HE-4 in the Diagnosis of Carcinoma of Ovary Presented as Unknown primary Carcinoma: A Case Report.

IF 0.8 Q3 MEDICINE, GENERAL & INTERNAL
Shengmin Huang, Muhammad Tahir, Gardith Joseph, Richrd Wu, Jaron Tepper, Jen C Wang
{"title":"HE-4 in the Diagnosis of Carcinoma of Ovary Presented as Unknown primary Carcinoma: A Case Report.","authors":"Shengmin Huang, Muhammad Tahir, Gardith Joseph, Richrd Wu, Jaron Tepper, Jen C Wang","doi":"10.1177/23247096251344701","DOIUrl":null,"url":null,"abstract":"<p><p>Ovarian cancer is the second most common gynecologic malignancy in the United States, with high mortality due to delayed diagnosis. Serum CA-125 is widely used for screening and monitoring but lacks sensitivity and specificity in some cases. We present a 67-year-old female diagnosed with advanced-stage ovarian cancer despite normal CA-125 levels, with elevated HE4 (human epididymis protein 4), underscoring its diagnostic value. This case highlights the importance of integrating HE4 with CA-125 in ovarian cancer evaluation and emphasizes a multimodal approach to enhance early detection and outcomes.</p>","PeriodicalId":16198,"journal":{"name":"Journal of investigative medicine high impact case reports","volume":"13 ","pages":"23247096251344701"},"PeriodicalIF":0.8000,"publicationDate":"2025-01-01","publicationTypes":"Journal Article","fieldsOfStudy":null,"isOpenAccess":false,"openAccessPdf":"https://www.ncbi.nlm.nih.gov/pmc/articles/PMC12177251/pdf/","citationCount":"0","resultStr":null,"platform":"Semanticscholar","paperid":null,"PeriodicalName":"Journal of investigative medicine high impact case reports","FirstCategoryId":"1085","ListUrlMain":"https://doi.org/10.1177/23247096251344701","RegionNum":0,"RegionCategory":null,"ArticlePicture":[],"TitleCN":null,"AbstractTextCN":null,"PMCID":null,"EPubDate":"2025/6/18 0:00:00","PubModel":"Epub","JCR":"Q3","JCRName":"MEDICINE, GENERAL & INTERNAL","Score":null,"Total":0}
引用次数: 0

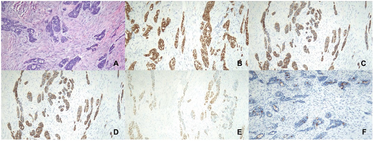
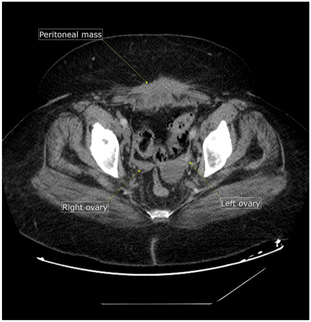
Abstract

Ovarian cancer is the second most common gynecologic malignancy in the United States, with high mortality due to delayed diagnosis. Serum CA-125 is widely used for screening and monitoring but lacks sensitivity and specificity in some cases. We present a 67-year-old female diagnosed with advanced-stage ovarian cancer despite normal CA-125 levels, with elevated HE4 (human epididymis protein 4), underscoring its diagnostic value. This case highlights the importance of integrating HE4 with CA-125 in ovarian cancer evaluation and emphasizes a multimodal approach to enhance early detection and outcomes.

Abstract Image

Abstract Image

Abstract Image

HE-4在原发性未知卵巢癌中的诊断价值1例。
卵巢癌是美国第二大常见的妇科恶性肿瘤,由于诊断延迟,死亡率很高。血清CA-125广泛用于筛查和监测,但在某些情况下缺乏敏感性和特异性。我们报告了一位67岁的女性,尽管CA-125水平正常,但被诊断为晚期卵巢癌,HE4(人附睾蛋白4)升高,强调了其诊断价值。本病例强调了将HE4和CA-125结合在卵巢癌评估中的重要性,并强调了采用多模式方法来提高早期发现和预后。
本文章由计算机程序翻译,如有差异,请以英文原文为准。
求助全文
约1分钟内获得全文 求助全文
来源期刊
CiteScore
1.90
自引率
0.00%
发文量
165
审稿时长
12 weeks
期刊介绍: The AFMR is committed to enhancing the training and career development of our members and to furthering its mission to facilitate the conduct of research to improve medical care. Case reports represent an important avenue for trainees (interns, residents, and fellows) and early-stage faculty to demonstrate productive, scholarly activity.
×
引用
GB/T 7714-2015
复制
MLA
复制
APA
复制
导出至
BibTeX EndNote RefMan NoteFirst NoteExpress
×
提示
您的信息不完整,为了账户安全,请先补充。
现在去补充
×
提示
您因"违规操作"
具体请查看互助需知
我知道了
×
提示
确定
请完成安全验证×
copy
已复制链接
快去分享给好友吧!
我知道了
右上角分享
点击右上角分享
0
联系我们:info@booksci.cn Book学术提供免费学术资源搜索服务,方便国内外学者检索中英文文献。致力于提供最便捷和优质的服务体验。 Copyright © 2023 布克学术 All rights reserved.
京ICP备2023020795号-1
ghs 京公网安备 11010802042870号
Book学术文献互助
Book学术文献互助群
群 号:604180095
Book学术官方微信