Ribavirin Treatment in Acute HEV-Induced Liver Injury in a Healthy US Female: A Case Report.

IF 0.6 Q4 GASTROENTEROLOGY & HEPATOLOGY
Case Reports in Gastroenterology Pub Date : 2025-06-17 eCollection Date: 2025-01-01 DOI:10.1159/000546235
Nadera Altork, Michele P Fischer, Lukman Cheraghvandi, Arul M Thomas
{"title":"Ribavirin Treatment in Acute HEV-Induced Liver Injury in a Healthy US Female: A Case Report.","authors":"Nadera Altork, Michele P Fischer, Lukman Cheraghvandi, Arul M Thomas","doi":"10.1159/000546235","DOIUrl":null,"url":null,"abstract":"<p><strong>Introduction: </strong>Hepatitis E virus (HEV) is a global cause of acute viral hepatitis, for which there is currently no FDA-approved medication. This case report describes a unique instance of a healthy US female presenting with acute HEV, who was treated with ribavirin to address her acute liver injury.</p><p><strong>Case presentation: </strong>A 36-year-old US female, nonpregnant, without liver disease, developed nonspecific symptoms post-travel to Indonesia, leading to acute liver injury with concern for failure. Liver biopsy showed severe hepatocellular necrosis (>50%) with mixed infiltrate; HEV PCR was positive (93,700,000 IU/mL) [Am J Gastroenterol. 2024;119(10S):S2872-3]. After risk-benefit analysis, ribavirin treatment resolved symptoms and normalized biomarkers in a month, avoiding emergency transplantation.</p><p><strong>Conclusion: </strong>HEV infection should be considered in acute liver injury cases in the US, especially with exposure risks. Ribavirin's role in acute cases warrants further study, potentially averting major morbidity and mortality.</p>","PeriodicalId":9614,"journal":{"name":"Case Reports in Gastroenterology","volume":"19 1","pages":"455-460"},"PeriodicalIF":0.6000,"publicationDate":"2025-06-17","publicationTypes":"Journal Article","fieldsOfStudy":null,"isOpenAccess":false,"openAccessPdf":"https://www.ncbi.nlm.nih.gov/pmc/articles/PMC12173439/pdf/","citationCount":"0","resultStr":null,"platform":"Semanticscholar","paperid":null,"PeriodicalName":"Case Reports in Gastroenterology","FirstCategoryId":"1085","ListUrlMain":"https://doi.org/10.1159/000546235","RegionNum":0,"RegionCategory":null,"ArticlePicture":[],"TitleCN":null,"AbstractTextCN":null,"PMCID":null,"EPubDate":"2025/1/1 0:00:00","PubModel":"eCollection","JCR":"Q4","JCRName":"GASTROENTEROLOGY & HEPATOLOGY","Score":null,"Total":0}
引用次数: 0

Abstract

Introduction: Hepatitis E virus (HEV) is a global cause of acute viral hepatitis, for which there is currently no FDA-approved medication. This case report describes a unique instance of a healthy US female presenting with acute HEV, who was treated with ribavirin to address her acute liver injury.

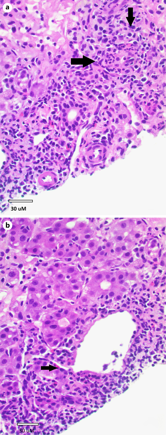
Case presentation: A 36-year-old US female, nonpregnant, without liver disease, developed nonspecific symptoms post-travel to Indonesia, leading to acute liver injury with concern for failure. Liver biopsy showed severe hepatocellular necrosis (>50%) with mixed infiltrate; HEV PCR was positive (93,700,000 IU/mL) [Am J Gastroenterol. 2024;119(10S):S2872-3]. After risk-benefit analysis, ribavirin treatment resolved symptoms and normalized biomarkers in a month, avoiding emergency transplantation.

Conclusion: HEV infection should be considered in acute liver injury cases in the US, especially with exposure risks. Ribavirin's role in acute cases warrants further study, potentially averting major morbidity and mortality.

Abstract Image

Abstract Image

利巴韦林治疗美国健康女性急性hev诱导肝损伤1例
戊型肝炎病毒(HEV)是一种全球性的急性病毒性肝炎病因,目前还没有fda批准的药物。本病例报告描述了一个独特的美国健康女性急性HEV病例,她接受了利巴韦林治疗,以解决她的急性肝损伤。病例介绍:一名36岁美国女性,未怀孕,无肝脏疾病,前往印度尼西亚旅行后出现非特异性症状,导致急性肝损伤,有衰竭的危险。肝活检示严重肝细胞坏死(>50%)伴混合浸润;HEV PCR阳性(93,700,000 IU/mL) [J]. Gastroenterol. 2024;119(10):S2872-3。经过风险-收益分析,利巴韦林治疗在一个月内缓解了症状并使生物标志物正常化,避免了紧急移植。结论:在美国急性肝损伤病例中应考虑HEV感染,特别是有暴露风险的病例。利巴韦林在急性病例中的作用有待进一步研究,可能避免重大发病率和死亡率。
本文章由计算机程序翻译,如有差异,请以英文原文为准。
求助全文
约1分钟内获得全文 求助全文
来源期刊
Case Reports in Gastroenterology
Case Reports in Gastroenterology Medicine-Gastroenterology
CiteScore
1.10
自引率
0.00%
发文量
99
审稿时长
7 weeks
期刊介绍:
×
引用
GB/T 7714-2015
复制
MLA
复制
APA
复制
导出至
BibTeX EndNote RefMan NoteFirst NoteExpress
×
提示
您的信息不完整,为了账户安全,请先补充。
现在去补充
×
提示
您因"违规操作"
具体请查看互助需知
我知道了
×
提示
确定
请完成安全验证×
copy
已复制链接
快去分享给好友吧!
我知道了
右上角分享
点击右上角分享
0
联系我们:info@booksci.cn Book学术提供免费学术资源搜索服务,方便国内外学者检索中英文文献。致力于提供最便捷和优质的服务体验。 Copyright © 2023 布克学术 All rights reserved.
京ICP备2023020795号-1
ghs 京公网安备 11010802042870号
Book学术文献互助
Book学术文献互助群
群 号:604180095
Book学术官方微信