Primary Lung Adenocarcinoma Manifesting as Bilateral Reticulonodular Infiltrates: A Case Report.

Q4 Medicine
Case Reports in Pulmonology Pub Date : 2025-06-09 eCollection Date: 2025-01-01 DOI:10.1155/crpu/6678388
Geran Maule, Qusai Alqudah, Mohamed Ismail, Ryan Fox, Ajaypal Gill, Luis Javier
{"title":"Primary Lung Adenocarcinoma Manifesting as Bilateral Reticulonodular Infiltrates: A Case Report.","authors":"Geran Maule, Qusai Alqudah, Mohamed Ismail, Ryan Fox, Ajaypal Gill, Luis Javier","doi":"10.1155/crpu/6678388","DOIUrl":null,"url":null,"abstract":"<p><p>A 52-year-old female with a history of gastroesophageal reflux disease (GERD), hypertension (HTN), and supraventricular tachycardia (SVT) status postablation presented with progressive dyspnea and diffuse bilateral infiltrates on imaging. Symptoms began following exposure to a chicken farm, initially as a dry cough, evolving despite treatment with antibiotics, albuterol, and methylprednisolone. Emergency department CT imaging demonstrated bilateral linear, reticular, and nodular infiltrates. A negative infectious workup prompted bronchoscopy, confirming lung adenocarcinoma via immunohistochemical staining despite no significant smoking history, international travel, or other exposures. Brain MRI identified a solitary 7-mm enhancing lesion, guiding subsequent oncologic management. This case underscores the complexity of diagnosing atypical pulmonary symptoms and advocates for early bronchoscopic evaluation in suspected malignancies, particularly with pertinent family history.</p>","PeriodicalId":52364,"journal":{"name":"Case Reports in Pulmonology","volume":"2025 ","pages":"6678388"},"PeriodicalIF":0.0000,"publicationDate":"2025-06-09","publicationTypes":"Journal Article","fieldsOfStudy":null,"isOpenAccess":false,"openAccessPdf":"https://www.ncbi.nlm.nih.gov/pmc/articles/PMC12170060/pdf/","citationCount":"0","resultStr":null,"platform":"Semanticscholar","paperid":null,"PeriodicalName":"Case Reports in Pulmonology","FirstCategoryId":"1085","ListUrlMain":"https://doi.org/10.1155/crpu/6678388","RegionNum":0,"RegionCategory":null,"ArticlePicture":[],"TitleCN":null,"AbstractTextCN":null,"PMCID":null,"EPubDate":"2025/1/1 0:00:00","PubModel":"eCollection","JCR":"Q4","JCRName":"Medicine","Score":null,"Total":0}
引用次数: 0

Abstract

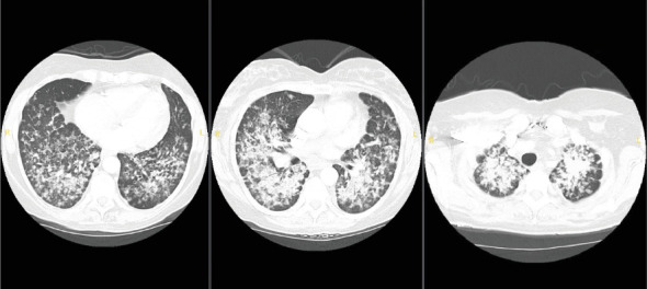
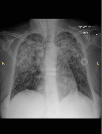
A 52-year-old female with a history of gastroesophageal reflux disease (GERD), hypertension (HTN), and supraventricular tachycardia (SVT) status postablation presented with progressive dyspnea and diffuse bilateral infiltrates on imaging. Symptoms began following exposure to a chicken farm, initially as a dry cough, evolving despite treatment with antibiotics, albuterol, and methylprednisolone. Emergency department CT imaging demonstrated bilateral linear, reticular, and nodular infiltrates. A negative infectious workup prompted bronchoscopy, confirming lung adenocarcinoma via immunohistochemical staining despite no significant smoking history, international travel, or other exposures. Brain MRI identified a solitary 7-mm enhancing lesion, guiding subsequent oncologic management. This case underscores the complexity of diagnosing atypical pulmonary symptoms and advocates for early bronchoscopic evaluation in suspected malignancies, particularly with pertinent family history.

Abstract Image

Abstract Image

以双侧网状结节浸润为表现的原发性肺腺癌1例。
52岁女性,术后有胃食管反流病(GERD)、高血压(HTN)和室上性心动过速(SVT)病史,影像学表现为进行性呼吸困难和弥漫性双侧浸润。接触养鸡场后开始出现症状,最初为干咳,尽管接受了抗生素、沙丁胺醇和甲基强的松龙治疗,但病情仍在发展。急诊科CT显示双侧线状、网状及结节性浸润。阴性感染检查提示支气管镜检查,通过免疫组化染色确认肺腺癌,尽管没有明显的吸烟史、国际旅行或其他暴露。脑MRI发现一个孤立的7毫米增强病灶,指导后续的肿瘤治疗。本病例强调了诊断非典型肺部症状的复杂性,并提倡对疑似恶性肿瘤进行早期支气管镜检查,特别是有相关家族史的患者。
本文章由计算机程序翻译,如有差异,请以英文原文为准。
求助全文
约1分钟内获得全文 求助全文
来源期刊
Case Reports in Pulmonology
Case Reports in Pulmonology Medicine-Pulmonary and Respiratory Medicine
CiteScore
1.80
自引率
0.00%
发文量
23
审稿时长
13 weeks
×
引用
GB/T 7714-2015
复制
MLA
复制
APA
复制
导出至
BibTeX EndNote RefMan NoteFirst NoteExpress
×
提示
您的信息不完整,为了账户安全,请先补充。
现在去补充
×
提示
您因"违规操作"
具体请查看互助需知
我知道了
×
提示
确定
请完成安全验证×
copy
已复制链接
快去分享给好友吧!
我知道了
右上角分享
点击右上角分享
0
联系我们:info@booksci.cn Book学术提供免费学术资源搜索服务,方便国内外学者检索中英文文献。致力于提供最便捷和优质的服务体验。 Copyright © 2023 布克学术 All rights reserved.
京ICP备2023020795号-1
ghs 京公网安备 11010802042870号
Book学术文献互助
Book学术文献互助群
群 号:604180095
Book学术官方微信