Pseudomembranous Colitis: Unveiling an Infrequent Culprit Beyond Clostridium difficile-A Case Report.

IF 0.8 Q3 MEDICINE, GENERAL & INTERNAL
Manasa Ginjupalli, Jayalekshmi Jayakumar, Praneeth Bandaru, Vikash Kumar, Arnold Forlemu, Giovannie Isaac Coss, Denzil Etienne, Madhavi Reddy
{"title":"Pseudomembranous Colitis: Unveiling an Infrequent Culprit Beyond <i>Clostridium difficile</i>-A Case Report.","authors":"Manasa Ginjupalli, Jayalekshmi Jayakumar, Praneeth Bandaru, Vikash Kumar, Arnold Forlemu, Giovannie Isaac Coss, Denzil Etienne, Madhavi Reddy","doi":"10.1177/23247096251347401","DOIUrl":null,"url":null,"abstract":"<p><p>Immunotherapy-induced pseudomembranous colitis (PMC) is an uncommon but increasingly recognized adverse effect of immune checkpoint inhibitors, particularly in patients with advanced malignancies. We present a case of a 68-year-old male with gastric adenocarcinoma undergoing treatment with immunotherapy and chemotherapy, who developed symptoms of PMC. Workup for <i>Clostridium difficile</i> and other common etiologies was negative. Colonoscopy revealed severe mucosal congestion and yellowish-green exudates, consistent with PMC. Based on the biopsy results and clinical presentation, after excluding common etiologies, immunotherapy-induced PMC was suspected. The patient responded to steroid therapy, with gradual improvement and a tapering regimen upon discharge. This case underscores the diagnostic challenges in identifying the etiology of PMC, particularly when it presents with diffuse involvement of the colon, which is an uncommon presentation for immunotherapy-related colitis. The overlap in clinical, endoscopic, and histopathological findings with other forms of colitis, such as Clostridium difficile infection (CDI) and inflammatory bowel disease, highlights the need for heightened awareness among clinicians. This case highlights the diagnostic challenges in recognizing immunotherapy-induced PMC, particularly with atypical, diffuse colonic involvement. The overlapping features with other colitis make timely diagnosis difficult. Further research is needed to refine diagnostic criteria and management strategies for immunotherapy induced colitis (IMC).</p>","PeriodicalId":16198,"journal":{"name":"Journal of investigative medicine high impact case reports","volume":"13 ","pages":"23247096251347401"},"PeriodicalIF":0.8000,"publicationDate":"2025-01-01","publicationTypes":"Journal Article","fieldsOfStudy":null,"isOpenAccess":false,"openAccessPdf":"https://www.ncbi.nlm.nih.gov/pmc/articles/PMC12177235/pdf/","citationCount":"0","resultStr":null,"platform":"Semanticscholar","paperid":null,"PeriodicalName":"Journal of investigative medicine high impact case reports","FirstCategoryId":"1085","ListUrlMain":"https://doi.org/10.1177/23247096251347401","RegionNum":0,"RegionCategory":null,"ArticlePicture":[],"TitleCN":null,"AbstractTextCN":null,"PMCID":null,"EPubDate":"2025/6/18 0:00:00","PubModel":"Epub","JCR":"Q3","JCRName":"MEDICINE, GENERAL & INTERNAL","Score":null,"Total":0}
引用次数: 0

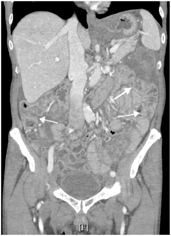
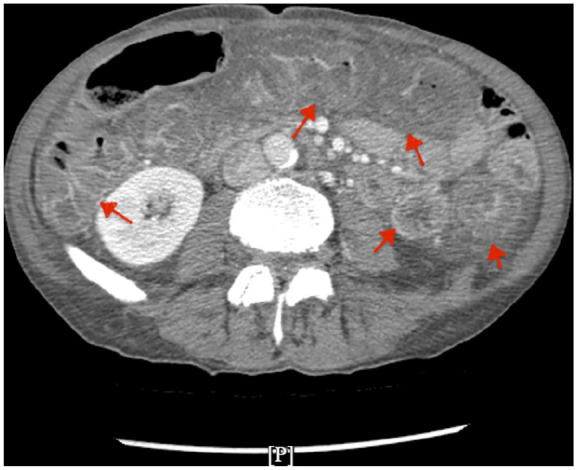
Abstract

Immunotherapy-induced pseudomembranous colitis (PMC) is an uncommon but increasingly recognized adverse effect of immune checkpoint inhibitors, particularly in patients with advanced malignancies. We present a case of a 68-year-old male with gastric adenocarcinoma undergoing treatment with immunotherapy and chemotherapy, who developed symptoms of PMC. Workup for Clostridium difficile and other common etiologies was negative. Colonoscopy revealed severe mucosal congestion and yellowish-green exudates, consistent with PMC. Based on the biopsy results and clinical presentation, after excluding common etiologies, immunotherapy-induced PMC was suspected. The patient responded to steroid therapy, with gradual improvement and a tapering regimen upon discharge. This case underscores the diagnostic challenges in identifying the etiology of PMC, particularly when it presents with diffuse involvement of the colon, which is an uncommon presentation for immunotherapy-related colitis. The overlap in clinical, endoscopic, and histopathological findings with other forms of colitis, such as Clostridium difficile infection (CDI) and inflammatory bowel disease, highlights the need for heightened awareness among clinicians. This case highlights the diagnostic challenges in recognizing immunotherapy-induced PMC, particularly with atypical, diffuse colonic involvement. The overlapping features with other colitis make timely diagnosis difficult. Further research is needed to refine diagnostic criteria and management strategies for immunotherapy induced colitis (IMC).

Abstract Image

Abstract Image

Abstract Image

假膜性结肠炎:揭露难辨梭状芽胞杆菌之外罕见的罪魁祸首——一例报告。
免疫治疗诱导的假膜性结肠炎(PMC)是免疫检查点抑制剂的一种不常见但越来越被认识到的不良反应,特别是在晚期恶性肿瘤患者中。我们报告一例68岁男性胃腺癌患者,在接受免疫治疗和化疗后出现PMC症状。难辨梭菌及其他常见病因检查均为阴性。结肠镜检查显示严重的粘膜充血和黄绿色渗出物,符合PMC。根据活检结果和临床表现,在排除常见病因后,怀疑为免疫治疗诱导的PMC。患者对类固醇治疗有反应,逐渐改善,出院后减量治疗。本病例强调了在确定PMC病因方面的诊断挑战,特别是当它表现为结肠弥漫性受累时,这是免疫治疗相关性结肠炎的罕见表现。与其他形式的结肠炎(如艰难梭菌感染(CDI)和炎症性肠病)在临床、内镜和组织病理学上的发现重叠,突出了临床医生需要提高认识。本病例强调了识别免疫治疗诱导的PMC的诊断挑战,特别是不典型的弥漫性结肠累及。与其他结肠炎的重叠特征使其难以及时诊断。需要进一步研究来完善免疫治疗性结肠炎(IMC)的诊断标准和管理策略。
本文章由计算机程序翻译,如有差异,请以英文原文为准。
求助全文
约1分钟内获得全文 求助全文
来源期刊
CiteScore
1.90
自引率
0.00%
发文量
165
审稿时长
12 weeks
期刊介绍: The AFMR is committed to enhancing the training and career development of our members and to furthering its mission to facilitate the conduct of research to improve medical care. Case reports represent an important avenue for trainees (interns, residents, and fellows) and early-stage faculty to demonstrate productive, scholarly activity.
×
引用
GB/T 7714-2015
复制
MLA
复制
APA
复制
导出至
BibTeX EndNote RefMan NoteFirst NoteExpress
×
提示
您的信息不完整,为了账户安全,请先补充。
现在去补充
×
提示
您因"违规操作"
具体请查看互助需知
我知道了
×
提示
确定
请完成安全验证×
copy
已复制链接
快去分享给好友吧!
我知道了
右上角分享
点击右上角分享
0
联系我们:info@booksci.cn Book学术提供免费学术资源搜索服务,方便国内外学者检索中英文文献。致力于提供最便捷和优质的服务体验。 Copyright © 2023 布克学术 All rights reserved.
京ICP备2023020795号-1
ghs 京公网安备 11010802042870号
Book学术文献互助
Book学术文献互助群
群 号:604180095
Book学术官方微信