A nomogram based on radiomic features from peri-prostatic adipose tissue for predicting bone metastasis in first-time diagnosed prostate cancer patients.

IF 3.1 4区 生物学 Q2 ENDOCRINOLOGY & METABOLISM
Adipocyte Pub Date : 2025-12-01 Epub Date: 2025-06-19 DOI:10.1080/21623945.2025.2517583
Bohao Liu, Qian Cai, Xiao Zhao, Huabin Su, Zhengxu Lin, Jialin Wu, Xiaoyang Li, Weian Zhu, Chen Zou, Yun Luo
{"title":"A nomogram based on radiomic features from peri-prostatic adipose tissue for predicting bone metastasis in first-time diagnosed prostate cancer patients.","authors":"Bohao Liu, Qian Cai, Xiao Zhao, Huabin Su, Zhengxu Lin, Jialin Wu, Xiaoyang Li, Weian Zhu, Chen Zou, Yun Luo","doi":"10.1080/21623945.2025.2517583","DOIUrl":null,"url":null,"abstract":"<p><strong>Purpose: </strong>To evaluate a radiomics-based nomogram using peri-prostatic adipose tissue (PPAT) features for predicting bone metastasis (BM) in newly diagnosed prostate cancer (PCa) patients.</p><p><strong>Methods: </strong>A retrospective study of 151 PCa patients (October 2010-November 2022) was conducted. Radiomic features were extracted from axial T2-weighted MRI of PPAT, and normalized PPAT was calculated as the ratio of PPAT volume to prostate volume. A radiomics score (Radscore) was developed using logistic regression with 16 features selected via LASSO regression. Independent predictors identified through univariate and multivariate logistic regression were used to construct a nomogram. Predictive performance was assessed using ROC curves, and internal validation involved 1000 bootstrapped iterations.</p><p><strong>Results: </strong>The Radscore, based on 16 features, showed significant association with BM and outperformed normalized PPAT in predictive value. Independent predictors of BM included Radscore, alkaline phosphatase (ALP), and clinical N stage (cN). A nomogram integrating these factors demonstrated strong discrimination (C-index: 0.908; 95% CI: 0.851-0.966) and calibration, with consistent results in validation (C-index: 0.903; 95% CI: 0.897-0.916). Decision curve analysis confirmed its clinical utility.</p><p><strong>Conclusions: </strong>Radscore, cN, and ALP were identified as independent BM predictors. The developed nomogram enables accurate risk stratification and personalized BM predictions for newly diagnosed PCa patients.</p>","PeriodicalId":7226,"journal":{"name":"Adipocyte","volume":"14 1","pages":"2517583"},"PeriodicalIF":3.1000,"publicationDate":"2025-12-01","publicationTypes":"Journal Article","fieldsOfStudy":null,"isOpenAccess":false,"openAccessPdf":"https://www.ncbi.nlm.nih.gov/pmc/articles/PMC12184149/pdf/","citationCount":"0","resultStr":null,"platform":"Semanticscholar","paperid":null,"PeriodicalName":"Adipocyte","FirstCategoryId":"99","ListUrlMain":"https://doi.org/10.1080/21623945.2025.2517583","RegionNum":4,"RegionCategory":"生物学","ArticlePicture":[],"TitleCN":null,"AbstractTextCN":null,"PMCID":null,"EPubDate":"2025/6/19 0:00:00","PubModel":"Epub","JCR":"Q2","JCRName":"ENDOCRINOLOGY & METABOLISM","Score":null,"Total":0}
引用次数: 0

Abstract

Purpose: To evaluate a radiomics-based nomogram using peri-prostatic adipose tissue (PPAT) features for predicting bone metastasis (BM) in newly diagnosed prostate cancer (PCa) patients.

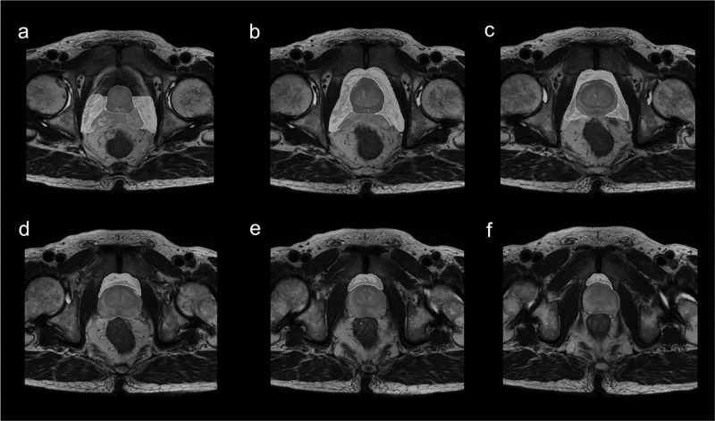
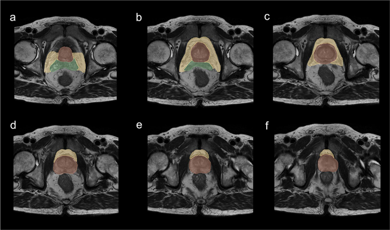
Methods: A retrospective study of 151 PCa patients (October 2010-November 2022) was conducted. Radiomic features were extracted from axial T2-weighted MRI of PPAT, and normalized PPAT was calculated as the ratio of PPAT volume to prostate volume. A radiomics score (Radscore) was developed using logistic regression with 16 features selected via LASSO regression. Independent predictors identified through univariate and multivariate logistic regression were used to construct a nomogram. Predictive performance was assessed using ROC curves, and internal validation involved 1000 bootstrapped iterations.

Results: The Radscore, based on 16 features, showed significant association with BM and outperformed normalized PPAT in predictive value. Independent predictors of BM included Radscore, alkaline phosphatase (ALP), and clinical N stage (cN). A nomogram integrating these factors demonstrated strong discrimination (C-index: 0.908; 95% CI: 0.851-0.966) and calibration, with consistent results in validation (C-index: 0.903; 95% CI: 0.897-0.916). Decision curve analysis confirmed its clinical utility.

Conclusions: Radscore, cN, and ALP were identified as independent BM predictors. The developed nomogram enables accurate risk stratification and personalized BM predictions for newly diagnosed PCa patients.

Abstract Image

Abstract Image

Abstract Image

基于前列腺周围脂肪组织放射学特征预测首次诊断前列腺癌患者骨转移的影像学研究。
目的:评价基于放射组学的前列腺周围脂肪组织(PPAT)特征放射组学成像对新诊断前列腺癌(PCa)患者骨转移(BM)的预测作用。方法:对151例PCa患者(2010年10月- 2022年11月)进行回顾性研究。从PPAT的轴向t2加权MRI中提取放射学特征,并计算归一化PPAT体积与前列腺体积之比。放射组学评分(Radscore)采用逻辑回归,通过LASSO回归选择16个特征。通过单变量和多变量逻辑回归确定的独立预测因子被用来构建一个正态图。使用ROC曲线评估预测性能,内部验证涉及1000次自举迭代。结果:基于16个特征的Radscore与BM有显著相关性,在预测值上优于标准化PPAT。BM的独立预测因子包括Radscore、碱性磷酸酶(ALP)和临床N分期(cN)。综合这些因素的nomogram显示出较强的判别性(C-index: 0.908;95% CI: 0.851-0.966)和校准,验证结果一致(C-index: 0.903;95% ci: 0.897-0.916)。决策曲线分析证实了其临床应用价值。结论:Radscore、cN和ALP被确定为独立的脑梗死预测因子。开发的nomogram能够对新诊断的PCa患者进行准确的风险分层和个性化的BM预测。
本文章由计算机程序翻译,如有差异,请以英文原文为准。
求助全文
约1分钟内获得全文 求助全文
来源期刊
Adipocyte
Adipocyte Medicine-Histology
CiteScore
6.50
自引率
3.00%
发文量
46
审稿时长
32 weeks
期刊介绍: Adipocyte recognizes that the adipose tissue is the largest endocrine organ in the body, and explores the link between dysfunctional adipose tissue and the growing number of chronic diseases including diabetes, hypertension, cardiovascular disease and cancer. Historically, the primary function of the adipose tissue was limited to energy storage and thermoregulation. However, a plethora of research over the past 3 decades has recognized the dynamic role of the adipose tissue and its contribution to a variety of physiological processes including reproduction, angiogenesis, apoptosis, inflammation, blood pressure, coagulation, fibrinolysis, immunity and general metabolic homeostasis. The field of Adipose Tissue research has grown tremendously, and Adipocyte is the first international peer-reviewed journal of its kind providing a multi-disciplinary forum for research focusing exclusively on all aspects of adipose tissue physiology and pathophysiology. Adipocyte accepts high-profile submissions in basic, translational and clinical research.
×
引用
GB/T 7714-2015
复制
MLA
复制
APA
复制
导出至
BibTeX EndNote RefMan NoteFirst NoteExpress
×
提示
您的信息不完整,为了账户安全,请先补充。
现在去补充
×
提示
您因"违规操作"
具体请查看互助需知
我知道了
×
提示
确定
请完成安全验证×
copy
已复制链接
快去分享给好友吧!
我知道了
右上角分享
点击右上角分享
0
联系我们:info@booksci.cn Book学术提供免费学术资源搜索服务,方便国内外学者检索中英文文献。致力于提供最便捷和优质的服务体验。 Copyright © 2023 布克学术 All rights reserved.
京ICP备2023020795号-1
ghs 京公网安备 11010802042870号
Book学术文献互助
Book学术文献互助群
群 号:604180095
Book学术官方微信