Evaluating Conservative Versus Surgical Management Strategies in Omental Infarction: A Case Report and Literature Review.

IF 0.5 Q4 SURGERY
Case Reports in Surgery Pub Date : 2025-06-10 eCollection Date: 2025-01-01 DOI:10.1155/cris/6050351
Yuki Julius Ng, Yee Siew Lim, Shivadeva Selvamani, Yew Wen Chieng
{"title":"Evaluating Conservative Versus Surgical Management Strategies in Omental Infarction: A Case Report and Literature Review.","authors":"Yuki Julius Ng, Yee Siew Lim, Shivadeva Selvamani, Yew Wen Chieng","doi":"10.1155/cris/6050351","DOIUrl":null,"url":null,"abstract":"<p><p>Omental infarction was first described in 1896 mimics other causes of acute abdomen. Improved imaging modalities such as ultrasound and CT scans, have enhanced preoperative diagnosis with conservative management emerging as a treatment option. We report the case of a 51-year-old man presenting with epigastric pain migrating to the right iliac fossa, fever, nausea and anorexia. Examination revealed a stable patient with a right lumbar mass (5 cm × 6 cm) and rebound tenderness. CT imaging identified fat stranding near the ascending colon and hepatic flexure (6 cm ×10 cm ×10 cm) with peritoneal thickening. He underwent exploratory laparotomy, omentectomy and peritoneal washout, which revealed an infarcted omentum (8 cm × 8 cm) and 200 ml of haemoserous fluid. The patient recovered well postoperatively. A systematic search of the literature identified 237 articles reporting 479 cases of omental infarction, with clinical data extracted for analysis. Male predominance was observed (2:1) and 326 patients (68.1%) underwent surgical intervention. Conservative management was successful in 121 patients (25.3%), while 32 (6.7%) required surgery following failed conservative treatment. Among those managed surgically, the most common preoperative diagnosis was appendicitis. CT imaging was performed in 245 cases (51.1%), of which 103 (42.0%) within this group were successfully managed conservatively, while 26 (10.6%) required surgical intervention after conservative failure. Omental torsion was diagnosed preoperatively in 220 patients (45.9%); in this subset, 21 (9.5%) underwent surgery after failed conservative management and only 5 (2.3%) were successfully treated conservatively. While omental infarction can often be managed conservatively, surgery remains a key treatment for intractable pain or omental torsion, where conservative management failure rates are high.</p>","PeriodicalId":9600,"journal":{"name":"Case Reports in Surgery","volume":"2025 ","pages":"6050351"},"PeriodicalIF":0.5000,"publicationDate":"2025-06-10","publicationTypes":"Journal Article","fieldsOfStudy":null,"isOpenAccess":false,"openAccessPdf":"https://www.ncbi.nlm.nih.gov/pmc/articles/PMC12173552/pdf/","citationCount":"0","resultStr":null,"platform":"Semanticscholar","paperid":null,"PeriodicalName":"Case Reports in Surgery","FirstCategoryId":"1085","ListUrlMain":"https://doi.org/10.1155/cris/6050351","RegionNum":0,"RegionCategory":null,"ArticlePicture":[],"TitleCN":null,"AbstractTextCN":null,"PMCID":null,"EPubDate":"2025/1/1 0:00:00","PubModel":"eCollection","JCR":"Q4","JCRName":"SURGERY","Score":null,"Total":0}
引用次数: 0

Abstract

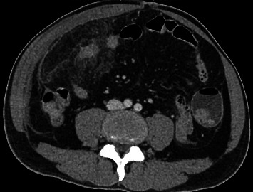
Omental infarction was first described in 1896 mimics other causes of acute abdomen. Improved imaging modalities such as ultrasound and CT scans, have enhanced preoperative diagnosis with conservative management emerging as a treatment option. We report the case of a 51-year-old man presenting with epigastric pain migrating to the right iliac fossa, fever, nausea and anorexia. Examination revealed a stable patient with a right lumbar mass (5 cm × 6 cm) and rebound tenderness. CT imaging identified fat stranding near the ascending colon and hepatic flexure (6 cm ×10 cm ×10 cm) with peritoneal thickening. He underwent exploratory laparotomy, omentectomy and peritoneal washout, which revealed an infarcted omentum (8 cm × 8 cm) and 200 ml of haemoserous fluid. The patient recovered well postoperatively. A systematic search of the literature identified 237 articles reporting 479 cases of omental infarction, with clinical data extracted for analysis. Male predominance was observed (2:1) and 326 patients (68.1%) underwent surgical intervention. Conservative management was successful in 121 patients (25.3%), while 32 (6.7%) required surgery following failed conservative treatment. Among those managed surgically, the most common preoperative diagnosis was appendicitis. CT imaging was performed in 245 cases (51.1%), of which 103 (42.0%) within this group were successfully managed conservatively, while 26 (10.6%) required surgical intervention after conservative failure. Omental torsion was diagnosed preoperatively in 220 patients (45.9%); in this subset, 21 (9.5%) underwent surgery after failed conservative management and only 5 (2.3%) were successfully treated conservatively. While omental infarction can often be managed conservatively, surgery remains a key treatment for intractable pain or omental torsion, where conservative management failure rates are high.

Abstract Image

Abstract Image

Abstract Image

评价大网膜梗死的保守与手术治疗策略:一例报告和文献回顾。
网膜梗塞于1896年首次被描述为类似于其他急腹症。超声和CT扫描等成像方式的改进,增强了术前诊断,保守治疗成为一种治疗选择。我们报告的情况下,51岁的男子提出胃脘痛迁移到右髂窝,发烧,恶心和厌食。检查显示患者有稳定的右腰椎肿块(5cm × 6cm)和反跳压痛。CT成像发现升结肠附近脂肪堆积和肝屈曲(6 cm ×10 cm ×10 cm)伴腹膜增厚。经剖腹探查、大网膜切除术和腹膜冲洗,发现大网膜梗死(8cm × 8cm)和200ml浆液。患者术后恢复良好。系统检索了237篇报道479例大网膜梗死病例的文献,并提取了临床数据进行分析。男性优势(2:1),326例(68.1%)接受手术干预。121例(25.3%)患者保守治疗成功,32例(6.7%)患者保守治疗失败后需要手术治疗。在手术治疗的患者中,最常见的术前诊断是阑尾炎。245例(51.1%)行CT影像学检查,其中103例(42.0%)保守治疗成功,26例(10.6%)保守治疗失败需行手术治疗。220例(45.9%)患者术前诊断为大网膜扭转;在这个子集中,21例(9.5%)在保守治疗失败后接受了手术,只有5例(2.3%)保守治疗成功。虽然大网膜梗死通常可以保守治疗,但手术仍然是顽固性疼痛或大网膜扭转的关键治疗方法,保守治疗失败率很高。
本文章由计算机程序翻译,如有差异,请以英文原文为准。
求助全文
约1分钟内获得全文 求助全文
来源期刊
自引率
0.00%
发文量
60
审稿时长
13 weeks
×
引用
GB/T 7714-2015
复制
MLA
复制
APA
复制
导出至
BibTeX EndNote RefMan NoteFirst NoteExpress
×
提示
您的信息不完整,为了账户安全,请先补充。
现在去补充
×
提示
您因"违规操作"
具体请查看互助需知
我知道了
×
提示
确定
请完成安全验证×
copy
已复制链接
快去分享给好友吧!
我知道了
右上角分享
点击右上角分享
0
联系我们:info@booksci.cn Book学术提供免费学术资源搜索服务,方便国内外学者检索中英文文献。致力于提供最便捷和优质的服务体验。 Copyright © 2023 布克学术 All rights reserved.
京ICP备2023020795号-1
ghs 京公网安备 11010802042870号
Book学术文献互助
Book学术文献互助群
群 号:604180095
Book学术官方微信