Impact of Deep Learning-Based Image Conversion on Fully Automated Coronary Artery Calcium Scoring Using Thin-Slice, Sharp-Kernel, Non-Gated, Low-Dose Chest CT Scans: A Multi-Center Study.

IF 5.3 2区 医学 Q1 RADIOLOGY, NUCLEAR MEDICINE & MEDICAL IMAGING
Korean Journal of Radiology Pub Date : 2025-08-01 Epub Date: 2025-06-13 DOI:10.3348/kjr.2025.0177
Cherry Kim, Sehyun Hong, Hangseok Choi, Won-Seok Yoo, Jin Young Kim, Suyon Chang, Chan Ho Park, Su Jin Hong, Dong Hyun Yang, Hwan Seok Yong, Marly van Assen, Carlo N De Cecco, Young Joo Suh
{"title":"Impact of Deep Learning-Based Image Conversion on Fully Automated Coronary Artery Calcium Scoring Using Thin-Slice, Sharp-Kernel, Non-Gated, Low-Dose Chest CT Scans: A Multi-Center Study.","authors":"Cherry Kim, Sehyun Hong, Hangseok Choi, Won-Seok Yoo, Jin Young Kim, Suyon Chang, Chan Ho Park, Su Jin Hong, Dong Hyun Yang, Hwan Seok Yong, Marly van Assen, Carlo N De Cecco, Young Joo Suh","doi":"10.3348/kjr.2025.0177","DOIUrl":null,"url":null,"abstract":"<p><strong>Objective: </strong>To evaluate the impact of deep learning-based image conversion on the accuracy of automated coronary artery calcium quantification using thin-slice, sharp-kernel, non-gated, low-dose chest computed tomography (LDCT) images collected from multiple institutions.</p><p><strong>Materials and methods: </strong>A total of 225 pairs of LDCT and calcium scoring CT (CSCT) images scanned at 120 kVp and acquired from the same patient within a 6-month interval were retrospectively collected from four institutions. Image conversion was performed for LDCT images using proprietary software programs to simulate conventional CSCT. This process included 1) deep learning-based kernel conversion of low-dose, high-frequency, sharp kernels to simulate standard-dose, low-frequency kernels, and 2) thickness conversion using the raysum method to convert 1-mm or 1.25-mm thickness images to 3-mm thickness. Automated Agaston scoring was conducted on the LDCT scans before (LDCT-Org<sub>auto</sub>) and after the image conversion (LDCT-CONV<sub>auto</sub>). Manual scoring was performed on the CSCT images (CSCT<sub>manual</sub>) and used as a reference standard. The accuracy of automated Agaston scores and risk severity categorization based on the automated scoring on LDCT scans was analyzed compared to the reference standard, using the Bland-Altman analysis, concordance correlation coefficient (CCC), and weighted kappa (κ) statistic.</p><p><strong>Results: </strong>LDCT-CONV<sub>auto</sub> demonstrated a reduced bias for Agaston score, compared with CSCT<sub>manual</sub>, than LDCT-Org<sub>auto</sub> did (-3.45 vs. 206.7). LDCT-CONV<sub>auto</sub> showed a higher CCC than LDCT-Org<sub>auto</sub> did (0.881 [95% confidence interval {CI}, 0.750-0.960] vs. 0.269 [95% CI, 0.129-0.430]). In terms of risk category assignment, LDCT-Org<sub>auto</sub> exhibited poor agreement with CSCT<sub>manual</sub> (weighted κ = 0.115 [95% CI, 0.082-0.154]), whereas LDCT-CONV<sub>auto</sub> achieved good agreement (weighted κ = 0.792 [95% CI, 0.731-0.847]).</p><p><strong>Conclusion: </strong>Deep learning-based conversion of LDCT images originally obtained with thin slices and a sharp kernel can enhance the accuracy of automated coronary artery calcium score measurement using the images.</p>","PeriodicalId":17881,"journal":{"name":"Korean Journal of Radiology","volume":" ","pages":"759-770"},"PeriodicalIF":5.3000,"publicationDate":"2025-08-01","publicationTypes":"Journal Article","fieldsOfStudy":null,"isOpenAccess":false,"openAccessPdf":"https://www.ncbi.nlm.nih.gov/pmc/articles/PMC12318652/pdf/","citationCount":"0","resultStr":null,"platform":"Semanticscholar","paperid":null,"PeriodicalName":"Korean Journal of Radiology","FirstCategoryId":"3","ListUrlMain":"https://doi.org/10.3348/kjr.2025.0177","RegionNum":2,"RegionCategory":"医学","ArticlePicture":[],"TitleCN":null,"AbstractTextCN":null,"PMCID":null,"EPubDate":"2025/6/13 0:00:00","PubModel":"Epub","JCR":"Q1","JCRName":"RADIOLOGY, NUCLEAR MEDICINE & MEDICAL IMAGING","Score":null,"Total":0}
引用次数: 0

Abstract

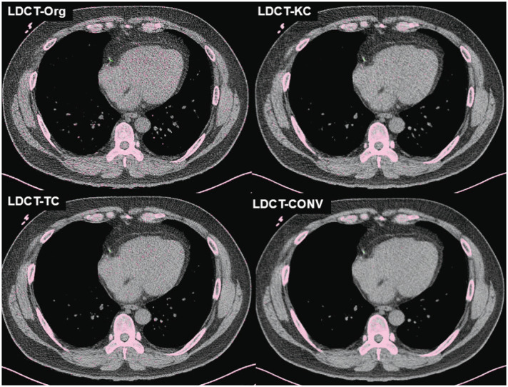
Objective: To evaluate the impact of deep learning-based image conversion on the accuracy of automated coronary artery calcium quantification using thin-slice, sharp-kernel, non-gated, low-dose chest computed tomography (LDCT) images collected from multiple institutions.

Materials and methods: A total of 225 pairs of LDCT and calcium scoring CT (CSCT) images scanned at 120 kVp and acquired from the same patient within a 6-month interval were retrospectively collected from four institutions. Image conversion was performed for LDCT images using proprietary software programs to simulate conventional CSCT. This process included 1) deep learning-based kernel conversion of low-dose, high-frequency, sharp kernels to simulate standard-dose, low-frequency kernels, and 2) thickness conversion using the raysum method to convert 1-mm or 1.25-mm thickness images to 3-mm thickness. Automated Agaston scoring was conducted on the LDCT scans before (LDCT-Orgauto) and after the image conversion (LDCT-CONVauto). Manual scoring was performed on the CSCT images (CSCTmanual) and used as a reference standard. The accuracy of automated Agaston scores and risk severity categorization based on the automated scoring on LDCT scans was analyzed compared to the reference standard, using the Bland-Altman analysis, concordance correlation coefficient (CCC), and weighted kappa (κ) statistic.

Results: LDCT-CONVauto demonstrated a reduced bias for Agaston score, compared with CSCTmanual, than LDCT-Orgauto did (-3.45 vs. 206.7). LDCT-CONVauto showed a higher CCC than LDCT-Orgauto did (0.881 [95% confidence interval {CI}, 0.750-0.960] vs. 0.269 [95% CI, 0.129-0.430]). In terms of risk category assignment, LDCT-Orgauto exhibited poor agreement with CSCTmanual (weighted κ = 0.115 [95% CI, 0.082-0.154]), whereas LDCT-CONVauto achieved good agreement (weighted κ = 0.792 [95% CI, 0.731-0.847]).

Conclusion: Deep learning-based conversion of LDCT images originally obtained with thin slices and a sharp kernel can enhance the accuracy of automated coronary artery calcium score measurement using the images.

Abstract Image

Abstract Image

Abstract Image

基于深度学习的图像转换对使用薄层、锐核、非门控、低剂量胸部CT扫描的全自动冠状动脉钙评分的影响:一项多中心研究
目的:评估基于深度学习的图像转换对从多家机构收集的薄层、锐核、非门控、低剂量胸部计算机断层扫描(LDCT)图像自动定量冠状动脉钙的准确性的影响。材料和方法:回顾性收集来自四家机构的同一患者在6个月内以120 kVp扫描的LDCT和钙评分CT (CSCT)图像共225对。使用专有软件程序对LDCT图像进行图像转换,以模拟常规CSCT。该过程包括:1)基于深度学习的低剂量、高频、尖锐核转换,以模拟标准剂量、低频核;2)使用raysum方法将1 mm或1.25 mm厚度的图像转换为3 mm厚度的图像。在LDCT扫描前(LDCT- orgauto)和图像转换后(LDCT- convauto)进行自动Agaston评分。对CSCT图像进行人工评分(CSCTmanual),并作为参考标准。采用Bland-Altman分析、一致性相关系数(CCC)和加权kappa (κ)统计量,比较基于LDCT扫描自动评分的自动Agaston评分和风险严重程度分类与参考标准的准确性。结果:与CSCTmanual相比,LDCT-CONVauto在Agaston评分上的偏差比LDCT-Orgauto小(-3.45 vs. 206.7)。LDCT-CONVauto显示的CCC高于LDCT-Orgauto(0.881[95%可信区间{CI}, 0.750-0.960]对0.269 [95% CI, 0.129-0.430])。在风险类别分配方面,LDCT-Orgauto与CSCTmanual的一致性较差(加权κ = 0.115 [95% CI, 0.082-0.154]),而LDCT-CONVauto的一致性较好(加权κ = 0.792 [95% CI, 0.731-0.847])。结论:基于深度学习的LDCT图像转换方法可以提高利用图像自动测量冠状动脉钙化评分的准确性。
本文章由计算机程序翻译,如有差异,请以英文原文为准。
求助全文
约1分钟内获得全文 求助全文
来源期刊
Korean Journal of Radiology
Korean Journal of Radiology 医学-核医学
CiteScore
10.60
自引率
12.50%
发文量
141
审稿时长
1.3 months
期刊介绍: The inaugural issue of the Korean J Radiol came out in March 2000. Our journal aims to produce and propagate knowledge on radiologic imaging and related sciences. A unique feature of the articles published in the Journal will be their reflection of global trends in radiology combined with an East-Asian perspective. Geographic differences in disease prevalence will be reflected in the contents of papers, and this will serve to enrich our body of knowledge. World''s outstanding radiologists from many countries are serving as editorial board of our journal.
×
引用
GB/T 7714-2015
复制
MLA
复制
APA
复制
导出至
BibTeX EndNote RefMan NoteFirst NoteExpress
×
提示
您的信息不完整,为了账户安全,请先补充。
现在去补充
×
提示
您因"违规操作"
具体请查看互助需知
我知道了
×
提示
确定
请完成安全验证×
copy
已复制链接
快去分享给好友吧!
我知道了
右上角分享
点击右上角分享
0
联系我们:info@booksci.cn Book学术提供免费学术资源搜索服务,方便国内外学者检索中英文文献。致力于提供最便捷和优质的服务体验。 Copyright © 2023 布克学术 All rights reserved.
京ICP备2023020795号-1
ghs 京公网安备 11010802042870号
Book学术文献互助
Book学术文献互助群
群 号:604180095
Book学术官方微信