Fractured Metallic Tracheostomy Tube as an Unusual Foreign Body in The Left Main Bronchus: A Case Report.

IF 0.6 Q3 MEDICINE, GENERAL & INTERNAL
Clinical Medicine Insights. Case Reports Pub Date : 2025-06-14 eCollection Date: 2025-01-01 DOI:10.1177/11795476251346991
Mohammad Fityani, Yazan Juma, Mohammed Omari, Imad Tayyem, Raghad Sweity, Maher Deeb, Yousef Abu Asbeh
{"title":"Fractured Metallic Tracheostomy Tube as an Unusual Foreign Body in The Left Main Bronchus: A Case Report.","authors":"Mohammad Fityani, Yazan Juma, Mohammed Omari, Imad Tayyem, Raghad Sweity, Maher Deeb, Yousef Abu Asbeh","doi":"10.1177/11795476251346991","DOIUrl":null,"url":null,"abstract":"<p><strong>Introduction: </strong>Tracheostomy is a vital airway procedure for critically ill patients with acute respiratory failure. This study presents a rare but serious complication: the fracture and migration of a tracheostomy tube into the tracheobronchial tree, and discusses its management.</p><p><strong>Case presentation: </strong>A 43-year-old male, with a tracheostomy tube in place for 8 years following a neck blast injury, presented with a foreign body in his airway. Chest X-ray revealed a fractured metallic tracheostomy tube lodged in the left main bronchus. The tube was successfully removed by rigid bronchoscopy under general anesthesia, and the patient was discharged in good condition with a new tracheostomy tube.</p><p><strong>Discussion: </strong>Tracheostomy tubes, typically made of polyvinyl chloride or metal, can fracture due to prolonged use without regular check-ups, or replacement. Patients may present with mild respiratory symptoms or be asymptomatic. Diagnosis is confirmed by X-ray, and removal is performed via rigid bronchoscopy.</p><p><strong>Conclusion: </strong>Fractured tracheostomy tubes are a rare but potentially fatal complication requiring urgent bronchoscopy. Regular follow-up, proper care, timely tube replacement, and patient education are essential to prevent such occurrences.</p>","PeriodicalId":10357,"journal":{"name":"Clinical Medicine Insights. Case Reports","volume":"18 ","pages":"11795476251346991"},"PeriodicalIF":0.6000,"publicationDate":"2025-06-14","publicationTypes":"Journal Article","fieldsOfStudy":null,"isOpenAccess":false,"openAccessPdf":"https://www.ncbi.nlm.nih.gov/pmc/articles/PMC12171248/pdf/","citationCount":"0","resultStr":null,"platform":"Semanticscholar","paperid":null,"PeriodicalName":"Clinical Medicine Insights. Case Reports","FirstCategoryId":"1085","ListUrlMain":"https://doi.org/10.1177/11795476251346991","RegionNum":0,"RegionCategory":null,"ArticlePicture":[],"TitleCN":null,"AbstractTextCN":null,"PMCID":null,"EPubDate":"2025/1/1 0:00:00","PubModel":"eCollection","JCR":"Q3","JCRName":"MEDICINE, GENERAL & INTERNAL","Score":null,"Total":0}
引用次数: 0

Abstract

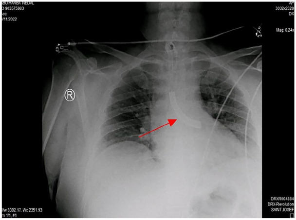
Introduction: Tracheostomy is a vital airway procedure for critically ill patients with acute respiratory failure. This study presents a rare but serious complication: the fracture and migration of a tracheostomy tube into the tracheobronchial tree, and discusses its management.

Case presentation: A 43-year-old male, with a tracheostomy tube in place for 8 years following a neck blast injury, presented with a foreign body in his airway. Chest X-ray revealed a fractured metallic tracheostomy tube lodged in the left main bronchus. The tube was successfully removed by rigid bronchoscopy under general anesthesia, and the patient was discharged in good condition with a new tracheostomy tube.

Discussion: Tracheostomy tubes, typically made of polyvinyl chloride or metal, can fracture due to prolonged use without regular check-ups, or replacement. Patients may present with mild respiratory symptoms or be asymptomatic. Diagnosis is confirmed by X-ray, and removal is performed via rigid bronchoscopy.

Conclusion: Fractured tracheostomy tubes are a rare but potentially fatal complication requiring urgent bronchoscopy. Regular follow-up, proper care, timely tube replacement, and patient education are essential to prevent such occurrences.

Abstract Image

Abstract Image

Abstract Image

金属气管造瘘管断裂为左主支气管异常异物1例。
简介:气管切开术是急性呼吸衰竭重症患者的重要气道手术。本研究报告一罕见但严重的并发症:气管造口管断裂及移入气管支气管树,并讨论其处理方法。病例介绍:一名43岁男性,颈部爆炸伤后气管造口管放置8年,气道内有异物。胸部x光片显示一根断裂的金属气管造口管卡在左主支气管内。在全麻下经刚性支气管镜成功拔出气管插管,患者顺利出院并更换气管造瘘管。讨论:气管造口管通常由聚氯乙烯或金属制成,由于长时间使用而没有定期检查或更换,可能会断裂。患者可能出现轻微的呼吸道症状或无症状。诊断通过x线确认,并通过刚性支气管镜切除。结论:气管造瘘管断裂是一种罕见但可能致命的并发症,需要紧急支气管镜检查。定期随访、适当护理、及时更换导管和患者教育是预防此类事件发生的关键。
本文章由计算机程序翻译,如有差异,请以英文原文为准。
求助全文
约1分钟内获得全文 求助全文
来源期刊
Clinical Medicine Insights. Case Reports
Clinical Medicine Insights. Case Reports MEDICINE, GENERAL & INTERNAL-
CiteScore
1.10
自引率
0.00%
发文量
57
审稿时长
8 weeks
×
引用
GB/T 7714-2015
复制
MLA
复制
APA
复制
导出至
BibTeX EndNote RefMan NoteFirst NoteExpress
×
提示
您的信息不完整,为了账户安全,请先补充。
现在去补充
×
提示
您因"违规操作"
具体请查看互助需知
我知道了
×
提示
确定
请完成安全验证×
copy
已复制链接
快去分享给好友吧!
我知道了
右上角分享
点击右上角分享
0
联系我们:info@booksci.cn Book学术提供免费学术资源搜索服务,方便国内外学者检索中英文文献。致力于提供最便捷和优质的服务体验。 Copyright © 2023 布克学术 All rights reserved.
京ICP备2023020795号-1
ghs 京公网安备 11010802042870号
Book学术文献互助
Book学术文献互助群
群 号:604180095
Book学术官方微信