Novel application of bone marrow mesenchymal stem cells combined with hepatocyte growth factor on subacute vocal fold wound healing.

IF 1.4 Q2 Medicine
World Journal of OtorhinolaryngologyHead and Neck Surgery Pub Date : 2024-09-16 eCollection Date: 2025-06-01 DOI:10.1002/wjo2.215
En-Hong Xu, Xin-Jun Meng, Tian-Yu Wang, Shun-Yu Wu, Huan-Hai Liu, Jun-Tian Lang
{"title":"Novel application of bone marrow mesenchymal stem cells combined with hepatocyte growth factor on subacute vocal fold wound healing.","authors":"En-Hong Xu, Xin-Jun Meng, Tian-Yu Wang, Shun-Yu Wu, Huan-Hai Liu, Jun-Tian Lang","doi":"10.1002/wjo2.215","DOIUrl":null,"url":null,"abstract":"<p><strong>Objectives: </strong>Vocal fold (VF) scar causes solemn vocal problems for patients with previous surgery or laryngeal injury. It is also a difficult management problem for clinicians since rare superior management methods are available at present. Previous research usually focuses on the acute period of VF wound repairing, with little attention on subacute period intervention. Bone marrow mesenchymal stem cells (BMMSCs) and hepatocyte growth factor (HGF) combinations that are applied to treat VF wounds are rarely reported. The current study investigated the effects of BMMSCs-HGF application on the regeneration of the VF mucosa during the subacute period.</p><p><strong>Methods: </strong>A bilateral wound was generated by forceps in the VF of each New Zealand White rabbit. BMMSCs are based on the acellular dermal matrix as cell carriers. Various compounds (BMMSCs-AMD complex with or without HGF) was injected into the wounded VF at 2- or 4-weeks following injury. Animals were killed at 60 days postinjection. Imaging of excised larynges was performed with the transmission electron microscope (TEM), and Immunohistochemical (IHC) analysis was also conducted.</p><p><strong>Results: </strong>Collectively, 18 rabbits accepted injury modeling, with two of them died before repairing intervention. IHC results indicated that type-I collagen was significantly devalued in the cluster injected with BMMSCs-HGF than simple application of BMMSCs. The results of TEM suggested that the BMMSCs-HGF injection can significantly reduce the collagen score.</p><p><strong>Conclusion: </strong>Our preliminary study suggests opening regenerative effects of intervention for VF subacute scaring, with BMMSCs-HGF.</p>","PeriodicalId":32097,"journal":{"name":"World Journal of OtorhinolaryngologyHead and Neck Surgery","volume":"11 2","pages":"264-275"},"PeriodicalIF":1.4000,"publicationDate":"2024-09-16","publicationTypes":"Journal Article","fieldsOfStudy":null,"isOpenAccess":false,"openAccessPdf":"https://www.ncbi.nlm.nih.gov/pmc/articles/PMC12172131/pdf/","citationCount":"0","resultStr":null,"platform":"Semanticscholar","paperid":null,"PeriodicalName":"World Journal of OtorhinolaryngologyHead and Neck Surgery","FirstCategoryId":"3","ListUrlMain":"https://doi.org/10.1002/wjo2.215","RegionNum":0,"RegionCategory":null,"ArticlePicture":[],"TitleCN":null,"AbstractTextCN":null,"PMCID":null,"EPubDate":"2025/6/1 0:00:00","PubModel":"eCollection","JCR":"Q2","JCRName":"Medicine","Score":null,"Total":0}
引用次数: 0

Abstract

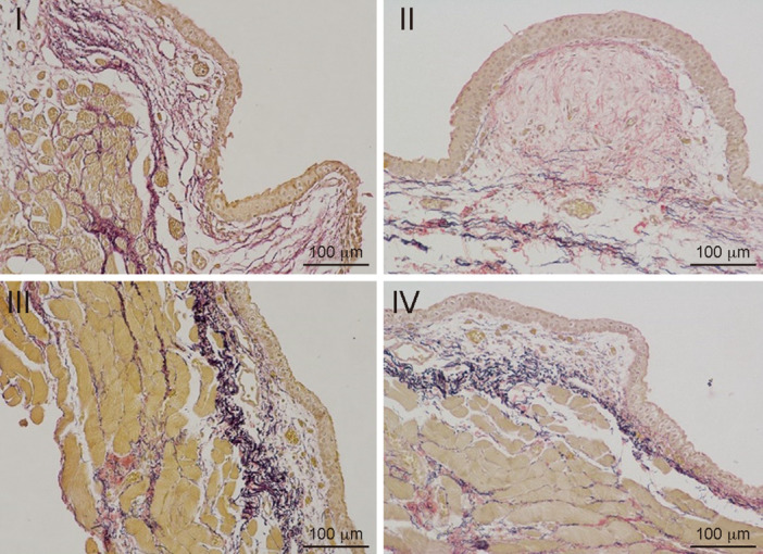
Objectives: Vocal fold (VF) scar causes solemn vocal problems for patients with previous surgery or laryngeal injury. It is also a difficult management problem for clinicians since rare superior management methods are available at present. Previous research usually focuses on the acute period of VF wound repairing, with little attention on subacute period intervention. Bone marrow mesenchymal stem cells (BMMSCs) and hepatocyte growth factor (HGF) combinations that are applied to treat VF wounds are rarely reported. The current study investigated the effects of BMMSCs-HGF application on the regeneration of the VF mucosa during the subacute period.

Methods: A bilateral wound was generated by forceps in the VF of each New Zealand White rabbit. BMMSCs are based on the acellular dermal matrix as cell carriers. Various compounds (BMMSCs-AMD complex with or without HGF) was injected into the wounded VF at 2- or 4-weeks following injury. Animals were killed at 60 days postinjection. Imaging of excised larynges was performed with the transmission electron microscope (TEM), and Immunohistochemical (IHC) analysis was also conducted.

Results: Collectively, 18 rabbits accepted injury modeling, with two of them died before repairing intervention. IHC results indicated that type-I collagen was significantly devalued in the cluster injected with BMMSCs-HGF than simple application of BMMSCs. The results of TEM suggested that the BMMSCs-HGF injection can significantly reduce the collagen score.

Conclusion: Our preliminary study suggests opening regenerative effects of intervention for VF subacute scaring, with BMMSCs-HGF.

Abstract Image

Abstract Image

Abstract Image

骨髓间充质干细胞联合肝细胞生长因子在亚急性声带伤口愈合中的新应用。
目的:声带(VF)瘢痕引起严重的声带问题的患者既往手术或喉损伤。由于目前缺乏较好的管理方法,这也是临床医生面临的一个管理难题。以往的研究多集中在VF创面的急性期修复,对亚急性期干预研究较少。骨髓间充质干细胞(BMMSCs)和肝细胞生长因子(HGF)联合用于治疗VF伤口的报道很少。本研究探讨了应用BMMSCs-HGF对亚急性期VF粘膜再生的影响。方法:用镊子在新西兰大白兔双侧VF处创面。BMMSCs是基于脱细胞真皮基质作为细胞载体。损伤后2周或4周,将各种化合物(含或不含HGF的BMMSCs-AMD复合物)注射到损伤的VF。注射后60天处死动物。采用透射电镜(TEM)和免疫组化(IHC)分析切除喉部。结果:18只兔接受损伤建模,其中2只在修复干预前死亡。免疫组化结果显示,与单纯应用BMMSCs相比,注射BMMSCs- hgf后,i型胶原蛋白的价值明显降低。透射电镜结果显示,BMMSCs-HGF注射液可显著降低胶原蛋白评分。结论:我们的初步研究表明,BMMSCs-HGF干预对VF亚急性瘢痕的开放再生作用。
本文章由计算机程序翻译,如有差异,请以英文原文为准。
求助全文
约1分钟内获得全文 求助全文
来源期刊
CiteScore
4.10
自引率
0.00%
发文量
283
审稿时长
13 weeks
×
引用
GB/T 7714-2015
复制
MLA
复制
APA
复制
导出至
BibTeX EndNote RefMan NoteFirst NoteExpress
×
提示
您的信息不完整,为了账户安全,请先补充。
现在去补充
×
提示
您因"违规操作"
具体请查看互助需知
我知道了
×
提示
确定
请完成安全验证×
copy
已复制链接
快去分享给好友吧!
我知道了
右上角分享
点击右上角分享
0
联系我们:info@booksci.cn Book学术提供免费学术资源搜索服务,方便国内外学者检索中英文文献。致力于提供最便捷和优质的服务体验。 Copyright © 2023 布克学术 All rights reserved.
京ICP备2023020795号-1
ghs 京公网安备 11010802042870号
Book学术文献互助
Book学术文献互助群
群 号:604180095
Book学术官方微信