Successful Management of Incidentally-Detected Subclavian Stenosis During Anesthetic Preparation for Spinal Surgery: A Case Report.

IF 0.7 Q3 MEDICINE, GENERAL & INTERNAL
International Medical Case Reports Journal Pub Date : 2025-06-12 eCollection Date: 2025-01-01 DOI:10.2147/IMCRJ.S515664
Ala A Alhowary, Saif Gharaibeh, Abdelwahab Aleshawi
{"title":"Successful Management of Incidentally-Detected Subclavian Stenosis During Anesthetic Preparation for Spinal Surgery: A Case Report.","authors":"Ala A Alhowary, Saif Gharaibeh, Abdelwahab Aleshawi","doi":"10.2147/IMCRJ.S515664","DOIUrl":null,"url":null,"abstract":"<p><strong>Background: </strong>Subclavian artery stenosis is mainly caused by atherosclerotic changes, which may result in ischemic events in the upper limbs and the central nervous system. Other etiological causes include radiation exposure, vasculitis, neurofibromatosis, external compression syndrome, and fibromuscular dysplasia. The conventional anesthetic challenge for these patients is to maintain cerebral perfusion.</p><p><strong>Case presentation: </strong>We present a case of incidentally discovered left subclavian stenosis in a 65-year-old male who was admitted for spinal surgery. The patient had a history of peripheral arterial disease, diabetes mellitus, and heavy smoking. During the preoperative assessment, the blood pressure readings in the department were within the normal range. In the operating theater, blood pressure readings of the two arms revealed readings of 136/85 mmHg and 235/114 mmHg in the right and left arms, respectively. Accordingly, the operation was postponed for further evaluation of the increased interarm systolic blood pressure difference. Computed tomography angiography revealed focal stenosis at the origin of the left subclavian artery, causing approximately 90% narrowing. The patient underwent a successful subclavian artery angioplasty.</p><p><strong>Conclusion: </strong>It is important to report BP readings of blood pressure in both arms of patients with a history of peripheral arterial disease, heavy smoking, or severe metabolic syndrome. Patients with subclavian stenosis are prone to increased inter-arm systolic blood pressure difference. Accordingly, the bilateral measurement of BP is a simple test with valuable impact on the preanesthetic assessment in an emergency setting.</p>","PeriodicalId":14337,"journal":{"name":"International Medical Case Reports Journal","volume":"18 ","pages":"699-704"},"PeriodicalIF":0.7000,"publicationDate":"2025-06-12","publicationTypes":"Journal Article","fieldsOfStudy":null,"isOpenAccess":false,"openAccessPdf":"https://www.ncbi.nlm.nih.gov/pmc/articles/PMC12170792/pdf/","citationCount":"0","resultStr":null,"platform":"Semanticscholar","paperid":null,"PeriodicalName":"International Medical Case Reports Journal","FirstCategoryId":"1085","ListUrlMain":"https://doi.org/10.2147/IMCRJ.S515664","RegionNum":0,"RegionCategory":null,"ArticlePicture":[],"TitleCN":null,"AbstractTextCN":null,"PMCID":null,"EPubDate":"2025/1/1 0:00:00","PubModel":"eCollection","JCR":"Q3","JCRName":"MEDICINE, GENERAL & INTERNAL","Score":null,"Total":0}
引用次数: 0

Abstract

Background: Subclavian artery stenosis is mainly caused by atherosclerotic changes, which may result in ischemic events in the upper limbs and the central nervous system. Other etiological causes include radiation exposure, vasculitis, neurofibromatosis, external compression syndrome, and fibromuscular dysplasia. The conventional anesthetic challenge for these patients is to maintain cerebral perfusion.

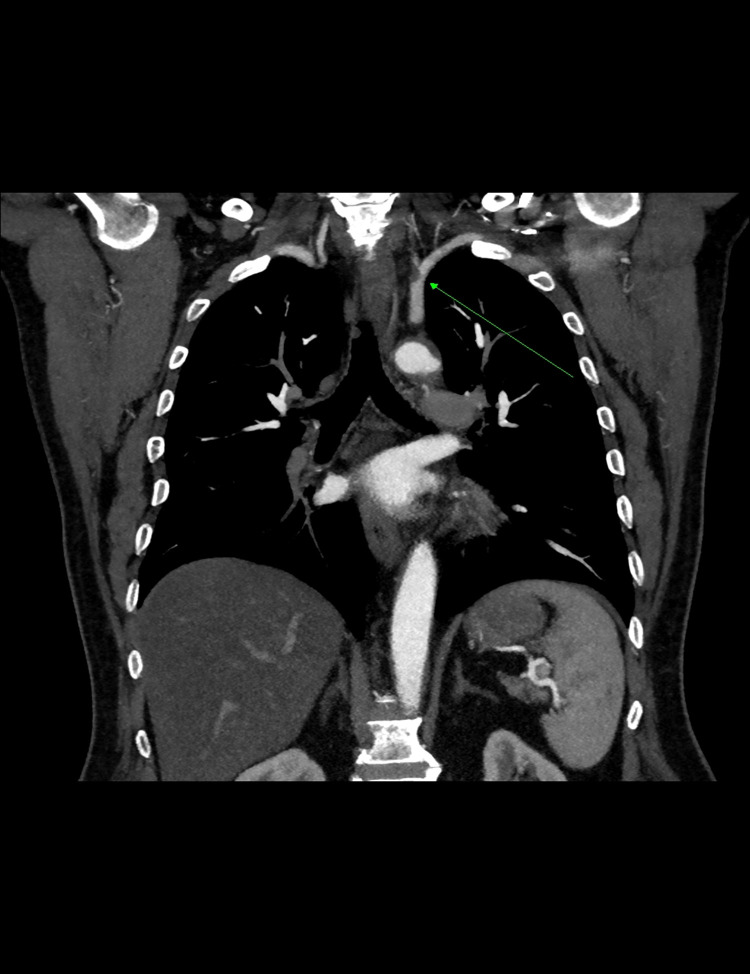
Case presentation: We present a case of incidentally discovered left subclavian stenosis in a 65-year-old male who was admitted for spinal surgery. The patient had a history of peripheral arterial disease, diabetes mellitus, and heavy smoking. During the preoperative assessment, the blood pressure readings in the department were within the normal range. In the operating theater, blood pressure readings of the two arms revealed readings of 136/85 mmHg and 235/114 mmHg in the right and left arms, respectively. Accordingly, the operation was postponed for further evaluation of the increased interarm systolic blood pressure difference. Computed tomography angiography revealed focal stenosis at the origin of the left subclavian artery, causing approximately 90% narrowing. The patient underwent a successful subclavian artery angioplasty.

Conclusion: It is important to report BP readings of blood pressure in both arms of patients with a history of peripheral arterial disease, heavy smoking, or severe metabolic syndrome. Patients with subclavian stenosis are prone to increased inter-arm systolic blood pressure difference. Accordingly, the bilateral measurement of BP is a simple test with valuable impact on the preanesthetic assessment in an emergency setting.

Abstract Image

Abstract Image

Abstract Image

脊柱手术麻醉准备过程中意外发现的锁骨下狭窄的成功处理:1例报告。
背景:锁骨下动脉狭窄主要由动脉粥样硬化改变引起,可导致上肢和中枢神经系统发生缺血事件。其他病因包括辐射暴露、血管炎、神经纤维瘤病、外压迫综合征和纤维肌肉发育不良。这些患者的常规麻醉挑战是维持脑灌注。病例介绍:我们报告一例偶然发现左锁骨下狭窄的65岁男性谁是入院脊柱手术。患者有外周动脉疾病、糖尿病和重度吸烟史。术前评估时,科室血压读数在正常范围内。在手术室中,两臂的血压读数显示右臂和左臂分别为136/85 mmHg和235/114 mmHg。因此,手术被推迟,以进一步评估臂间收缩压差的增加。计算机断层血管造影显示左侧锁骨下动脉起源处局灶性狭窄,导致约90%狭窄。患者接受了成功的锁骨下动脉血管成形术。结论:报告有外周动脉疾病、重度吸烟或严重代谢综合征病史的患者的血压读数是很重要的。锁骨下狭窄患者容易出现臂间收缩压差增高。因此,双侧血压测量是一种简单的测试,在紧急情况下对麻醉前评估有重要影响。
本文章由计算机程序翻译,如有差异,请以英文原文为准。
求助全文
约1分钟内获得全文 求助全文
来源期刊
International Medical Case Reports Journal
International Medical Case Reports Journal MEDICINE, GENERAL & INTERNAL-
CiteScore
1.40
自引率
0.00%
发文量
135
审稿时长
16 weeks
期刊介绍: International Medical Case Reports Journal is an international, peer-reviewed, open access, online journal publishing original case reports from all medical specialties. Submissions should not normally exceed 3,000 words or 4 published pages including figures, diagrams and references. As of 1st April 2019, the International Medical Case Reports Journal will no longer consider meta-analyses for publication.
×
引用
GB/T 7714-2015
复制
MLA
复制
APA
复制
导出至
BibTeX EndNote RefMan NoteFirst NoteExpress
×
提示
您的信息不完整,为了账户安全,请先补充。
现在去补充
×
提示
您因"违规操作"
具体请查看互助需知
我知道了
×
提示
确定
请完成安全验证×
copy
已复制链接
快去分享给好友吧!
我知道了
右上角分享
点击右上角分享
0
联系我们:info@booksci.cn Book学术提供免费学术资源搜索服务,方便国内外学者检索中英文文献。致力于提供最便捷和优质的服务体验。 Copyright © 2023 布克学术 All rights reserved.
京ICP备2023020795号-1
ghs 京公网安备 11010802042870号
Book学术文献互助
Book学术文献互助群
群 号:604180095
Book学术官方微信