Exclusively Macular Phenotype of Non-Syndromic MFSD8-Related Disease: A Case Report.

IF 0.6 Q4 OPHTHALMOLOGY
Case Reports in Ophthalmology Pub Date : 2025-05-20 eCollection Date: 2025-01-01 DOI:10.1159/000546220
Sean Ghiam, Ryan Zukerman, Morgan Brzozowski, Michelle Alabek, Richard Hagan, Avigail Beryozkin, José-Alain Sahel, Boris Rosin
{"title":"Exclusively Macular Phenotype of Non-Syndromic <i>MFSD8</i>-Related Disease: A Case Report.","authors":"Sean Ghiam, Ryan Zukerman, Morgan Brzozowski, Michelle Alabek, Richard Hagan, Avigail Beryozkin, José-Alain Sahel, Boris Rosin","doi":"10.1159/000546220","DOIUrl":null,"url":null,"abstract":"<p><strong>Introduction: </strong>The purpose of this report was to highlight the clinical phenotype and imaging findings in a patient with an exclusively macular phenotype of non-syndromic <i>MFSD8</i>-related disease and to provide clinical evidence for pathogenicity reclassification of a variant of uncertain significance <i>MFSD8</i> c.291G>C (p.Trp97Cys).</p><p><strong>Case presentation: </strong>A 47-year-old male with progressive vision loss exhibited symptoms indicative of maculopathy. These included decreased central vision, visual distortions, photophobia, poor depth perception, glare, impaired dark/light adaptation, difficulty reading, depressed multifocal ERG responses, and central ellipsoid dropout on SD-OCT. Evaluation included genetic testing, segregation analysis, and a complete ophthalmic examination, including slit-lamp exam, dilated fundus exam, FAF, SD-OCT, ERG, and Humphrey 24-2 visual fields. A 351 gene retinal dystrophy panel revealed two variants in <i>MFSD8</i>, including one pathogenic variant (c.1006G>C, p.Glu336Gln) and one likely pathogenic variant (c.291G>C, p.Trp97Cys), confirmed to be in trans via segregation testing.</p><p><strong>Conclusion: </strong>This case underscores the importance of genetic testing in confirming variant inheritance and describes the clinical phenotype associated with MFSD8 c.291G>C (p.Trp97Cys). The variant contributes to a pathological non-syndromic phenotype when in trans with a pathogenic variant. Given the syndromic variants of <i>MFSD8</i>, patients with this specific variant in the homozygous or compound heterozygous state should be closely monitored for clinical manifestations associated with this condition. Genetic counseling should be recommended for affected individuals and their close relatives to provide informed guidance regarding prognosis, reproductive risks, and available support resources.</p>","PeriodicalId":9635,"journal":{"name":"Case Reports in Ophthalmology","volume":"16 1","pages":"416-425"},"PeriodicalIF":0.6000,"publicationDate":"2025-05-20","publicationTypes":"Journal Article","fieldsOfStudy":null,"isOpenAccess":false,"openAccessPdf":"https://www.ncbi.nlm.nih.gov/pmc/articles/PMC12176367/pdf/","citationCount":"0","resultStr":null,"platform":"Semanticscholar","paperid":null,"PeriodicalName":"Case Reports in Ophthalmology","FirstCategoryId":"1085","ListUrlMain":"https://doi.org/10.1159/000546220","RegionNum":0,"RegionCategory":null,"ArticlePicture":[],"TitleCN":null,"AbstractTextCN":null,"PMCID":null,"EPubDate":"2025/1/1 0:00:00","PubModel":"eCollection","JCR":"Q4","JCRName":"OPHTHALMOLOGY","Score":null,"Total":0}
引用次数: 0

Abstract

Introduction: The purpose of this report was to highlight the clinical phenotype and imaging findings in a patient with an exclusively macular phenotype of non-syndromic MFSD8-related disease and to provide clinical evidence for pathogenicity reclassification of a variant of uncertain significance MFSD8 c.291G>C (p.Trp97Cys).

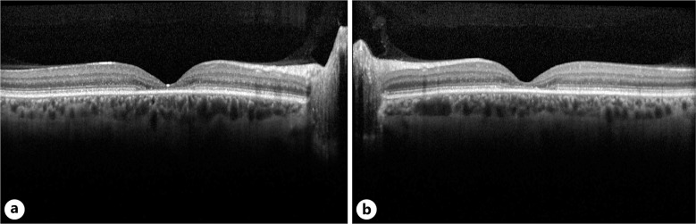
Case presentation: A 47-year-old male with progressive vision loss exhibited symptoms indicative of maculopathy. These included decreased central vision, visual distortions, photophobia, poor depth perception, glare, impaired dark/light adaptation, difficulty reading, depressed multifocal ERG responses, and central ellipsoid dropout on SD-OCT. Evaluation included genetic testing, segregation analysis, and a complete ophthalmic examination, including slit-lamp exam, dilated fundus exam, FAF, SD-OCT, ERG, and Humphrey 24-2 visual fields. A 351 gene retinal dystrophy panel revealed two variants in MFSD8, including one pathogenic variant (c.1006G>C, p.Glu336Gln) and one likely pathogenic variant (c.291G>C, p.Trp97Cys), confirmed to be in trans via segregation testing.

Conclusion: This case underscores the importance of genetic testing in confirming variant inheritance and describes the clinical phenotype associated with MFSD8 c.291G>C (p.Trp97Cys). The variant contributes to a pathological non-syndromic phenotype when in trans with a pathogenic variant. Given the syndromic variants of MFSD8, patients with this specific variant in the homozygous or compound heterozygous state should be closely monitored for clinical manifestations associated with this condition. Genetic counseling should be recommended for affected individuals and their close relatives to provide informed guidance regarding prognosis, reproductive risks, and available support resources.

Abstract Image

Abstract Image

Abstract Image

非综合征性mfsd8相关疾病的黄斑专属表型:1例报告
本报告的目的是强调非综合征性MFSD8相关疾病的黄斑专一表型患者的临床表型和影像学发现,并为不确定意义的MFSD8 C . 291g >C (p.Trp97Cys)的致病性重新分类提供临床证据。病例介绍:一位47岁男性进行性视力丧失,表现出黄斑病变的症状。这些症状包括中央视力下降、视觉扭曲、畏光、深度感知差、眩光、暗/光适应受损、阅读困难、多焦点ERG反应下降以及SD-OCT上的中央椭球消失。评估包括基因检测、分离分析和完整的眼科检查,包括裂隙灯检查、眼底扩张检查、FAF、SD-OCT、ERG和Humphrey 24-2视野。351基因视网膜营养不良面板显示MFSD8中有两个变异,包括一个致病变异(C . 1006g >C, p.Glu336Gln)和一个可能的致病变异(C . 291g >C, p.Trp97Cys),通过分离测试证实是反式的。结论:该病例强调了基因检测在确认变异遗传中的重要性,并描述了与MFSD8 C . 291g >C (p.Trp97Cys)相关的临床表型。当与致病性变异相结合时,该变异有助于形成病理性的非综合征表型。鉴于MFSD8的综合征变异,应密切监测纯合子或复合杂合子状态下该特异性变异的患者与该病症相关的临床表现。应建议对受影响的个人及其近亲进行遗传咨询,以提供有关预后、生殖风险和可用支持资源的知情指导。
本文章由计算机程序翻译,如有差异,请以英文原文为准。
求助全文
约1分钟内获得全文 求助全文
来源期刊
CiteScore
0.90
自引率
0.00%
发文量
129
审稿时长
12 weeks
期刊介绍: This peer-reviewed online-only journal publishes original case reports covering the entire spectrum of ophthalmology, including prevention, diagnosis, treatment, toxicities of therapy, supportive care, quality-of-life, and survivorship issues. The submission of negative results is strongly encouraged. The journal will also accept case reports dealing with the use of novel technologies, both in the arena of diagnosis and treatment. Supplementary material is welcomed. The intent of the journal is to provide clinicians and researchers with a tool to disseminate their personal experiences to a wider public as well as to review interesting cases encountered by colleagues all over the world. Universally used terms can be searched across the entire growing collection of case reports, further facilitating the retrieval of specific information. Following the open access principle, the entire contents can be retrieved at no charge, guaranteeing easy access to this valuable source of anecdotal information at all times.
×
引用
GB/T 7714-2015
复制
MLA
复制
APA
复制
导出至
BibTeX EndNote RefMan NoteFirst NoteExpress
×
提示
您的信息不完整,为了账户安全,请先补充。
现在去补充
×
提示
您因"违规操作"
具体请查看互助需知
我知道了
×
提示
确定
请完成安全验证×
copy
已复制链接
快去分享给好友吧!
我知道了
右上角分享
点击右上角分享
0
联系我们:info@booksci.cn Book学术提供免费学术资源搜索服务,方便国内外学者检索中英文文献。致力于提供最便捷和优质的服务体验。 Copyright © 2023 布克学术 All rights reserved.
京ICP备2023020795号-1
ghs 京公网安备 11010802042870号
Book学术文献互助
Book学术文献互助群
群 号:604180095
Book学术官方微信