Cataract-Causing Mutant R188C of βB2 Crystallin With Low Structural Stability is Sensitive to Environmental Stresses and Prone to Aggregates Formation

IF 22.5
Yibo Yu, Silong Chen, Ying Zhang, Hang Song, Jiarui Guo, Chengpeng Wu, Wei Wu, Jingjie Xu, Xiaoyu Cheng, Chenqi Luo, Jing Guo, Yip Chee Chew, Ke Yao, Xiangjun Chen, Lidan Hu
{"title":"Cataract-Causing Mutant R188C of βB2 Crystallin With Low Structural Stability is Sensitive to Environmental Stresses and Prone to Aggregates Formation","authors":"Yibo Yu,&nbsp;Silong Chen,&nbsp;Ying Zhang,&nbsp;Hang Song,&nbsp;Jiarui Guo,&nbsp;Chengpeng Wu,&nbsp;Wei Wu,&nbsp;Jingjie Xu,&nbsp;Xiaoyu Cheng,&nbsp;Chenqi Luo,&nbsp;Jing Guo,&nbsp;Yip Chee Chew,&nbsp;Ke Yao,&nbsp;Xiangjun Chen,&nbsp;Lidan Hu","doi":"10.1002/EXP.20240192","DOIUrl":null,"url":null,"abstract":"<p>This study investigated a Chinese family with congenital posterior polar cataracts linked to the βB2-R188C mutation. βB2-crystallin, a key structural component of the lens, is crucial for maintaining lens transparency and stability. We examined the effects of the R188C mutation on βB2-crystallin's structural stability and resistance to environmental stressors using purified proteins and cellular models. The βB2-R188C mutant showed poor stability and a tendency to aggregate under physiological and pathological conditions. The mutation disrupted the oligomerization equilibrium, causing dissociation of dimers into monomers. Molecular dynamics simulations and spectroscopic experiments revealed abnormal protein folding induced by the R188C mutation, increasing susceptibility to environmental stressors. Aggregation was observed in both prokaryotic and eukaryotic models under normal conditions, with enhanced severity under environmental stressors. Notably, lanosterol treatment or αB-crystallin partially reversed aggregation. In summary, the R188C mutation promotes abnormal aggregation by destabilizing βB2-crystallin and disrupting oligomerization equilibrium, potentially leading to cataract formation. Targeting aggregate formation with small molecules like lanosterol or enhancing molecular chaperone activity offers a promising strategy for cataract prevention and treatment.</p>","PeriodicalId":72997,"journal":{"name":"Exploration (Beijing, China)","volume":"5 3","pages":""},"PeriodicalIF":22.5000,"publicationDate":"2025-04-01","publicationTypes":"Journal Article","fieldsOfStudy":null,"isOpenAccess":false,"openAccessPdf":"https://onlinelibrary.wiley.com/doi/epdf/10.1002/EXP.20240192","citationCount":"0","resultStr":null,"platform":"Semanticscholar","paperid":null,"PeriodicalName":"Exploration (Beijing, China)","FirstCategoryId":"1085","ListUrlMain":"https://onlinelibrary.wiley.com/doi/10.1002/EXP.20240192","RegionNum":0,"RegionCategory":null,"ArticlePicture":[],"TitleCN":null,"AbstractTextCN":null,"PMCID":null,"EPubDate":"","PubModel":"","JCR":"","JCRName":"","Score":null,"Total":0}
引用次数: 0

Abstract

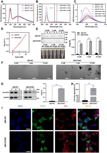
This study investigated a Chinese family with congenital posterior polar cataracts linked to the βB2-R188C mutation. βB2-crystallin, a key structural component of the lens, is crucial for maintaining lens transparency and stability. We examined the effects of the R188C mutation on βB2-crystallin's structural stability and resistance to environmental stressors using purified proteins and cellular models. The βB2-R188C mutant showed poor stability and a tendency to aggregate under physiological and pathological conditions. The mutation disrupted the oligomerization equilibrium, causing dissociation of dimers into monomers. Molecular dynamics simulations and spectroscopic experiments revealed abnormal protein folding induced by the R188C mutation, increasing susceptibility to environmental stressors. Aggregation was observed in both prokaryotic and eukaryotic models under normal conditions, with enhanced severity under environmental stressors. Notably, lanosterol treatment or αB-crystallin partially reversed aggregation. In summary, the R188C mutation promotes abnormal aggregation by destabilizing βB2-crystallin and disrupting oligomerization equilibrium, potentially leading to cataract formation. Targeting aggregate formation with small molecules like lanosterol or enhancing molecular chaperone activity offers a promising strategy for cataract prevention and treatment.

Abstract Image

致白内障突变体βB2晶体蛋白R188C结构稳定性低,对环境应力敏感,易形成聚集体
本研究调查了一个与βB2-R188C突变相关的中国先天性后极性白内障家族。β b2 -晶体蛋白是晶状体的关键结构成分,对维持晶状体的透明度和稳定性至关重要。我们利用纯化蛋白和细胞模型研究了R188C突变对β b2 -晶体蛋白结构稳定性和对环境胁迫的抗性的影响。在生理和病理条件下,βB2-R188C突变体稳定性差,有聚集倾向。突变破坏了寡聚化平衡,导致二聚体解离成单体。分子动力学模拟和光谱实验显示,R188C突变导致蛋白质折叠异常,增加了对环境胁迫的易感性。在正常条件下,原核生物和真核生物模型中均观察到聚集现象,在环境胁迫下,聚集程度增强。值得注意的是,羊毛甾醇处理或α b -结晶蛋白部分逆转了聚集。总之,R188C突变通过破坏β b2 -晶体蛋白的稳定和破坏寡聚化平衡来促进异常聚集,可能导致白内障的形成。利用羊毛甾醇等小分子靶向聚集体形成或增强分子伴侣活性为预防和治疗白内障提供了一种很有前景的策略。
本文章由计算机程序翻译,如有差异,请以英文原文为准。
求助全文
约1分钟内获得全文 求助全文
来源期刊
CiteScore
17.20
自引率
0.00%
发文量
0
×
引用
GB/T 7714-2015
复制
MLA
复制
APA
复制
导出至
BibTeX EndNote RefMan NoteFirst NoteExpress
×
提示
您的信息不完整,为了账户安全,请先补充。
现在去补充
×
提示
您因"违规操作"
具体请查看互助需知
我知道了
×
提示
确定
请完成安全验证×
copy
已复制链接
快去分享给好友吧!
我知道了
右上角分享
点击右上角分享
0
联系我们:info@booksci.cn Book学术提供免费学术资源搜索服务,方便国内外学者检索中英文文献。致力于提供最便捷和优质的服务体验。 Copyright © 2023 布克学术 All rights reserved.
京ICP备2023020795号-1
ghs 京公网安备 11010802042870号
Book学术文献互助
Book学术文献互助群
群 号:604180095
Book学术官方微信