Occipital Cephalocele, Polymicrogyria, Ocular Anomaly and Vermian Dysplasia: Prenatal Markers for Knobloch Syndrome.

IF 2.7 2区 医学 Q2 GENETICS & HEREDITY
Prenatal Diagnosis Pub Date : 2025-07-01 Epub Date: 2025-06-16 DOI:10.1002/pd.6838
Laurence Sophie Carmant, Elka Miller, David Chitayat, Stephanie Hedges, Bobbi McGivern, Kimberly Harris, Karen Chong, Shiri Shinar
{"title":"Occipital Cephalocele, Polymicrogyria, Ocular Anomaly and Vermian Dysplasia: Prenatal Markers for Knobloch Syndrome.","authors":"Laurence Sophie Carmant, Elka Miller, David Chitayat, Stephanie Hedges, Bobbi McGivern, Kimberly Harris, Karen Chong, Shiri Shinar","doi":"10.1002/pd.6838","DOIUrl":null,"url":null,"abstract":"<p><p>Knobloch Syndrome-1 is a rare autosomal recessive disorder typically diagnosed postnatally and characterized by occipital encephalocele, high myopia, and vitreoretinal degeneration. We describe a fetus with a constellation of prenatal neuroimaging findings, including occipital cephalocele, vermian dysplasia, bilateral polymicrogyria, and ocular elongation, that prompted genetic investigation. Trio exome sequencing identified biallelic pathogenic variants in COL18A1, confirming the diagnosis of Knobloch Syndrome-1. This case highlights how advanced fetal neuroimaging and prenatal exome sequencing can facilitate early recognition of syndromes like Knobloch, and underscores the importance of considering COL18A1-related disorders when multiple central nervous system anomalies are detected prenatally.</p>","PeriodicalId":20387,"journal":{"name":"Prenatal Diagnosis","volume":" ","pages":"1074-1077"},"PeriodicalIF":2.7000,"publicationDate":"2025-07-01","publicationTypes":"Journal Article","fieldsOfStudy":null,"isOpenAccess":false,"openAccessPdf":"https://www.ncbi.nlm.nih.gov/pmc/articles/PMC12254427/pdf/","citationCount":"0","resultStr":null,"platform":"Semanticscholar","paperid":null,"PeriodicalName":"Prenatal Diagnosis","FirstCategoryId":"3","ListUrlMain":"https://doi.org/10.1002/pd.6838","RegionNum":2,"RegionCategory":"医学","ArticlePicture":[],"TitleCN":null,"AbstractTextCN":null,"PMCID":null,"EPubDate":"2025/6/16 0:00:00","PubModel":"Epub","JCR":"Q2","JCRName":"GENETICS & HEREDITY","Score":null,"Total":0}
引用次数: 0

Abstract

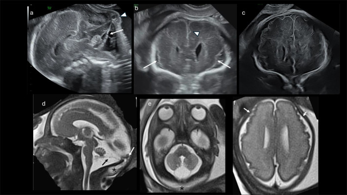
Knobloch Syndrome-1 is a rare autosomal recessive disorder typically diagnosed postnatally and characterized by occipital encephalocele, high myopia, and vitreoretinal degeneration. We describe a fetus with a constellation of prenatal neuroimaging findings, including occipital cephalocele, vermian dysplasia, bilateral polymicrogyria, and ocular elongation, that prompted genetic investigation. Trio exome sequencing identified biallelic pathogenic variants in COL18A1, confirming the diagnosis of Knobloch Syndrome-1. This case highlights how advanced fetal neuroimaging and prenatal exome sequencing can facilitate early recognition of syndromes like Knobloch, and underscores the importance of considering COL18A1-related disorders when multiple central nervous system anomalies are detected prenatally.

Abstract Image

枕部头膨出、多小脑回畸形、眼异常和蠕虫发育不良:诺布洛赫综合征的产前标记。
Knobloch综合征-1是一种罕见的常染色体隐性遗传病,通常在出生后诊断,以枕部脑膨出、高度近视和玻璃体视网膜变性为特征。我们描述了一个胎儿的一系列产前神经影像学发现,包括枕部头膨出,蠕虫发育不良,双侧多小回畸形和眼伸长,这促使基因调查。三人外显子组测序鉴定出COL18A1的双等位致病变异,证实了Knobloch综合征-1的诊断。该病例强调了先进的胎儿神经成像和产前外显子组测序如何促进对Knobloch等综合征的早期识别,并强调了在产前检测到多种中枢神经系统异常时考虑col18a1相关疾病的重要性。
本文章由计算机程序翻译,如有差异,请以英文原文为准。
求助全文
约1分钟内获得全文 求助全文
来源期刊
Prenatal Diagnosis
Prenatal Diagnosis 医学-妇产科学
CiteScore
5.80
自引率
13.30%
发文量
204
审稿时长
2 months
期刊介绍: Prenatal Diagnosis welcomes submissions in all aspects of prenatal diagnosis with a particular focus on areas in which molecular biology and genetics interface with prenatal care and therapy, encompassing: all aspects of fetal imaging, including sonography and magnetic resonance imaging; prenatal cytogenetics, including molecular studies and array CGH; prenatal screening studies; fetal cells and cell-free nucleic acids in maternal blood and other fluids; preimplantation genetic diagnosis (PGD); prenatal diagnosis of single gene disorders, including metabolic disorders; fetal therapy; fetal and placental development and pathology; development and evaluation of laboratory services for prenatal diagnosis; psychosocial, legal, ethical and economic aspects of prenatal diagnosis; prenatal genetic counseling
×
引用
GB/T 7714-2015
复制
MLA
复制
APA
复制
导出至
BibTeX EndNote RefMan NoteFirst NoteExpress
×
提示
您的信息不完整,为了账户安全,请先补充。
现在去补充
×
提示
您因"违规操作"
具体请查看互助需知
我知道了
×
提示
确定
请完成安全验证×
copy
已复制链接
快去分享给好友吧!
我知道了
右上角分享
点击右上角分享
0
联系我们:info@booksci.cn Book学术提供免费学术资源搜索服务,方便国内外学者检索中英文文献。致力于提供最便捷和优质的服务体验。 Copyright © 2023 布克学术 All rights reserved.
京ICP备2023020795号-1
ghs 京公网安备 11010802042870号
Book学术文献互助
Book学术文献互助群
群 号:604180095
Book学术官方微信