Biopsy Confirmed Skin Drug Eruption in Setting of Ticagrelor Use.

IF 0.8 Q3 MEDICINE, GENERAL & INTERNAL
Dre E Steinwehr, Jena M Gales, Anya R de Leeuw, Derek S Anderson, Christopher R Cunningham, Aaron A H Smith
{"title":"Biopsy Confirmed Skin Drug Eruption in Setting of Ticagrelor Use.","authors":"Dre E Steinwehr, Jena M Gales, Anya R de Leeuw, Derek S Anderson, Christopher R Cunningham, Aaron A H Smith","doi":"10.1177/23247096251350547","DOIUrl":null,"url":null,"abstract":"<p><p>When there is concern that a rash may be a drug eruption reaction, there are many well-known culprits such as antibiotics and phenytoin. When an uncommon or previously unknown offending medication is being considered to have caused a drug eruption, diagnostic skin biopsy can help confirm the diagnosis. Our patient is a 54-year-old female with past medical history of prediabetes and obesity. She had ST segment-elevation myocardial infarction that was treated appropriately with timely percutaneous coronary intervention, which included angioplasty and drug-eluting stent placement. She was maintained on treatment regimen, and over the next 3 months, she developed a worsening maculopapular rash across her torso and upper extremities. Her biopsy showed superficial and mid-dermal perivascular lymphohistiocytic inflammation with focal spongiosis and scattered eosinophils, a common pathologic finding seen in drug eruptions. Although the patient was not taking any well-known offending agents, her ticagrelor was discontinued and she was transitioned to clopidogrel. Shortly after the transition, the patient's drug rash resolved without recurrence. Drug eruptions are a common etiology for rashes leading to presentation in primary care clinics. Our patient illustrates an exceedingly rare case of ticagrelor-induced drug reaction, as a review of the literature shows only 2 previously published case reports.</p>","PeriodicalId":16198,"journal":{"name":"Journal of investigative medicine high impact case reports","volume":"13 ","pages":"23247096251350547"},"PeriodicalIF":0.8000,"publicationDate":"2025-01-01","publicationTypes":"Journal Article","fieldsOfStudy":null,"isOpenAccess":false,"openAccessPdf":"https://www.ncbi.nlm.nih.gov/pmc/articles/PMC12177242/pdf/","citationCount":"0","resultStr":null,"platform":"Semanticscholar","paperid":null,"PeriodicalName":"Journal of investigative medicine high impact case reports","FirstCategoryId":"1085","ListUrlMain":"https://doi.org/10.1177/23247096251350547","RegionNum":0,"RegionCategory":null,"ArticlePicture":[],"TitleCN":null,"AbstractTextCN":null,"PMCID":null,"EPubDate":"2025/6/18 0:00:00","PubModel":"Epub","JCR":"Q3","JCRName":"MEDICINE, GENERAL & INTERNAL","Score":null,"Total":0}
引用次数: 0

Abstract

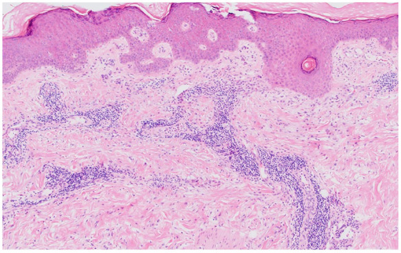
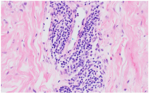
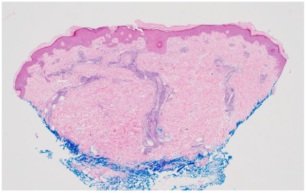
When there is concern that a rash may be a drug eruption reaction, there are many well-known culprits such as antibiotics and phenytoin. When an uncommon or previously unknown offending medication is being considered to have caused a drug eruption, diagnostic skin biopsy can help confirm the diagnosis. Our patient is a 54-year-old female with past medical history of prediabetes and obesity. She had ST segment-elevation myocardial infarction that was treated appropriately with timely percutaneous coronary intervention, which included angioplasty and drug-eluting stent placement. She was maintained on treatment regimen, and over the next 3 months, she developed a worsening maculopapular rash across her torso and upper extremities. Her biopsy showed superficial and mid-dermal perivascular lymphohistiocytic inflammation with focal spongiosis and scattered eosinophils, a common pathologic finding seen in drug eruptions. Although the patient was not taking any well-known offending agents, her ticagrelor was discontinued and she was transitioned to clopidogrel. Shortly after the transition, the patient's drug rash resolved without recurrence. Drug eruptions are a common etiology for rashes leading to presentation in primary care clinics. Our patient illustrates an exceedingly rare case of ticagrelor-induced drug reaction, as a review of the literature shows only 2 previously published case reports.

Abstract Image

Abstract Image

Abstract Image

使用替格瑞洛后,活检证实皮肤药疹。
当人们担心皮疹可能是药物爆发反应时,有许多众所周知的罪魁祸首,如抗生素和苯妥英。当一种不常见或以前未知的药物被认为是引起药疹的原因时,诊断性皮肤活检可以帮助确认诊断。我们的病人是一位54岁的女性,既往有糖尿病前期和肥胖病史。她患有ST段抬高型心肌梗死,及时接受经皮冠状动脉介入治疗,包括血管成形术和药物洗脱支架置入术。她继续接受治疗,在接下来的3个月里,她的躯干和上肢出现了越来越严重的黄斑丘疹。活检显示真皮浅层和中层血管周围淋巴组织细胞炎症伴局灶性海绵状病变和分散的嗜酸性粒细胞,这是药物疹常见的病理表现。虽然患者没有服用任何已知的不良药物,但她的替格瑞洛已停用,并改用氯吡格雷。转变后不久,患者的药物皮疹消失,无复发。药疹是导致初级保健诊所出现皮疹的常见病因。我们的病人是一个非常罕见的替格瑞洛引起的药物反应的病例,回顾文献显示只有2例先前发表的病例报告。
本文章由计算机程序翻译,如有差异,请以英文原文为准。
求助全文
约1分钟内获得全文 求助全文
来源期刊
CiteScore
1.90
自引率
0.00%
发文量
165
审稿时长
12 weeks
期刊介绍: The AFMR is committed to enhancing the training and career development of our members and to furthering its mission to facilitate the conduct of research to improve medical care. Case reports represent an important avenue for trainees (interns, residents, and fellows) and early-stage faculty to demonstrate productive, scholarly activity.
×
引用
GB/T 7714-2015
复制
MLA
复制
APA
复制
导出至
BibTeX EndNote RefMan NoteFirst NoteExpress
×
提示
您的信息不完整,为了账户安全,请先补充。
现在去补充
×
提示
您因"违规操作"
具体请查看互助需知
我知道了
×
提示
确定
请完成安全验证×
copy
已复制链接
快去分享给好友吧!
我知道了
右上角分享
点击右上角分享
0
联系我们:info@booksci.cn Book学术提供免费学术资源搜索服务,方便国内外学者检索中英文文献。致力于提供最便捷和优质的服务体验。 Copyright © 2023 布克学术 All rights reserved.
京ICP备2023020795号-1
ghs 京公网安备 11010802042870号
Book学术文献互助
Book学术文献互助群
群 号:604180095
Book学术官方微信