国内外学者检索中英文文献。致力于提供最便捷和优质的服务体验。 Copyright © 2023 布克学术 All rights reserved.
京ICP备2023020795号-1
ghs 京公网安备 11010802042870号
Book学术文献互助
Book学术文献互助群
群 号:604180095
Book学术官方微信