Medial Sesamoidectomy as a Local Autograft Source in Revision or Complex First Metatarsophalangeal Joint Arthrodesis.

Foot & Ankle Orthopaedics Pub Date : 2025-06-16 eCollection Date: 2025-04-01 DOI:10.1177/24730114251343071
Aaron Tran, Brennan Enright, Rachel Reichenbach, Jordan Henderson, David Jaffe
{"title":"Medial Sesamoidectomy as a Local Autograft Source in Revision or Complex First Metatarsophalangeal Joint Arthrodesis.","authors":"Aaron Tran, Brennan Enright, Rachel Reichenbach, Jordan Henderson, David Jaffe","doi":"10.1177/24730114251343071","DOIUrl":null,"url":null,"abstract":"<p><strong>Background: </strong>Arthrodesis of the first metatarsophalangeal (MTP) joint is a well-established procedure with excellent outcomes for patients with forefoot disorders. Routine bone grafting is not typically required, but bone graft may be necessary in the setting of revision surgery. Because of potential harvesting morbidity and time associated with an extra incision, allograft bone is frequently used. In this study, we describe the outcomes of an approach to first MTP fusion with simultaneous medial sesamoidectomy for utilization as autograft.</p><p><strong>Methods: </strong>A retrospective review of all first MTP arthrodesis cases performed by one fellowship-trained foot and ankle surgeon were identified. Operative reports and radiographs were reviewed identifying patients who underwent simultaneous medial sesamoidectomy for autograft purposes. Indications for sesamoidectomy harvesting were noted. The primary outcome reviewed was fusion rate. Overall nonunion rates and patient outcomes were collected and compared between those undergoing sesamoidectomy for grafting and those undergoing standard procedure arthrodesis.</p><p><strong>Results: </strong>A total of 107 patients underwent first MTP arthrodesis. Of these, 24 underwent concurrent sesamoidectomy grafting with 9 requiring additional calcaneal grafting. Indications for the sesamoidectomy group included 5 primary cases of erosive hallux rigidus, 2 cases of hallux valgus, 6 nonunions, 3 failed Cartiva implants, 2 cases of avascular necrosis, 4 failed arthroplasties, and 2 conversion bunionectomy. All 24 patients in the sesamoidectomy group achieved successful union. For context, the broader cohort undergoing first MTP arthrodesis had a fusion rate of 92.1%. All patients in the sesamoidectomy group were satisfied with their surgical outcome.</p><p><strong>Conclusion: </strong>This study found highly successful fusion rates in a potentially higher risk population with the use of local autografting from the medial sesamoid. The medial sesamoid serves as a freely available, structurally supportive graft material for first MTP arthrodesis that can be readily harvested via the same incision, potentially reducing the need for additional graft sites. However, given the retrospective nature, single-surgeon cohort, and small sample size, further studies are warranted to confirm these findings and evaluate comparative outcomes.</p><p><strong>Level of evidence: </strong>Level III, retrospective comparative study.</p>","PeriodicalId":12429,"journal":{"name":"Foot & Ankle Orthopaedics","volume":"10 2","pages":"24730114251343071"},"PeriodicalIF":0.0000,"publicationDate":"2025-06-16","publicationTypes":"Journal Article","fieldsOfStudy":null,"isOpenAccess":false,"openAccessPdf":"https://www.ncbi.nlm.nih.gov/pmc/articles/PMC12174813/pdf/","citationCount":"0","resultStr":null,"platform":"Semanticscholar","paperid":null,"PeriodicalName":"Foot & Ankle Orthopaedics","FirstCategoryId":"1085","ListUrlMain":"https://doi.org/10.1177/24730114251343071","RegionNum":0,"RegionCategory":null,"ArticlePicture":[],"TitleCN":null,"AbstractTextCN":null,"PMCID":null,"EPubDate":"2025/4/1 0:00:00","PubModel":"eCollection","JCR":"","JCRName":"","Score":null,"Total":0}
引用次数: 0

Abstract

Background: Arthrodesis of the first metatarsophalangeal (MTP) joint is a well-established procedure with excellent outcomes for patients with forefoot disorders. Routine bone grafting is not typically required, but bone graft may be necessary in the setting of revision surgery. Because of potential harvesting morbidity and time associated with an extra incision, allograft bone is frequently used. In this study, we describe the outcomes of an approach to first MTP fusion with simultaneous medial sesamoidectomy for utilization as autograft.

Methods: A retrospective review of all first MTP arthrodesis cases performed by one fellowship-trained foot and ankle surgeon were identified. Operative reports and radiographs were reviewed identifying patients who underwent simultaneous medial sesamoidectomy for autograft purposes. Indications for sesamoidectomy harvesting were noted. The primary outcome reviewed was fusion rate. Overall nonunion rates and patient outcomes were collected and compared between those undergoing sesamoidectomy for grafting and those undergoing standard procedure arthrodesis.

Results: A total of 107 patients underwent first MTP arthrodesis. Of these, 24 underwent concurrent sesamoidectomy grafting with 9 requiring additional calcaneal grafting. Indications for the sesamoidectomy group included 5 primary cases of erosive hallux rigidus, 2 cases of hallux valgus, 6 nonunions, 3 failed Cartiva implants, 2 cases of avascular necrosis, 4 failed arthroplasties, and 2 conversion bunionectomy. All 24 patients in the sesamoidectomy group achieved successful union. For context, the broader cohort undergoing first MTP arthrodesis had a fusion rate of 92.1%. All patients in the sesamoidectomy group were satisfied with their surgical outcome.

Conclusion: This study found highly successful fusion rates in a potentially higher risk population with the use of local autografting from the medial sesamoid. The medial sesamoid serves as a freely available, structurally supportive graft material for first MTP arthrodesis that can be readily harvested via the same incision, potentially reducing the need for additional graft sites. However, given the retrospective nature, single-surgeon cohort, and small sample size, further studies are warranted to confirm these findings and evaluate comparative outcomes.

Level of evidence: Level III, retrospective comparative study.

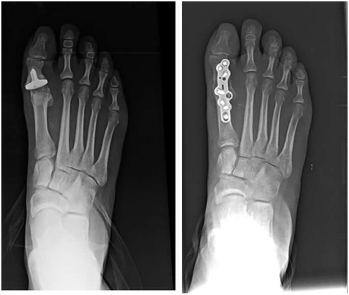
Abstract Image

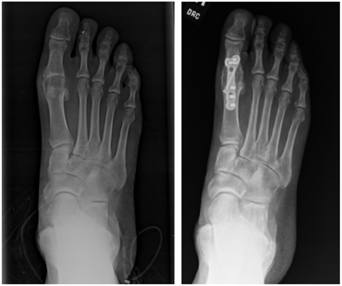
Abstract Image

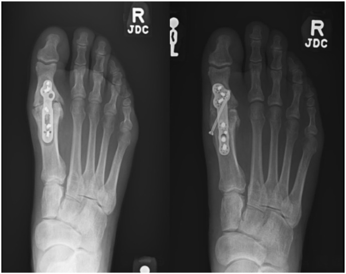
Abstract Image

内侧籽瘤切除术作为自体局部植骨源用于修复或复杂的第一跖趾关节融合术。
背景:第一跖趾(MTP)关节融合术是治疗前足疾病的一种成熟的手术方法,疗效良好。常规骨移植通常不需要,但在翻修手术中可能需要骨移植。由于潜在的并发症和额外的切口相关的时间,异体骨移植经常被使用。在这项研究中,我们描述了首次MTP融合同时内侧籽瘤切除术作为自体移植物的结果。方法:回顾性分析由一名训练有素的足部和踝关节外科医生进行的所有首次MTP关节融合术病例。我们回顾了手术报告和x线片,以确定为自体移植物目的而同时行内侧籽瘤切除术的患者。注意到籽瘤切除术的适应症。回顾的主要结果是融合率。收集并比较接受籽瘤切除术植骨和接受标准程序关节融合术的患者的总体不愈合率和患者结果。结果:107例患者首次行MTP关节融合术。其中24例同时行籽骨切除术,9例需要额外的跟骨移植。本组手术指征包括原发性糜烂性拇趾僵硬5例,拇外翻2例,骨不连6例,软骨植入失败3例,缺血性坏死2例,关节置换术失败4例,转换性拇囊炎切除术2例。籽瘤切除术组24例患者均成功愈合。作为背景,接受首次MTP关节融合术的更广泛队列的融合率为92.1%。本组患者均满意手术结果。结论:本研究发现,在潜在的高风险人群中,使用内侧籽骨局部自体植骨,融合率很高。内侧籽突是首次MTP关节融合术中可用的、结构上支持的移植物材料,可以通过相同的切口轻松切除,潜在地减少了对额外移植物位置的需求。然而,考虑到回顾性研究的性质、单一外科医生队列和小样本量,需要进一步的研究来证实这些发现并评估比较结果。证据等级:III级,回顾性比较研究。
本文章由计算机程序翻译,如有差异,请以英文原文为准。
求助全文
约1分钟内获得全文 求助全文
来源期刊
Foot & Ankle Orthopaedics
Foot & Ankle Orthopaedics Medicine-Orthopedics and Sports Medicine
CiteScore
1.20
自引率
0.00%
发文量
1152
×
引用
GB/T 7714-2015
复制
MLA
复制
APA
复制
导出至
BibTeX EndNote RefMan NoteFirst NoteExpress
×
提示
您的信息不完整,为了账户安全,请先补充。
现在去补充
×
提示
您因"违规操作"
具体请查看互助需知
我知道了
×
提示
确定
请完成安全验证×
copy
已复制链接
快去分享给好友吧!
我知道了
右上角分享
点击右上角分享
0
联系我们:info@booksci.cn Book学术提供免费学术资源搜索服务,方便国内外学者检索中英文文献。致力于提供最便捷和优质的服务体验。 Copyright © 2023 布克学术 All rights reserved.
京ICP备2023020795号-1
ghs 京公网安备 11010802042870号
Book学术文献互助
Book学术文献互助群
群 号:604180095
Book学术官方微信